1 / 31

fMRI: Biological Basis and Experiment Design Lecture 9: Pulse sequences, Take 3

fMRI: Biological Basis and Experiment Design Lecture 9: Pulse sequences, Take 3. Slice selection homework review Pulse sequence/k-space trajectory matching Spin echo. http://www-mrsrl.stanford.edu/~brian/mri-movies/. Protons on water molcules: Ernst's "spies".  = B  = B

cade
Télécharger la présentation

fMRI: Biological Basis and Experiment Design Lecture 9: Pulse sequences, Take 3

An Image/Link below is provided (as is) to download presentation Download Policy: Content on the Website is provided to you AS IS for your information and personal use and may not be sold / licensed / shared on other websites without getting consent from its author. Content is provided to you AS IS for your information and personal use only. Download presentation by click this link. While downloading, if for some reason you are not able to download a presentation, the publisher may have deleted the file from their server. During download, if you can't get a presentation, the file might be deleted by the publisher.

E N D

Presentation Transcript


  1. fMRI: Biological Basis and Experiment DesignLecture 9: Pulse sequences, Take 3 • Slice selection homework review • Pulse sequence/k-space trajectory matching • Spin echo http://www-mrsrl.stanford.edu/~brian/mri-movies/

  2. Protons on water molcules: Ernst's "spies"  = B  = B  = 267 x 106 (rad/s)/T  = 42.6 MHz/T

  3. Slice selection - edges aren’t exactly hard f G = 12 mT/m = 1.2 G/cm  =  * x * G x BW thk = BW/GSS Frequency profile of pulse = spatial profile of slice

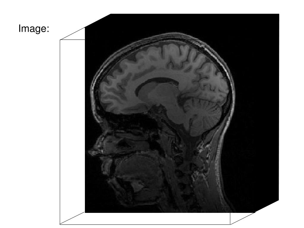
  4. Pulse sequence diagram: Nrep = 256 Flip angle = 7 deg. TR = 10ms RF Sequence type: FLASH Contrast: T1 Image resolution: 256 x 256 Total acquisition time: 256 x 10ms = 2.5s Sequence type: ___________ Contrast: ___________ Image resolution: ___________ Total acquisition time: ___________ GSS GPE TE ~ 5ms GRO 256 points DAC

  5. K-space trajectory and scaled T2* decay in gray matter: 256 M … 256 lines time (ms) Tacq = 2.5ms TE = 5ms 4 3 2 1 256 (complex-valued) points

  6. Image:

  7. Pulse sequence diagram: TR = 1.5 s Flip angle = 75 degrees RF Sequence type: EPI Contrast: T1 and T2* Image resolution: 64 x 64 Image acq. time: 64 x 0.57ms = 36.48ms Sequence type: ___________ Contrast: ___________ Image resolution: ___________ Image acq. time: ___________ GSS … GPE TE = 30ms (32nd line) … GRO (64 times) Echo spacing = 0.57ms 64 64 64 64 64 64 DAC

  8. K-space trajectory and scaled T2* decay in gray matter: M 64 lines time (ms) … Tacq = 35ms TE = 30ms 64 (complex-valued) points

  9. Image: (resolution) (contrast)

  10. Pulse sequence diagram: TR = 5 s Flip angle = 75 degrees RF Sequence type: ___________ Contrast: ___________ Image resolution: ___________ Image acq. time: ___________ Sequence type: GE EPI Contrast: T2* Image resolution: 64 x 64 Image acq. time: 64 x 0.57ms = 36.48ms GSS … GPE TE = 30ms (32nd line) … GRO (64 times) Echo spacing = 0.57ms 64 64 64 64 64 64 DAC

  11. K-space trajectory and scaled T2* decay in gray matter: M 64 lines time (ms) … Tacq = 35ms TE = 30ms 64 (complex-valued) points

  12. Image: (resolution) (contrast)

  13. Pulse sequence diagram: TR = 5 s Flip angle = 90 degrees RF Sequence type: ___________ Contrast: ___________ Image resolution: ___________ Image acq. time: ___________ Sequence type: EPI Contrast: T2* Image resolution: 128 x 128 Image acq. time: 128 x 0.75ms = 96ms GSS … GPE TE = 55ms (65th line) … GRO (128 times) Echo spacing = 0.75ms 128 128 128 128 128 DAC

