1 / 60

How to Read a Head CT

How to Read a Head CT. Dr Mohamed El Safwany . MD. Intended learning outcome. The student should learn at the end of this lecture interpretation of CT Brain. Head CT.

jera
Télécharger la présentation

How to Read a Head CT

An Image/Link below is provided (as is) to download presentation Download Policy: Content on the Website is provided to you AS IS for your information and personal use and may not be sold / licensed / shared on other websites without getting consent from its author. Content is provided to you AS IS for your information and personal use only. Download presentation by click this link. While downloading, if for some reason you are not able to download a presentation, the publisher may have deleted the file from their server. During download, if you can't get a presentation, the file might be deleted by the publisher.

E N D

Presentation Transcript


  1. How to Read a Head CT Dr Mohamed El Safwany. MD.

  2. Intended learning outcome The student should learn at the end of this lecture interpretation of CT Brain.

  3. Head CT • Has assumed a critical role in the daily practice of Emergency Medicine for evaluating intracranial emergencies. (e.g. Trauma, Stroke, SAH, ICH). • Most practitioners have limited experience with interpretation. • In many situations, the Emergency Physician must initially interpret and act on the CT without specialist assistance.

  4. Head CT “Blood Can Be Very Bad”

  5. Blood Can Be Very Bad • Blood • Cisterns • Brain • Ventricles • Bone

  6. Blood Can Be Very Bad • Blood • Cisterns • Brain • Ventricles • Bone

  7. Blood Can Be Very Bad • Blood • Cisterns • Brain • Ventricles • Bone

  8. Blood Can Be Very Bad • Blood • Cisterns • Brain • Ventricles • Bone

  9. Blood Can Be Very Bad • Blood • Cisterns • Brain • Ventricles • Bone

  10. CT Scan Basics • A CT image is a computer-generated picture based on multiple x-ray exposures taken around the periphery of the subject. • X-rays are passed through the subject, and a scanning device measures the transmitted radiation. • The denser the object, the more the beam is attenuated, and hence fewer x-rays make it to the sensor.

  11. CT Scan Basics • The denser the object, the whiter it is on CT • Bone is most dense = + 1000 Hounsfield U. • Air is the least dense = - 1000H Hounsfield U.

  12. CT Scan Basics: Windowing Focuses the spectrum of gray-scale used on a particular image.

  13. 2 Sheet Head CT

  14. Posterior Fossa • Brainstem • Cerebellum • Skull Base • Clinoids • Petrosal bone • Sphenoid bone • Sella turcica • Sinuses

  15. CT Scan

  16. CT Scan

  17. 2nd Key Level Sagittal View 2nd Key Level Circummesencephalic Cistern

  18. Cisterns at Cerebral Peduncles Level

  19. CT Scan

  20. CT Scan

  21. 3rd Key Level Sagittal View Circummesencephalic Cistern

  22. Cisterns at High Mid-Brain Level

  23. CT Scan

  24. CSF Production • Produced in choroid plexus in the lateral ventricles  Foramen of Monroe  IIIrd Ventricle  Acqueduct of Sylvius  IVth Ventricle  Lushka/Magendie • 0.5-1 cc/min • Adult CSF volume is approx. 150 cc’s. • Adult CSF production is approx. 500-700 cc’s per day.

  25. 1 day 1 year 2 years Andrew D. Perron, MD, FACEP 25

  26. B is for Blood • 1st decision: Is blood present? • 2nd decision: If so, where is it? • 3rd decision: If so, what effect is it having?

  27. B is for Blood • Acute blood is bright white on CT (once it clots). • Blood becomes hypodense at approximately 2 weeks. • Blood becomes isodense at approximately 1 week.

  28. B is for Blood • Acute blood is bright white on CT (once it clots). • Blood becomes hypodense at approximately 2 weeks. • Blood becomes isodense at approximately 1 week.

  29. B is for Blood • Acute blood is bright white on CT (once it clots). • Blood becomes hypodense at approximately 2 weeks. • Blood becomes isodense at approximately 1 week.

  30. CT Scans

  31. Subdural Hematoma • Typically falx or sickle-shaped. • Crosses sutures, but does not cross midline. • Acute subdural is a marker for severe head injury. (Mortality approaches 80%) • Chronic subdural usually slow venous bleed and well tolerated.

  32. Subarachnoid Hemorrhage

  33. Subarachnoid Hemorrhage • Blood in the cisterns/cortical gyral surface • Aneurysms responsible for 75-80% of SAH • AVM’s responsible for 4-5% • Vasculitis accounts for small proportion (<1%) • No cause is found in 10-15% • 20% will have associated acute hydrocephalus

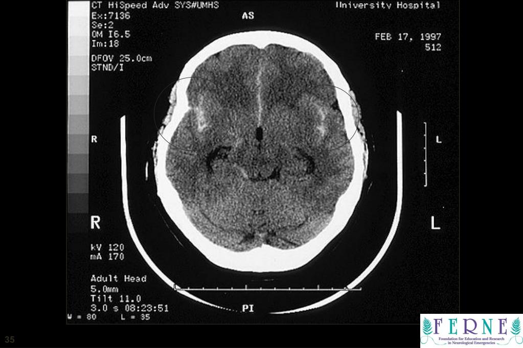
  34. CT Scan 34

  35. CT Scan 35

  36. Intraventricular/Intraparenchymal Hemorrhage

  37. CT Scan 37

  38. C is for CISTERNS (Blood Can Be Very Bad) • 4 key cisterns • Circummesencephalic • Suprasellar • Quadrigeminal • Sylvian Circummesencephalic

  39. Cisterns • 2 Key questions to answer regarding cisterns: • Is there blood? • Are the cisterns open?

  40. 40

  41. Andrew D. Perron, MD, FACEP 41

  42. B is for BRAIN (Blood Can Be Very Bad)

  43. 43

  44. Tumor 44

  45. Atrophy 45

  46. Abscess 46

  47. Hemorrhagic Contusion 47

  48. Mass Effect 48

  49. Intracranial Air 49

  50. Intracranial Air 50

More Related