1 / 49

SURGICAL INFECTIONS & ANTIBIOTICS

SURGICAL INFECTIONS & ANTIBIOTICS. M K ALAM MS, FRCS Prof. & Consultant Surgeon College of Medicine & RCH. Done by : 428 surgery team. OBJECTIVES. Definitions. Pathogenesis . Clinical features . Surgical microbiology. Common infections. Antibiotics use. INFECTION.

minda
Télécharger la présentation

SURGICAL INFECTIONS & ANTIBIOTICS

An Image/Link below is provided (as is) to download presentation Download Policy: Content on the Website is provided to you AS IS for your information and personal use and may not be sold / licensed / shared on other websites without getting consent from its author. Content is provided to you AS IS for your information and personal use only. Download presentation by click this link. While downloading, if for some reason you are not able to download a presentation, the publisher may have deleted the file from their server. During download, if you can't get a presentation, the file might be deleted by the publisher.

E N D

Presentation Transcript


  1. SURGICAL INFECTIONS&ANTIBIOTICS M K ALAMMS, FRCS Prof. & Consultant Surgeon College of Medicine & RCH 428 surgery team Done by : 428 surgery team

  2. 428 surgery team OBJECTIVES • Definitions. • Pathogenesis . • Clinical features . • Surgical microbiology. • Common infections. • Antibiotics use.

  3. 428 surgery team INFECTION Invasion of the body by pathogenic microorganisms and reaction of the host to organisms and their toxins ( the def. its 2 part :1- invase of organism 2- body respond to it )

  4. 428 surgery team SURGICAL INFECTIONS Infections that require surgical intervention as a treatment [1] or develop as a result of surgical procedure [2]. Appendicitis: 1- comes? the infection – need treatment by surgery 2- surgery – complictaion

  5. 428 surgery team Surgical Infection • A major challenge • Accounts for 1/3 of surgical patients • Morbidity increase • Mortality increase • Increased cost to healthcare

  6. 428 surgery team Factors contributing to infections • Microorganism related factors: -Adequate dose ( many organism ) -Virulence of microorganisms • Host related factors: -Suitable environment ( closed space ) ( make an env. For the body to accept the organism ) . -Susceptible host ( weak immunity )

  7. 428 surgery team Pathogenicity of bacteria ( wt makes organism pathogen ?) -Exotoxins:specific effect for each bacteria type , soluble proteins, remote cytotoxic effect , released from intact bacteria e.g Cl.Tetani cause tetanus, Strep. Pyogenes cause infection having an acid -Endotoxins:part of gram-negative bacterial wall, released only after destruction of bacteria , lipopolysaccharides e.g., E coli Resist phagocytosis:Protective capsule Klebsiela and Strep. Pneumoniae -Explain: 1- toxin ----- EX. Secretions ---- END. Part of the organism which distorted it 2- resist phagocytosis

  8. 428 surgery team Host Resistance • Intact skin / mucous membrane. (surgery/ trauma- causes breach) by breaking the skin during the surgery which is a defensive mechanism for the body . • Immunity: like patient who treated by cortisone , they have weak immunity Cellular (phagocytes ) Antibodies

  9. 428 surgery team Classification of infection - Autoinfection(endogenous) :pathogen from within the patient - Community acquired : e.g. flu -nosocomial : from hospital environment -iatrogenic : secondary to theraby e.g. cathters - From carrier - Opportunistic infection

  10. 428 surgery team Clinical features • Local- pain, heat, redness, swelling, some times loss of function. (apparent in superficial infections) • Systemic- ill , loss of appetite , fever, tachycardia, chills,rigors • Like appendicitis when patient come after 3 days with high fever this indicate as infection .

  11. 428 surgery team Principles of surgical treatment • Debridement- necrotic, injured tissue [a] • Drainage- abscess, infected fluid [b] • Removal- infection source, foreign body[c] • Supportive measures: to stop the spread of infection • a- immobilization “ bed rest “ • b- elevation “ swell less , rest elevation “ • c- antibiotics “ for appendicitis “

  12. 428 surgery team STREPTOCOCCI • Gram positive, manilyaerobe/anaerobe • Flora of the mouth and pharynx oral cavity , ( bowel ) • Streptococcus pyogenes–( β hemolytic) 90% - 95% of infections e.g.,lymphangitis, cellulitis, rheumatic fever,pharyngitis • Strep. viridens-subacute bacterial endocarditis, urinary infection • Strep. Fecalis(bowel ) – urinary infection, pyogenic infection • Strep. pneumonae – pneumonia, meningitis not commonly seen

