1 / 48

Miguel Antonio Bustos Lozano ミゲ ル アントニオ ブストス ロザノ

外科医. 十. CASO 10. Miguel Antonio Bustos Lozano ミゲ ル アントニオ ブストス ロザノ. Ficha de Identificación. Nombre : GDK Edad: 23 años Sexo: Masculino Escolaridad: Estudiante de Biología Fecha de Ingreso: 5/ NOV /09. Antecedentes Heredo-Familiares:.

hinto
Télécharger la présentation

Miguel Antonio Bustos Lozano ミゲ ル アントニオ ブストス ロザノ

An Image/Link below is provided (as is) to download presentation Download Policy: Content on the Website is provided to you AS IS for your information and personal use and may not be sold / licensed / shared on other websites without getting consent from its author. Content is provided to you AS IS for your information and personal use only. Download presentation by click this link. While downloading, if for some reason you are not able to download a presentation, the publisher may have deleted the file from their server. During download, if you can't get a presentation, the file might be deleted by the publisher.

E N D

Presentation Transcript


  1. 外科医 十 CASO 10 外科医 Miguel Antonio Bustos Lozano ミゲル アントニオ ブストス ロザノ

  2. Ficha de Identificación • Nombre: GDK • Edad: 23 años • Sexo: Masculino • Escolaridad: Estudiante de Biología • Fecha de Ingreso: 5/NOV/09 外科医

  3. Antecedentes Heredo-Familiares: • Abuela Materna con Diabetes Mellitus 2, en tratamiento. • Padre y Madre vivos, sin enfermedades crónico degenerativas. • Una hermana sana. 外科医

  4. Antecedentes Personales No Patológicos: • Vivienda: Cuenta con todos los servicios intra y extradomiciliarios. • Higiénicos: baño cada tercer día con cambio de ropa diario. • Alimentación: alta en grasas y carbohidratos, pobre en verduras. • Actividad física: Aikido. • Tabaquismo: Negativo • Etilismo: Negado, sin embargo hace 8 días estuvo ingiriendo alcohol por tres días llegando a la embriaguez. 外科医

  5. Antecedentes Personales Patológicos • Quirúrgicos: Requirió sutura de aprox 9cm en región frontoparietal derecha hace 6 años y colocación de fijador externo en tibia derecha también hace 6 años. • Traumáticos: Sufre accidente Automovilístico hace 6 años. • Médicos: Obesidad grado II con IMC 38 e HAS hace 2 meses con tratamiento esporadico. • Medicamentos:Omeprazol 20mg c/12 hrs desde hace 1 semana. 外科医

  6. Padecimiento Actual • ETAPA 1 • Lo inicia hace 12 días con dolor localizado entre fosa iliaca y flanco derechos, de tipo punzante, intensidad 4/10, posterior a hacer esfuerzo al levantar objeto pesado, que aumentaba con la deambulación y disminuía con el reposo, cedió a la administración de Omeprazol en una ocasión. 外科医

  7. PA • ETAPA 2 • Hace 8 días viaja a Oaxaca donde presenta un segundo cuadro doloroso, en fosa iliaca y región inguinal derechas, de tipo punzante, inicio súbito, intensidad 7/10, posterior a una comida copiosa y alcohol, que imposibilitaba la deambulación, por lo que continuo su viaje con dolor intermitente, automedicandose Omeprazol e ingiriendo alcohol, que disminuyo la sintomatología. 外科医

  8. PA • ETAPA 3 • Regresa de su viaje hace 2 días, solo tratado con Inhibidores de Bomba de Protones, con intensidad 8/10, dolor punzante, localizado en región inguinal derecha con irradiación a la pierna ipsilateral, con imposibilidad para la deambulación, por lo que decide acudir a Urgencias. 外科医

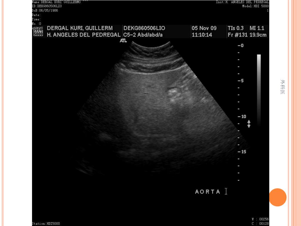
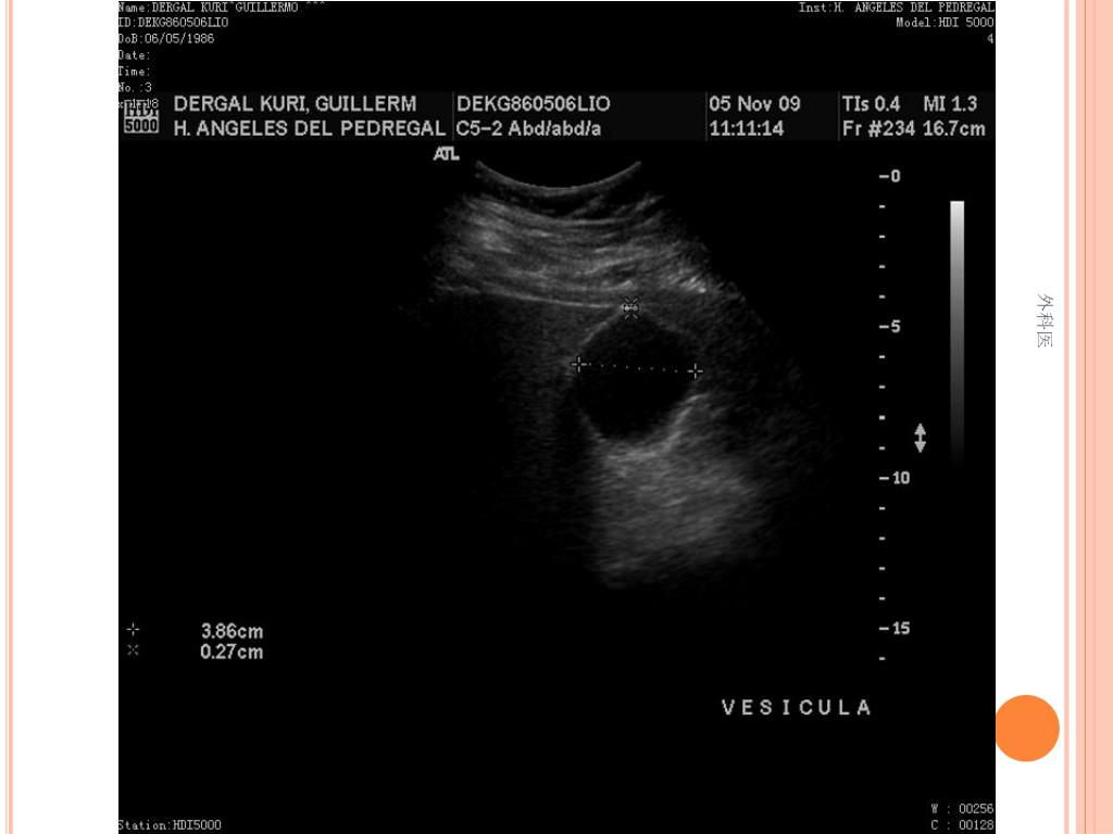
  9. Exploración Física 外科医

