janet
Uploaded by
65 SLIDES
891 VUES
660LIKES

CJDPRESPML

DESCRIPTION

Creutzfeldt – Jakob disease Posterior Reversible Encephalopathy Syndrome Progressive Multifocal Leukoencephalopathy. CJDPRESPML. Typical / Atypical Diffusion. THEMES. CJD - Creutzfeldt – Jakob disease. sCJD. JH Hise Radiology 1996:199 793-8. mental decline /dementia ataxia ,

1 / 65

Télécharger la présentation

CJDPRESPML

An Image/Link below is provided (as is) to download presentation Download Policy: Content on the Website is provided to you AS IS for your information and personal use and may not be sold / licensed / shared on other websites without getting consent from its author. Content is provided to you AS IS for your information and personal use only. Download presentation by click this link. While downloading, if for some reason you are not able to download a presentation, the publisher may have deleted the file from their server. During download, if you can't get a presentation, the file might be deleted by the publisher.

E N D

Presentation Transcript


  1. Creutzfeldt–Jakob diseasePosterior Reversible Encephalopathy SyndromeProgressive Multifocal Leukoencephalopathy CJDPRESPML

  2. Typical / Atypical • Diffusion THEMES

  3. CJD - Creutzfeldt–Jakob disease

  4. sCJD JH Hise Radiology 1996:199 793-8

  5. mental decline /dementia ataxia, sometimes visual disturbances Young J. AJNR 2005 vol. 26 (6) pp. 1551

  6. sCJD – sporadic - 85% • fCJD – famial – 15% • Other less than 1% • vCJD – variant • Iatrogenic CJD Young G AJNR 2003 vol. 24 (8) pp. 1560

  7. Definite – Path proven • Probable • EEG • CSF 14-3-3 protein Young G AJNR 2003 vol. 24 (8) pp. 1560

  8. Kids normal BG bright Adults less from iron Normal Young J. AJNR 2005 vol. 26 (6) pp. 1551

  9. 40 yo Isolated Basal ganglia involvement 5% sCJD Young J. AJNR 2005 vol. 26 (6) pp. 1551

  10. 58% BG and cortex 35% Cortex 7% Neg B Messnier AJNR 2008 vol. 29 (8) pp. 1519

  11. B =1000 B=3000 HighB value H Hyare. AJNR 2010 vol. 31 (3) pp. 521

  12. Psychiatric and painful sensory symptoms CJD - variant Molloy S AJNR 2000 vol. 175 (2) pp. 55

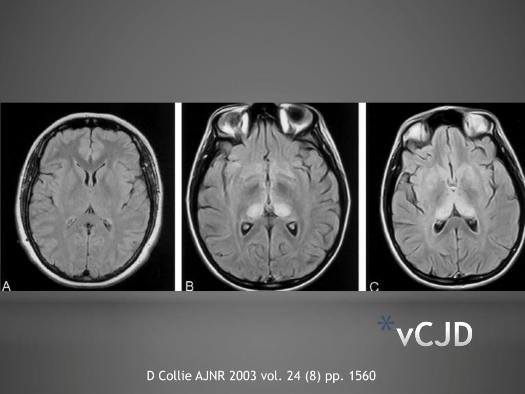
  13. vCJD D Collie AJNR 2003 vol. 24 (8) pp. 1560

  14. vCJD D Collie AJNR 2003 vol. 24 (8) pp. 1560

  15. fCJD Fulbright R. AJNR 2008 vol. 29 (9) pp. 1638

  16. 27 weeks RyutarouU RadioGraphics2006; 26:S191–S204

  17. Endstage CJD BC Tzeng. AJNR 1997 vol. 18 (3) pp. 583

  18. Differential Dx Amogh N. Hegde, MD, FRCR RadioGraphics2011; 31:5–30

  19. Japanese Encephalitis Amogh N. Hegde, MD, FRCR RadioGraphics2011; 31:5–30

  20. PRES – Posterior Reversible Encephalopathy Syndrome

  21. PRES Causes Bartynski W. AJNR 2008 vol. 29 (6) pp. 1036

  22. PRES 1 month Follow up Bartynski W. AJNR 2006 vol. 27 (10) pp. 2179

  23. PRES Covarrubias D. AJNR 2002 vol. 23 (6) pp. 1038

  24. PRES Covarrubias D. AJNR 2002 vol. 23 (6) pp. 1038

  25. PRES watershed? Bartynski W. AJNR 2007 vol. 28 (7) pp. 1320

  26. PRES watershed? Bartynski W. AJNR 2007 vol. 28 (7) pp. 1320

  27. PRES 3 typical patternsParieto-occipitalHolohemisphericFrontal sulcus Bartynski W. AJNR 2007 vol. 28 (7) pp. 1320

  28. PRES Mild Mckinny A. AJR 2007 vol. 189 (4) pp. 904

  29. PRES Moderate Mckinny A. AJR 2007 vol. 189 (4) pp. 904

  30. PRES Severe Mckinny A. AJR 2007 vol. 189 (4) pp. 904

  31. PRES W Bartynski AJNR 2007 vol. 28 (7) pp. 1320

  32. PRES Tumefactive Mckinny A. AJR 2007 vol. 189 (4) pp. 904

  33. PRES Hemorrhagic Mckinny A. AJR 2007 vol. 189 (4) pp. 904

  34. PRES H Hefzy AJNR 2009 vol. 30 (7) pp. 1371

  35. PRES More Blood Mckinny A. AJR 2007 vol. 189 (4) pp. 904

  36. PRES Bartynski W. AJNR 2008 vol. 29 (6) pp. 1036

  37. PRES Follow up Follow up W Bartynsk AJNR 2006 vol. 27 (10) pp. 2179

  38. PRES W Bartynsk AJNR 2006 vol. 27 (10) pp. 2179 11 day Follow up

  39. W Bartynsk AJNR 2006 vol. 27 (10) pp. 2179 SPECT HMPAO Tc-99m

  40. PML – Progressive Multifocal Leukoencephalopathy

  41. cPML - classic Smith AB Radiographics 28 (7) 2033-58 2008

  42. AIDS dementia Smith AB Radiographics 28 (7) 2033-58 2008

  43. Bag A. AJNR 2010 vol. 31 (9) pp. 1564

  44. initial 1 month later Case 1 bx proven Normal 3 years prior PML Case 2 PCR for JC in CSF PML pons

  45. 5% of AIDS on autopsy • 90% die in 1 year without tx • PCR test for JC virus in CSF • JC virus infect oligodendrocytes,

  46. PML without tx 4 months life expectancy • PML with tx increased the 1-year survival rate by 10%–50%. BerguiM,Neuroradiology2004;46:22–25 HAART Clifford DB Neurology 1999;52:623–25

  47. Treatment T1 Hyperintensity Bag A. AJNR 2010 vol. 31 (9) pp. 1564

  48. B=1000 B=3000 High B value Usiskin SI AJNR 28 Feb 2007

  49. DWI FA B=3000 Initial DWI FA 4 week after Tx PML Tx

  50. iPML - inflammatory

More Related