  14. K-space trajectory and scaled T2* decay in gray matter: M 128 lines time (ms) … Tacq = 96 ms TE = 55 ms 128 (complex-valued) points

  15. Image:

  16. Pulse sequence diagram: TR = 5 s Flip angle = 90 degrees RF Sequence type: ___________ Contrast: ___________ Image resolution: ___________ Image acq. time: ___________ Sequence type: EPI Contrast: T2* Image resolution: 128 x 128 Image acq. time: 96 x 0.75ms = 72 ms GSS … GPE TE = 30ms (32nd line) … GRO (96 times) Echo spacing = 0.75ms 128 128 128 128 128 DAC

  17. K-space trajectory and scaled T2* decay in gray matter: M 96 lines … time (ms) Tacq = 72 ms TE = 30 ms 128 (complex-valued) points

  18. Image:

  19. Spin Echo 180 deg. 90 deg. M T2 T2* time (ms)

  20. Pulse sequence diagram: 180 deg. 90 deg. TR = 5 s RF Sequence type: ___________ Contrast: ___________ Image resolution: ___________ Image acq. time: ___________ Sequence type: SE EPI Contrast: T2 Image resolution: 128 x 128 Image acq. time: 96 x 0.75ms = 72 ms GSS … GPE TE = 60ms (32nd line) … GRO (96 times) Echo spacing = 0.75ms 128 128 128 128 DAC

  21. K-space trajectory and scaled T2 & T2* decay in gray matter: M T2 96 lines T2* … time (ms) 90 180 Tacq = 72 ms TE = 60 ms 128 (complex-valued) points

  22. Image:

  23. Pulse sequence diagram: Nrep = 4 Flip angle = 40 degrees TR = 0.25 s RF Sequence type: segmented EPI Contrast: T1 and T2* Image resolution: 128 x 128 Segment acq. time: 32 x 0.75ms = 24 ms Image acq. time: 1 sec Sequence type: ___________ Contrast: ___________ Image resolution: ___________ Segment acq. time: Image acq. time: ___________ GSS … GPE TE = 20ms (16th line) … GRO (32 times) Echo spacing = 0.75ms 128 128 128 128 128 DAC

  24. K-space trajectory and scaled T2* decay in gray matter: … M … … … 128 lines time (ms) Tacq,seg = 24ms TE = 20ms 128 (complex-valued) points

  25. Image: But not really ... With the short read-out, the distortion would be much less noticeable. This acquisition had a short TE (using partial Fourier acquisition) but was not a segmented acquisition, so has more distortion than advertised.

  26. Pulse sequence diagram: Nrep = 4 90 deg. 180 180 TR = 2.5 s TI = 0.9 s RF Sequence type: ___________ Contrast: ______________________ Image resolution: ___________ Image acq. time: ___________ Sequence type: IR SE EPI Contrast: T1 and (small amount of) T2 Image resolution: 128 x 128 Image acq. time: 4 x 2.5s = 10 s GSS … GPE TE = 25ms (16th line) … … GRO Echo spacing = 0.75ms … DAC

  27. K-space trajectory and scaled T2* decay in gray matter: … M … … … 128 lines time (ms) Tacq,seg = 24ms TE = 40ms 128 (complex-valued) points

  28. Image:

  29. Pulse sequence diagram: Nrep = 176 x 224 TR = 10ms RF Sequence type: ___________ Contrast: ______________________ Image resolution: ___________ Image acq. time: ___________ Sequence type: 3D FLASH Contrast: T1 Image resolution: 256 x 224 x 176 Image acq. time: 176 x 224 x .01s = 6 min 34s GSS GPE GRO 256 points DAC

  30. K-space trajectory and scaled T2* decay in gray matter: M 224 lines time (ms) Tacq = 2.5ms TE = 5ms 176 partitions 256 (complex-valued) points

  31. Image:

More Related