1 / 27

Piernicola Machin

Anatomia Patologica P.O. De Gironcoli Conegliano Resp. dott.ssa Lucia Bittesini. Piernicola Machin. L.D., 50 anni,microcalcificazioni QIE dx. EE 10x. EE 10x. EE 10x. EE 20x. EE 40x. EE 20x. EE 40x. B3. B2. B5. B2. B3. B5. DIAGNOSI.

Télécharger la présentation

Piernicola Machin

An Image/Link below is provided (as is) to download presentation Download Policy: Content on the Website is provided to you AS IS for your information and personal use and may not be sold / licensed / shared on other websites without getting consent from its author. Content is provided to you AS IS for your information and personal use only. Download presentation by click this link. While downloading, if for some reason you are not able to download a presentation, the publisher may have deleted the file from their server. During download, if you can't get a presentation, the file might be deleted by the publisher.

E N D

Presentation Transcript


  1. Anatomia Patologica P.O. De Gironcoli Conegliano Resp. dott.ssa Lucia Bittesini Piernicola Machin

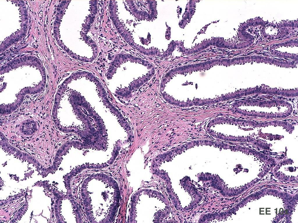
  2. L.D., 50 anni,microcalcificazioni QIE dx

  3. EE 10x EE 10x

  4. EE 10x

  5. EE 20x

  6. EE 40x

  7. EE 20x

  8. EE 40x

  9. B3 B2 B5 B2 B3 B5

  10. DIAGNOSI. Parenchima mammario con focolai di iperplasia dutto-lobulare a fisionomia apocrina con lieve atipia e necrosi intraduttale, associata a calcificazioni grossolane. Focale, puntiforme e irregolare positività per proteina p63, proteina 100 e actina 1A4. DIN1b/DIN1c (IDA/DCIS BG)

  11. QUADRANTECTOMIA • + • LINFONODO SENTINELLA • + • SVUOTAMENTO LINFONODALE

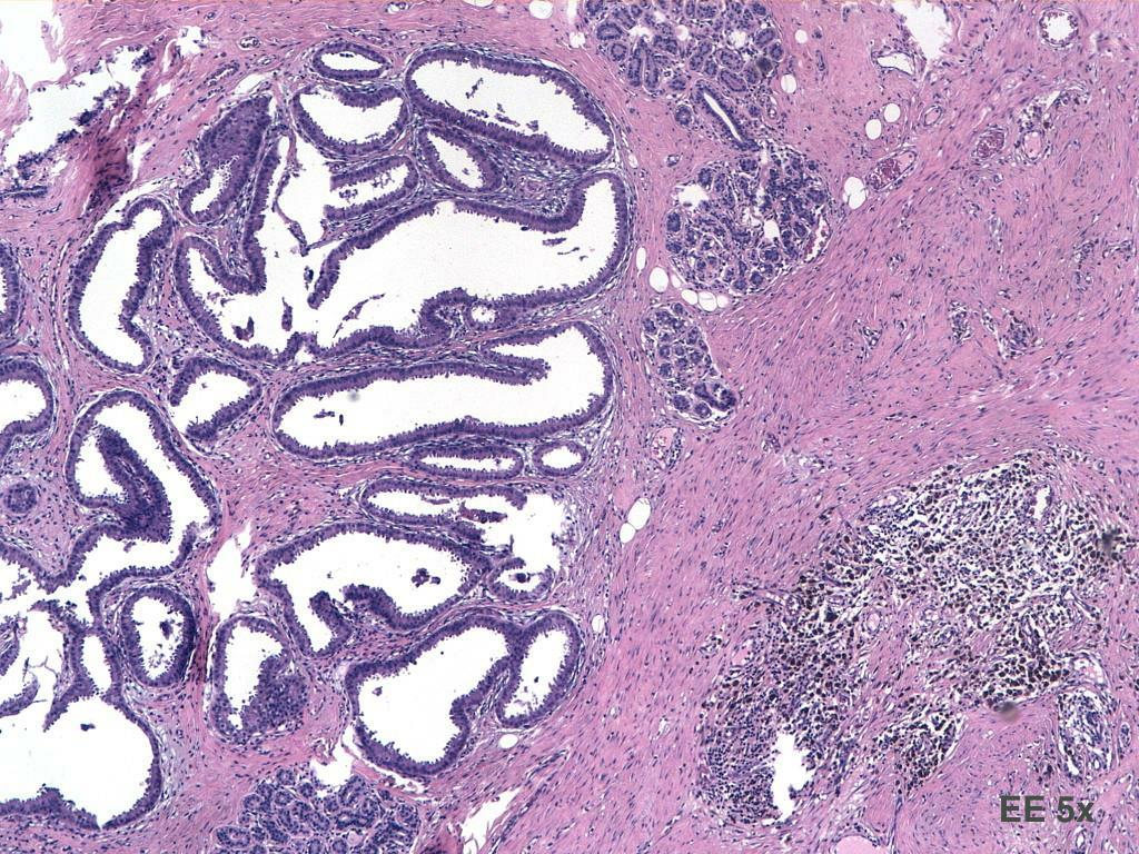
  12. EE 5x

  13. EE 10x

  14. EE 40x

  15. EE 40x

  16. DIAGNOSI su QUAD Condizione post-mammotome con reazione cicatriziale in fase di consolidamento...associata alla presenza di focolaio di neoplasia duttale intraepiteliale ben differenziata. La neoplasia si associa a numerosi cluster di calcificazioni di tipo displasico. pTisN0(sn), G1 DIN1c (DCIS BG)

  17. Follow-up

  18. Radiologo Patologo Oncologo Chirurgo

  19. GRAZIE

  20. B2 B3

  21. Although follow-up excision cannot be strongly recommended in ALH and FEA, it should be considered since the upgrade risk is not negligible ADH lesions with significant cytologic atypia and/or necrosis are most likely to be associated with carcinoma and should be excised. ADH without these features, regardless of extent of involvement, and with [95% removal of the targeted calcifications, is associated with a minimal risk (\3%) of carcinoma and may undergo mammographic follow-up only. Ann Surg Oncol. 2010 Oct 23.

  22. 1845 biopsie in 3 anni FEA 18% 122 biopsie(B3) ADH 91 sintomatiche 31 screening ESCISSIONE 90%B 90%B 90%B 10%M

  23. Current management of FEA is best achieved through a multidisciplinary review considering various factors to determine if surgical excision is warranted. Further studies are required to elucidate the malignant potential of this columnar cell lesion. The American Journal of Surgery

More Related