1 / 64

Acute Kidney Injury

Acute Kidney Injury. PA Course 2012 Stephen Migdal M.D. Professor of Medicine Chief of Nephrology. ACUTE KIDNEY INJURY. DEFINITION ABRUPT DECREASE IN RENAL FUNCTION RESULTING IN THE ACCUMULATION OF NITROGENOUS COMPOUNDS SUCH AS UREA AND CREATININE. Definitions. Acute Kidney Injury

aulani
Télécharger la présentation

Acute Kidney Injury

An Image/Link below is provided (as is) to download presentation Download Policy: Content on the Website is provided to you AS IS for your information and personal use and may not be sold / licensed / shared on other websites without getting consent from its author. Content is provided to you AS IS for your information and personal use only. Download presentation by click this link. While downloading, if for some reason you are not able to download a presentation, the publisher may have deleted the file from their server. During download, if you can't get a presentation, the file might be deleted by the publisher.

E N D

Presentation Transcript


  1. Acute Kidney Injury PA Course 2012 Stephen Migdal M.D. Professor of Medicine Chief of Nephrology AKI PA 2012

  2. ACUTE KIDNEY INJURY DEFINITION ABRUPT DECREASE IN RENAL FUNCTION RESULTING IN THE ACCUMULATION OF NITROGENOUS COMPOUNDS SUCH AS UREA AND CREATININE AKI PA 2011

  3. Definitions • Acute Kidney Injury • New term to highlight the fact that even mild decrements in Glomerular filtration rate may be associated with adverse clinical outcomes. AKI PA 2011

  4. ACUTE KIDNEY INJURY CLASSIFICATION BY URINE VOLUME OLIGURIC: <400 CC/ 24 Hrs ANURIC: <50 CC/24 Hrs NON-OLIGURIC >400CC/24Hrs AKI PA 2011

  5. AKI PA 2011

  6. Etiology of Acute Renal Failure(Acute Renal Injury) • PRE-RENAL • POST RENAL • RENAL AKI PA 2011

  7. May be unilateral All affect both kidneys simultaneously AKI PA 2011

  8. PRE-RENAL ACUTE RENAL FAILURE • Most common cause of ARF (55-65%) • Results from decreased renal perfusion • Treatment of the cause restores renal function to normal • Tubular function intact* • Prolonged pre renal failure may lead to Acute Tubular Necrosis AKI PA 2011

  9. ETIOLOGIC FACTORS IN PRE-RENAL ARF • Intravascular volume depletion • 3RD SPACE LOSSES • Decreased cardiac output • Systemic vasodilation • Antihypertensives • Sepsis • Renal vasoconstriction • Drugs impairing autoregulation • Ace inhibitorsNSAID AKI PA 2011

  10. Efferent arteriole In order to keep GFR vasoconstriction TGF Macula densa will lead to afferent arteriolar dilatation Can sense the decrease of flow and thus relaxes AKI PA 2011

  11. Pathogenesis AKI PA 2011

  12. FACTORS INVOLVED IN NORMAL URINE FORMATION • GFR=Kf (Pgc - Pt) - ( gc ) • TUBULAR REABSORPTION OF Na AND WATER • HORMONAL FACTORS • ANGIOTENSIN II • ADH • PROSTAGLANDINS • KININS • CATECHOLAMINES AKI PA 2011

  13. AKI PA 2011

  14. AKI PA 2011

  15. POST-RENAL ACUTE RENAL FAILURE • ACCOUNTS FOR 2-15% OF ALL ARF • OBSTRUCTION TO URINE FLOW • INCREASED INTRA-TUBULAR PRESSURE • VASOCONSTRICTION • DECREASED RENAL BLOOD FLOW • MUST BE BILATERAL • UNLESS : • SINGLE KIDNEY • PREVIOUS CRF AKI PA 2011