  13. 428 surgery team STAPHYLOCOCCI “ surgical wound infections “ • Inhabitants of skin, Gram positive anaerobes • Infection characterized by suppuration like HAI, immune weak • Staph.aureus- the most common , most pathogen SSI, nosocomial ,superficial infections • Staph. epidermidis- opportunistic ( wound, endocarditis )

  14. 428 surgery team CLOSTRIDIA • Gram positive, anaerobe • Rod shaped microorganisms • Live in bowel & soil • Produce exotoxin for pathogenicity • Important members: Cl. Perfringens, Cl. Septicum ( gas gangrene ) Cl. Tetani ( tetanus ) Cl. Difficile ( pseudomembranous colitis )

  15. 428 surgery team GRAM NEGATIVE ORGANISMS( Enterobactericiae ) Escherichia coli ( bowel infections ) Facultative anaerobe, Intestinal flora Produce exotoxin & endotoxin Endotoxin produce Gram-negative shock Wound infection, abdominal abscess, UTI, meningitis, endocarditis Treatment- ampicillin, cephalosporin, aminoglycoside

  16. 428 surgery team GRAM NEGATIVE ORGANISMS Pseudomonas most come in ICU patient • aerobes, occurs on skin surface • opportunistic pathogen • may cause serious & lethal infection • colonize ventilators, iv catheters, urinary catheters • Wound infection, burn, septicemia • Treatment: aminoglycosides, piperacillin, ceftazidime

  17. 428 surgery team GRAM NEGATVE ANAEROBESBacteroidesfragilis( bowel surgery , investigation by abscess with bad smell ) • Normal flora in oral cavity, colon • Intra-abdominal & gynecologic infections ( 90% ) • Foul smelling pus, gas in surrounding tissue, necrosis • Spiking fever, jaundice, Leukocytosis • No growth on standard culture • Needs anaerobe culture media • Treatment: Surgical drainage Antibiotics- clindamycin, metronidazole

  18. 428 surgery team TYPES OF SURGICAL INFECTION • A. Surgical Site Infection • B. Soft Tissue Infection • C. Body Cavity Infection • D. Prosthetic Device related Infection • E. Miscellaneous

  19. 428 surgery team Surgical site infection (SSI) • 38% of all surgical infections • Infection within 30 days of operation • Classification: - Superficial: Superficial SSI–infection in subcutaneous plane (47%) - Deep:Subfascial SSI-muscle plane (23%) Organ/ space SSI-intra-abdominal, chest infections ,other spaces (30%) • Staph. aureus- most common organism • E coli, Entercoccus ,other Entetobacteriaceae- deep infections B fragilis – intrabd. abscess

  20. 428 surgery team Surgical site infection (SSI) • Risk factors: age, malnutrition, obesity, immunocompromised, poor surg. tech, prolonged surgery, preop. shaving and type of surgery. • Diagnosis: Sup.SSI- erythema, oedema, discharge and pain Deep infections- no local signs, fever, pain, hypotension. need investigations. • Treatment: surgical / radiological intervention.

  21. 428 surgery team

  22. 428 surgery team Prevention of SSI • Pre-op: Treat pre-existing infection Improve general nutrition Shorter hospital stay Pre-op. shower Hair removal timing? Should if the surgery take long time , or the area need to shave. • Intraoperative: Antiseptic technique Surgical technique • Post-operative: Hand hygiene

  23. 428 surgery team STREPTOCOCCAL INFECTIONSErysipelas • Superficial spreading cellulitis & lymphangitis • Area of redness, sharply defined irregular border • Follows minor skin injuries • Strep pyogenes • Common site: around nose extending to both cheeks • Penicillin, Erythromycin

  24. 428 surgery team

  25. 428 surgery team SREPTOCOCCAL INFECTIONCellulitis • Inflammation of skin & subcutaneous tissue • Non-suppurative • Strep. Pyogenes • Common sites- limbs • Affected area is red, hot & indurated • Treatment : Rest, elevation of affected limb Penicillin, Erythromycin Fluocloxacillin ( if staph. suspected )

  26. 428 surgery team

  27. 428 surgery team NECROTIZING FASCIITIS • Necrosis of superficial fascia, overlying skin • Polymicrobial : Streptococci (90%), anaerobic Grampositive Cocci, aerobic Gram-negative Bacilli, and the Bacteroides spp. • Sites- abd.wall (Meleny’s), perineum(Fournier’s), limbs, • Usually follows abdominal surgery or trauma

  28. 428 surgery team NECROTIZING FASCIITISwe have 2 do the investigation 2 differentiated from simple crllulitis • Diabetics more susceptible • Starts as cellulitis, edema, systemic toxicity • Appears less extensive than actual necrosis • Investigation: Aspiration, Gram’s stain, CT, MRI • Treatment: IV fluid, IV antibiotics (ampicillin, clindamycin l metronidazole, aminoglycosides ) Debridement , repeated dressings, skin grafting

