1 / 45

Clinical Case Insights: Renal Failure, Tuberculosis, and Cardiac Events

This document presents diverse clinical case studies detailing the complexities of various medical conditions. Case studies include a 45-year-old male with a history of proteinuria leading to renal failure and subsequent kidney transplantation, a 51-year-old male with tuberculosis who developed proteinuria and liver enlargement, a 55-year-old female with insulin-dependent diabetes leading to dialysis dependency, and several cardiovascular cases involving severe pain and medical emergencies. These cases highlight the multifaceted nature of chronic diseases and their impacts on patient outcomes.

dimaia
Télécharger la présentation

Clinical Case Insights: Renal Failure, Tuberculosis, and Cardiac Events

An Image/Link below is provided (as is) to download presentation Download Policy: Content on the Website is provided to you AS IS for your information and personal use and may not be sold / licensed / shared on other websites without getting consent from its author. Content is provided to you AS IS for your information and personal use only. Download presentation by click this link. While downloading, if for some reason you are not able to download a presentation, the publisher may have deleted the file from their server. During download, if you can't get a presentation, the file might be deleted by the publisher.

E N D

Presentation Transcript


  1. Week 6Pathology Cases

  2. Case No. 1 • Clinical History: This 45 year old male had a long history of proteinuria which progressed to end stage renal failure. He was maintained on dialysis but began to experience complications. A transplant donor was identified and a kidney transplant was performed. [Case 1 ImageScope][Case 1 WebScope]

  3. [Case 1 ImageScope][Case 1 WebScope]

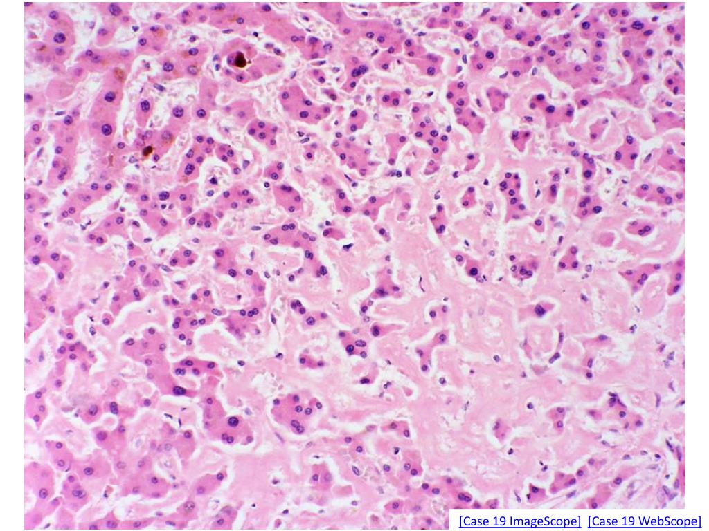
  4. Case No. 19 • Clinical History: This 51 year old male had tuberculosis for many years. He developed some ankle edema, and was found to have an enlarged liver and 2+ proteinuria. [Case 19 ImageScope][Case 19 WebScope]

  5. [Case 19 ImageScope][Case 19 WebScope]

  6. [Case 19 ImageScope][Case 19 WebScope]

  7. 19-Amyloid (Kidney & Liver) [Case 19 ImageScope][Case 19 WebScope]

  8. [Case 19 ImageScope][Case 19 WebScope]

  9. [Case 19 ImageScope][Case 19 WebScope]

  10. [Case 19 ImageScope][Case 19 WebScope]

  11. Case No. 20 • Clinical History:This 55 year old female first came to medical attention when she complained of frequent urination, increased thirst and weight loss at age 15. Insulin dependent diabetes was diagnosed. She developed proteinuria at age 20. Her disease progressed until she became dialysis dependent at age 45. She expired due to pneumonia after a below knee amputation [Case 20 ImageScope][Case 20 WebScope]

  12. [Case 20 ImageScope] [Case 20 WebScope]

  13. [Case 20 ImageScope][Case 20 WebScope]

  14. [Case 20 ImageScope][Case 20 WebScope]

  15. [Case 20 ImageScope][Case 20 WebScope]