  10. EXPLORACION FISICA 外科医

  11. LABORATIORIOS 外科医

  12. 外科医

  13. 外科医

  14. 外科医

  15. 外科医

  16. 外科医

  17. 外科医

  18. 外科医

  19. 外科医

  20. 外科医

  21. 外科医

  22. 外科医

  23. 外科医

  24. 外科医

  25. 外科医

  26. 外科医

  27. 外科医

  28. 外科医

  29. 外科医

  30. 外科医

  31. 外科医

  32. 外科医

  33. 外科医

  34. 手術する 外科医

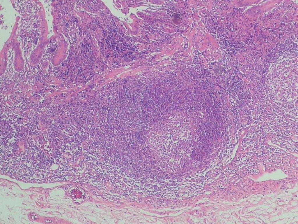
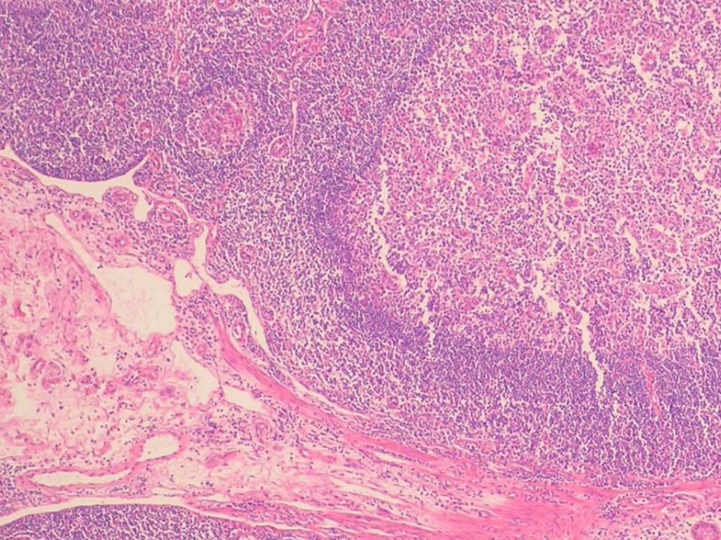
  35. APENDICE CECAL CON DATOS DE CRONICIDAD Y NECROSIS RESECCIÓN DE ILEON TERMINAL Y CIEGO + ICALL X LAPAROSCOPIA MANO ASISTIDA 外科医

  36. PATOLOGIA 外科医

  37. 外科医

  38. 外科医

  39. 外科医

  40. 外科医

  41. PRODUCTO DE RESECCION INTESTINAL: APENDICITIS AGUDA FIBRINOPURULENTA, FIBROSIS PERIAPENDICULAR SEVERA. ILEON TERMINAL Y COLON CON HIPERPLASIA LINFOIDE FOLICULAR Y PERITONITIS AGUDA 外科医

  42. Complicaciones de Apendicitis y Laparoscopía 外科医 Miguel Antonio Bustos Lozano アントニオ 先生

  43. Apendicitis Complicada • Patogenos 外科医

  44. Tips • Leucocitos Mas de 20000/ml • Mas de 20% de la apéndices no se llenan con el bario por enema. • USG sensibilidad del 85% y Especificidad de mas 90% para Apendicitis Aguda. • TAC de Abdomen cortes de 5mm, sensibilidad y especificidad del 90% para dolor abdominal. • Analisis de 75000, taza de apendice negativa de 6% Hombres y 13% Mujeres 外科医

  45. Complicaciones 外科医

  46. Artículos • Laparoscopic versus open AppendectomyforComplicatedAppendicitis. KwokKayYau, WingTaiSiu, PeiCheung Yang. 2006 HK • MyM: 1999 a 2004, Apendicitis, mas 14años, comparados en 2 grupos. • R: N 1133, 244 (21%) 175 LA y 69 OA. Tiempo 55 vs 70min. Estancia 5 vs 6. • Baja el tiempo Qx, Menor infecciones y reduce la estancia intrhospitalaria 外科医

  47. Artículos • Laparoscopic vs Open AppendectomyOutcomscomparisonbasedon a lareadministrativeDatabase. Guller U, Hervey S, Purves H • MyM: 1997, 43759 pacientes, Meta analisis • R: 7618 (17.4%) LA, 36139 (82%) OA . Bajo la Estancia 2 vs 3dias, menos infección de heridas. • LA fue mas ventajosa, por la estancia intrahospitalaria, y la morbilidad 外科医

  48. GRACIAS ども 外科医

More Related