  29. 428 surgery team

  30. STAPHYLCOCCAL INFECTIONS Abscess-localized a lot creamy pus collection Treatment- drainage, antibiotics Furuncle- infection of hair follicle / sweat glands Carbuncle- extension of furuncle into subcut. tissue common in diabetics common sites- back, back of neck Treatment: drainage, antibiotics, control diabetes 428 surgery team

  31. 428 surgery team

  32. 428 surgery team GAS GANGRENE grame (+) anaerobe • Cl. Perfringens, Cl. Septicum • Exotoxins: lecithinase, collagenase, hyaluridase • Large wounds of muscle ( contaminated by soil, foreign body ) • Charcterized by progressive ,rapidly spreading edema • Rapid myonecrosis (Affect mainly muscle and cause muscle necrosis) , crepitus in subcutaneous tissue • Seropurulent discharge, foul smell, swollen • Toxemia, tachycardia, ill looking • X-ray: gas in muscle and under skin • Treatment : • - Penicillin, clindamycin, metronidazole -Wound exposure, debridement , drainage, amputation -Hyperbaric oxygen chamber

  33. 428 surgery team TETANUS gram + , not seen recently unless u didn’t get the vaccine , or didn’t take the booster • Cl. Tetani, produce neurotoxin • Penetrating wound ( rusty nail, thorn ) • Usually wound healed when symptoms appear • Incubation period: 7-10 days • Trismus- first symptom, stiffness in neck & back muscle spasm • Anxious look with mouth drawn up ( risussardonicus) • Respiration & swallowing progressively difficult • Reflex convulsions along with tonic spasm • Death by exhaustion, aspiration or asphyxiation

  34. 428 surgery team • risus sardonicus Contraction of jaws >> become closed.. While the lips >> open & tooth visible .

  35. 428 surgery team TETANUS • Treatment: wound debridement, penicillin Muscle relaxants, ventilatory support Nutritional support • Prophylaxis: wound care, antibiotics Human tetanus immunglobulin (HTIG )in high risk ( un-immunized ) Commence active immunization ( T toxoid) Previously immunized- booster >10 years needs a booster dose booster <10 years- no treatment in low risk wounds

  36. 428 surgery team PSEUDOMEMBRANOUS COLITIS gram + • Cl. Difficile • Overtakes normal flora in patients on antibiotics • Watery diarrhea, abdominal pain, fever • Sigmoidoscopy show: membrane of exudates (pseudomembranes) • Diagnosis :Stool- culture and toxin assay • Treatment : stop offending antibiotic oral vancomycin/ metronidazole rehydration, isolate patient

  37. 428 surgery team

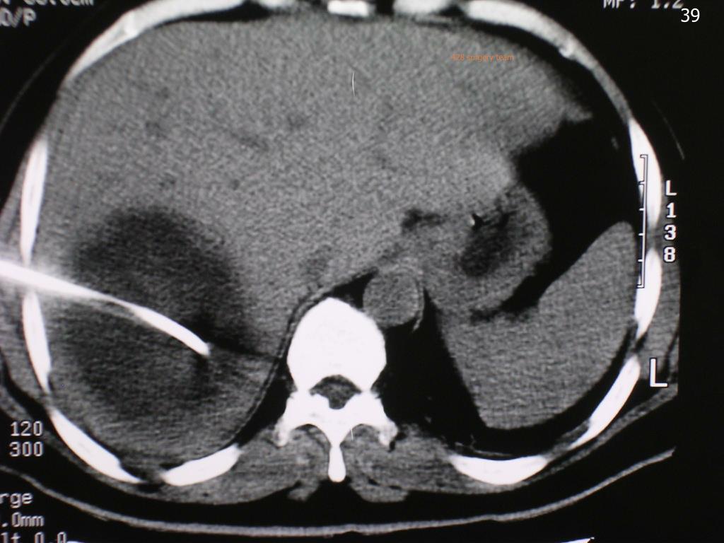
  38. 428 surgery team Body Cavity Infection abdominal and • Primary peritonitis: Spontaneous, weak immune . Children, Ascitic immuno Haematogenous/ lymphatic route Tt /Antibiotic • Secondary peritonitis: infectionone of the organ in abdomen Inflam./ rupture of viscera Polymicrobial Investigations: blood, radiological Tt/ of original cause