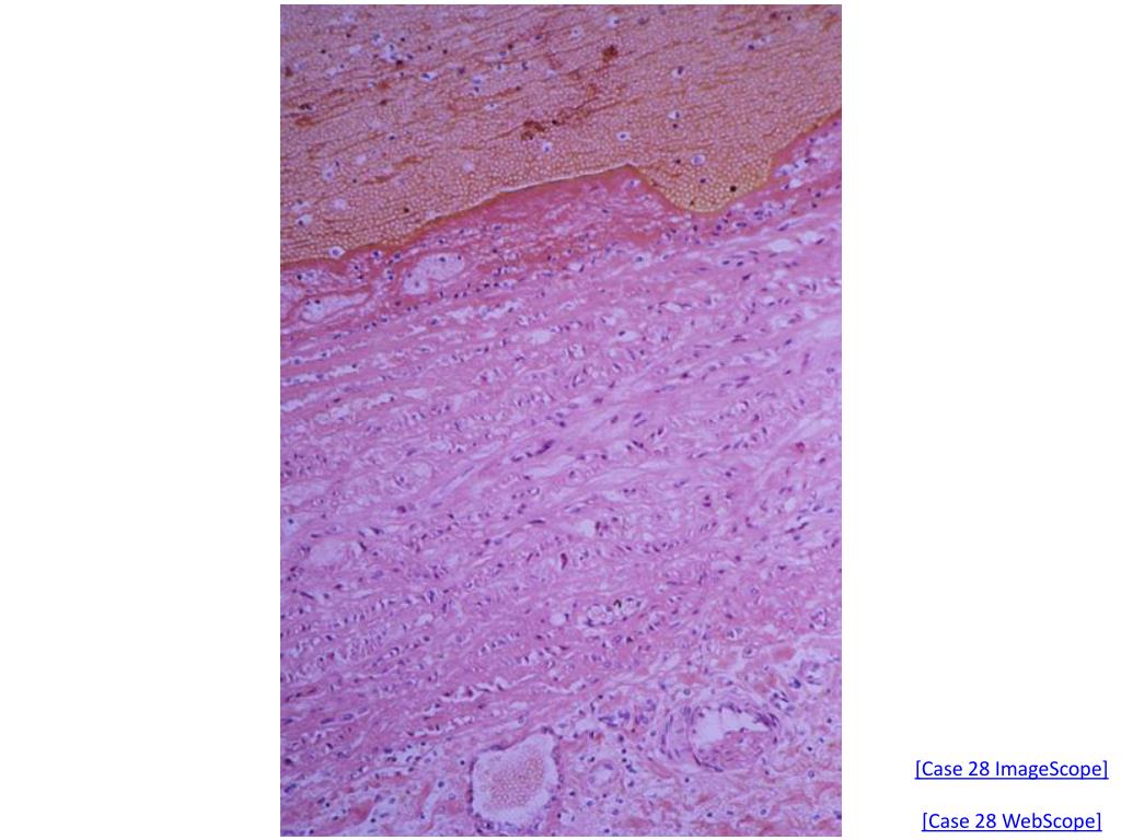
  16. Case No. 28 • Clinical History: A 47 year old female with a history of hypertension of at least 8 months duration noted sudden onset of severe inter-scapular pain which rapidly radiated to base of neck but not to abdomen 7 hours prior to admission. On admission her BP was 160/130 (both arms) and pulse was 80 and equal bilaterally. No murmurs were noted. Aortotomy was performed for attempted repair of the dissecting aneurysm, but during the procedure there occurred an adventitial tear with subsequent hemopericardium and cardiac tamponade. The patient expired on the operating table 6 hours after surgery had begun. [Case 28 ImageScope][Case 28 WebScope]

  17. [Case 28 ImageScope][Case 28 WebScope]

  18. [Case 28 ImageScope] [Case 28 WebScope]

  19. [Case 28 ImageScope] [Case 28 WebScope]

  20. Case No. 31 • Clinical History: This 45 year old man had been well until he was awakened by chest pain that radiated to both arms and neck and was associated with diaphoresis. His blood pressure was 160/110. He was treated with diuretics (Lasix), but he continued to gain weight. He developed a friction rub. Two days after the onset of the chest pain he had a cardiac arrest and died. [Case 31 ImageScope][Case 31 WebScope]

  21. [Case 31 ImageScope] [Case 31 WebScope]

  22. [Case 31 ImageScope] [Case 31 WebScope]

  23. [Case 31 ImageScope] [Case 31 WebScope]

  24. [Case 31 ImageScope] [Case 31 WebScope]

  25. [Case 31 ImageScope] [Case 31 WebScope]

  26. [Case 31 ImageScope] [Case 31 WebScope]

  27. Case No. 85 • Clinical History: This 64 year old white female was morbidly obese. [Case 85 ImageScope][Case 85 WebScope]

  28. [Case 85 ImageScope][Case 85 WebScope]

  29. [Case 85 ImageScope][Case 85 WebScope]

  30. [Case 85 ImageScope][Case 85 WebScope]

  31. Case No. 81 • Clinical History: This 62 year old white male had a history of alcoholism. [Case 81 ImageScope][Case 81 WebScope]

  32. [Case 81 ImageScope][Case 81 WebScope]

  33. [Case 81 ImageScope][Case 81 WebScope]

  34. [Case 81 ImageScope][Case 81 WebScope]

More Related