  16. POST RENAL ACUTE RENAL FAILURE • SUSPECT OBSTRUCTION IN ANURIA • ETIOLOGY MAY BE AGE DEPENDENT • YOUNG = CONGENITAL ABNORMALITY • OLDER MALE = PROSTATIC ENLARGEMENT • ARF MOST OFTEN ASSOCIATED WITH: • LESIONS IN BLADDER • LESIONS IN PROSTATE • LESIONS IN URETHRA AKI PA 2011

  17. AKI PA 2011

  18. Vascular disease AKI PA 2011

  19. Renal- Acute Renal Failure(Acute Kidney Injury) • Vascular disease • Large Vessel Disease • Renal Artery Thrombosis • Renal Vein Thrombosis • Thromboembolism AKI PA 2011

  20. RENAL-ACUTE RENAL FAILURE • VASCULAR DISEASE • MICROVASCULAR • Vasculitis (SLE, POLYARTERITIS ETC.) • Scleroderma • Thromboembolic disease • Malignant Hypertension • Thrombotic Thrombocytopenic Purpura (TTP) • Hemolytic Uremic Syndrome (HUS) AKI PA 2011

  21. AKI PA 2011

  22. RENAL--ACUTE RENAL FAILURE(Acute Renal Injury) • GLOMERULAR DISEASE • ACUTE GLOMERULONEPHRITIS • POST INFECTIOUS GN • CRESCENTIC GN • GOODPASTURE’S DIS. (ANTI-GBM ANTIBODY) AKI PA 2011

  23. AKI PA 2011

  24. RBC CAST AKI PA 2011

  25. AKI PA 2011

  26. AKI PA 2011

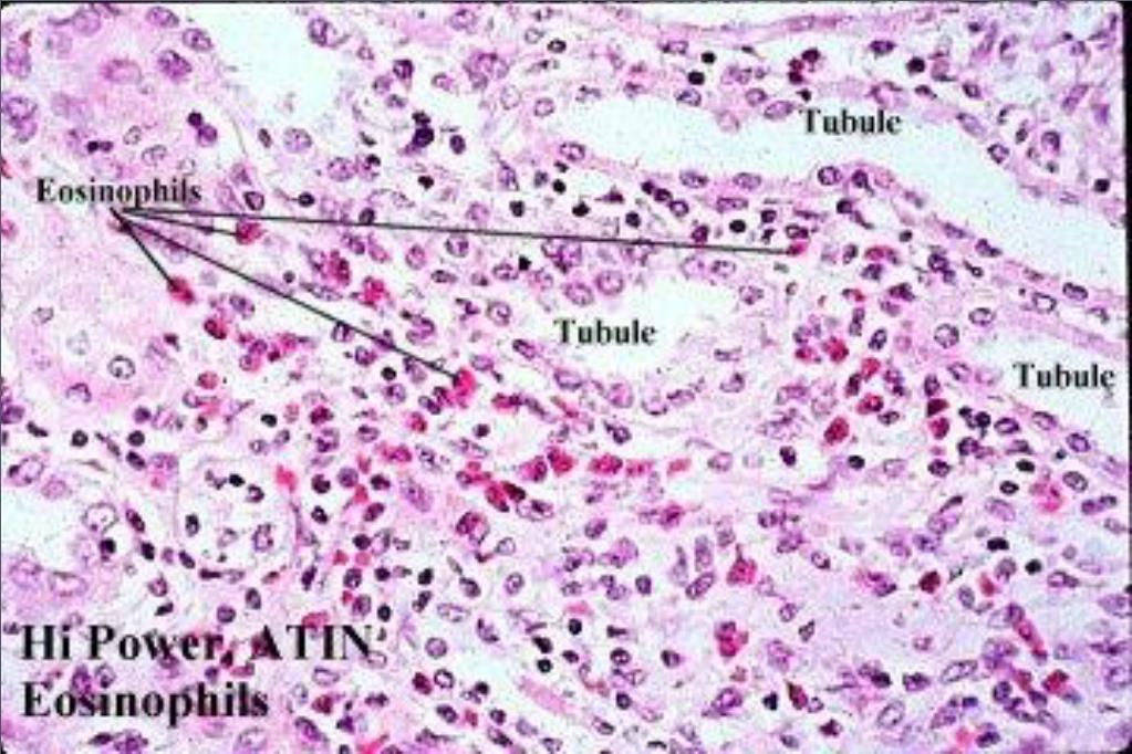
  27. RENAL--ACUTE RENAL FAILURE • ACUTE INTERSTITIAL NEPHRITIS • BACTERIA • VIRUSES • INTRARENAL OBSTRUCTION • ACUTE URIC ACID NEPHROPATHY • TUMOR LYSIS SYNDROME • METHOTREXATE • ACYCLOVIR • INDINAVIR AKI PA 2011