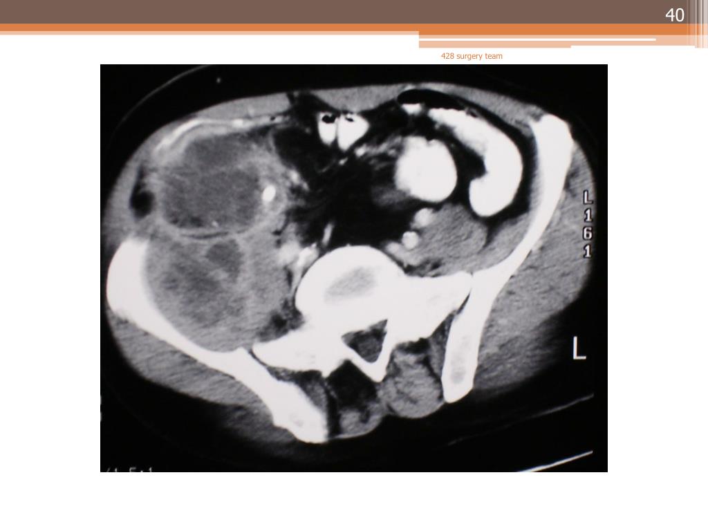
  39. 428 surgery team

  40. 428 surgery team

  41. 428 surgery team Prosthetic Device Related Infection • Artificial valves and joints • Peritoneal and haemodialysis catheters • Vascular grafts patientmay have hernia repair • Staphylococcus aureus • Antibiotics, washing of prosthesis or removal

  42. 428 surgery team Hospital Acquired Infection • Occurring within 48 h of hospital admission, three days of discharge or 30 days following an operation • 10% of patients admitted to hospitals • Spent 2.5-times longer in hospital - UK • Highest prevalence in ICU- • Enterococcus, Pseudomonas spp.,E coli(exo & endo toxin), Staph. aureus. • Sites: Urinary, surg. Wounds, resp., skin, blood, GIT Wt is the most common site in HAI ?

  43. 428 surgery team ANTIBIOTICS Chemotherapeutic agents that act on organisms • Bacteriocidal: Penicillin, Cephalosporin, Vancomycin Aminoglycosides • refers to the treatment of a bacterium such that the organism is killed • Bacteriostatic: Erythromycin, Clindamycin, Tetracycline • refers to a treatment that restricts the ability of the bacterium to grow

  44. 428 surgery team ANTIBIOTICS THE DOC SAID READ IT • Penicillins- Penicillin G, Piperacillin • Penicillins with β-lactamase inhibitors- Tazocin • Cephalosporins (I, II, III)- Cephalexin, Cefuroxime, Ceftriaxone • Carbapenems- Imipenem, Meropenem • Aminoglycosides- Gentamycin, Amikacin • Fluoroquinolones- Ciprofloxacin • Glycopeptides- Vancomycin • Macrolides- Erythromycin, Clarithromycin • Tetracyclines- Minocycline, Doxycycline

  45. 428 surgery team ROLE OF ANTIBIOTICS “ given a scenario and ask if its therapeutic or prevention” • Therapeutic:To treat existing infection • Prophylactic ( PREVENTION ) :To reduce the risk of wound infection

  46. 428 surgery team ANTIBIOTIC THERAPY • Pseudomembranous colitis- oral vancomycin/ metronidazole • Biliary-tract infection-cephalosporin or gentamycin • Peritonitis- cephalosporin/ gentamycin + metronidazole/ clindamycin • Septicemia- aminoglycoside + ceftazidime, Tazocin or imipenem, ( may add metronidazole ) • Septicemia due to vascular catheter- Flucloxacillin/ vancomycin or Cefuroxime • Cellulitis- penicillin, erythromycin ( flucloxacillin if Staphylococcus infection. Suspected )

  47. 428 surgery team ANTIBIOTIC PROPHYLAXISBASED ON SURGICAL WOUND CLASSIFICATION • Clean wound no organism present - e.g., thyroid surgery ( 2% ) , repair of hernia , removing a laparotomy(NOT in GIT ,Resp. Sys. , or GU sys). • Typically an elective surgery in a non-contaminated, non-traumatic and non-inflamed surgical site • Clean-contaminated-minimal contamination e.g., biliary, urinary, GI tract surgery ( 5-10% ) • Here surgery involves the respiratory, GI or genitourinary system, ie often a hollow organ • Contaminated-gross contamination e.g., during bowel surgery- (up to 20% ) • Similar surgeries, but with leakage or a major break in aseptic technique • Dirty- surgery through established infection e.g., peritonitis ( up to 50% ) NOT prophylaxis BUT antibiotic • A hollow organ is ruptured  

  48. 428 surgery team ANTIBIOTIC PROPHYLAXIS (IMP ) * Prophylaxis in clean-contaminated/ high risk clean wounds * Antibiotic is given just before patient sent for surgery *Duration of antibiotic is controversial ( one dose- 24 hour regimen ) *Hernia- one dose preoperatively, can be pre and post operative or for 24hrs or even days.

  49. 428 surgery team Thank You!

More Related