  28. AIN/Interstitial • DRUGS • DRUGS • DRUGS • Others The prior tolerance to a medication does not exclude it from being the etiology AKI PA 2011

  29. PENICILLIN SULFONAMIDES CEPHALOSPORINS RIFAMPIN ( 2ND TIME) CIPROFLOXACIN NSAID (FENOPROFEN) ALLOPURINOL PHENYTOIN THIAZIDES FUROSEMIDE CAPTOPRIL CIMETIDINE ACUTE INTERSTITIAL NEPHRITISDRUG INDUCED AKI PA 2011

  30. Acute interstitial nephritis • The classic triad was initially described in patients with methicilin induced AIN Fever present in 70-100% Skin rash in 15-50% Eosinophilia 20% Triad less than 10% AKI PA 2011

  31. AKI PA 2011

  32. AKI PA 2011

  33. AKI PA 2011

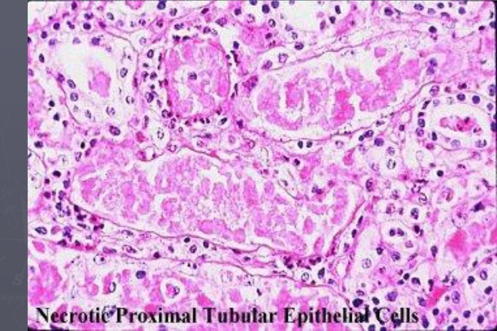
  34. RENAL --ACUTE RENAL FAILURE(ACUTE RENAL INJURY) • ACUTE TUBULAR NECROSIS • Morphology • Damage patchy---often looks unremarkable • Predilection for specific tubular segments AKI PA 2011

  35. AKI PA 2011

  36. RENAL --ACUTE RENAL FAILURE(ACUTE RENAL INJURY) • Etiology • ISCHEMIC INJURY • TOXIC INJURY • ENDOGENOUS TOXINS • HEMOGLOBINURIA • MYOBLOBINURIA (RHABDOMYOLYSIS) • ENDOTOXEMIA AKI PA 2011

  37. RENAL-- ACUTE RENAL FAILURE • ACUTE TUBULAR NECROSIS • EXOGENOUS TOXINS • AMINOGLYCOSIDES • RADIOGRAPHIC CONTRAST • HEAVY METAL COMPOUNDS • ETHYLENE GLYCOL • METHANOL • CARBON TETRACHLORIDE • CIS PLATIN AKI PA 2011

  38. AKI PA 2011

  39. AKI PA 2011

  40. AKI PA 2011

  41. AKI PA 2011

  42. AKI PA 2011

  43. AKI PA 2011

  44. AKI PA 2011

  45. AKI PA 2011

  46. Pivital role of the Actin cytoskeleton in sublethal tubular cell injury • Structural framework—spacially organizes structure of the cytosol • Maintenance of cell polarity • Barrier function of the junctional complex • Structure and function of microvilli and brush border of proximal tubule • Cell matrix adhesion to basement membrane • ATP depletion activates actin binding proteins inducing disassembly of actin bundles AKI PA 2011

  47. AKI PA 2011

  48. AKI PA 2011

  49. AKI PA 2011

  50. AKI PA 2011

More Related