1 / 36

CHIRURGIA SPINALE SPINE SURGERY

CHIRURGIA SPINALE SPINE SURGERY. FRATTURA COMMINUTA DEL DENTE DELL’EPISTROFEO TIPO II. RMN PREOPERATORIA. TAC POST INTERVENTO DI FISSAZIONE ANTERIORE : ODONTOID SCREWING. TYPE III A BODY ODONDOID FRACTURE. RMN e TAC preoperatoria.

raziya
Télécharger la présentation

CHIRURGIA SPINALE SPINE SURGERY

An Image/Link below is provided (as is) to download presentation Download Policy: Content on the Website is provided to you AS IS for your information and personal use and may not be sold / licensed / shared on other websites without getting consent from its author. Content is provided to you AS IS for your information and personal use only. Download presentation by click this link. While downloading, if for some reason you are not able to download a presentation, the publisher may have deleted the file from their server. During download, if you can't get a presentation, the file might be deleted by the publisher.

E N D

Presentation Transcript


  1. CHIRURGIA SPINALESPINE SURGERY

  2. FRATTURA COMMINUTA DEL DENTE DELL’EPISTROFEO TIPO II RMN PREOPERATORIA

  3. TAC POST INTERVENTO DI FISSAZIONE ANTERIORE : ODONTOID SCREWING

  4. TYPE III A BODY ODONDOID FRACTURE RMN e TAC preoperatoria

  5. TAC postoperatoria: fissazione posteriore C1-C2-C3 con uncini laminari , viti masse articolari e barre

  6. DISLOCAZIONE CRANIO-VERTEBRALE RMN E TAC PREOPERATORIA

  7. TAC postoperatoria di fissazione cranio vertebrale con barre uncini e viti

  8. FRATTURA COMPLESSA DELLA TERZA VERTEBRA CERVICALE TAC PREOPERATORIA

  9. TAC post-operatoria : Corporectomia - fissazione anteriore con cage ,placca e viti e posteriore con barre e uncini laminari.

  10. DISLOCAZIONE DI FISSAZIONE ANTERIORE IN PREGRESSA FRATTURA LEGAMENTARIA COMPLESSA C3-C4 TAC PREOPERATORIA

  11. Campo chirurgico dopo corporectomia di C3: ligamento longitudinale posteriore integro

  12. TAC post-operatoria :Corporectomia- fissazione anteriore con cage ,placca e viti e posteriore con barre e uncini laminari.

  13. LUSSAZIONE CERVICALE TRAUMATICA C6-C7 RMN E TAC SPINALE PREOPERATORIA

  14. TAC post-operatoria : fissazione anteriore con cage ,placca e viti e posteriore con barre e uncini laminari.

  15. SUBLUSSAZIONE POSTTRAUMATICA CERVICALE INVETERATA C5-C6 TAC CERVICALE PRE-OPERATORIA IN PROIEZIONE SAGITTALE

  16. TAC CERVICALE PRE-OPERATORIA TAC CERVICALE POST-OPERATORIA IN PROIEZIONE SAGITTALE ACCESSO CHIRURGICO COMBINATO IN TRE FASI ,ANTERIORE E POSTERIORE : DECOMPRESSIONE DELLO SPECO VERTEBRALE PER VIA ANTERIORE TRAMITE CORPORECTOMIA MULTIPLA C5 E C6. RIDUZIONE DELLA LUSSAZIONE PER VIA POSTERIORE CON FISSAZIONE MEDIANTE UNCINI E BARRE . RICOSTRUZIONE ANTERIORE CON “CAGE” E FISSAZIONE CON PLACCA E VITI TRANSSOMATICHE C4-C7

  17. LUSSAZIONE TRAUMATICA TORACICA CON UN SEVERO ANGOLO DI DISLOCAZIONE LATERALE 28° RMN-PREOPERATORIA NELLE DUE PROIEZIONI FRONTALE E SAGITTALE. RICOSTRUZIONE 3D E CALCOLO DELL’ANGOLO DI DISLOCAZIONE.

  18. ACCESSO CHIRURGICO COMBINATO IN DUE TEMPI : POSTERIORE : PARZIALE DECOMPRESSIONE DELLO SPECO VERTEBRALE CON FISSAZIONE: VITI,UNCINI E BARRE . TAC POST –OPERATORIA IN FRONTALE E SAGITTALE ANTERIORE MEDIANTE APPROCCIO TRANSTORACICO: RIDUZIONE COMPLETA MEDIANTE DOPPIA CORPORECTOMIA , RICOSTRUZIONE CON PROTESI ESPANDIBILE E FISSAZIONE CON PLACCA E VITI TRANS SOMATICHE . TAC POST–OPERATORIA IN FRONTALE E SAGITTALE

  19. SPONDILOSI CERVICALE MULTISEGMENTARIA C4 e C5 TAC SPINALE PREOPERATORIA

  20. TAC spinale postoperatoria dopo decompressione anteriore (doppia corporectomia) e fissazione con placca viti C3-C6

  21. SPONDILOSI CERVICALE MULTISEGMENTARIAC3-C4 TAC SPINALE PREOPERATORIA

  22. TAC spinale postoperatoria dopo decompressione anteriore (doppia corporectomia) e fissazione con placca viti C2-C5

  23. SPONDILOSI CERVICALE MULTISEGMENTARIA ED ERNIA SPONDILOSI C5 e C6 ERNIA C3-C4 TAC SPINALE PREOPERATORIA

  24. DECOMPRESSIONE E FISSAZIONE ANTERIORE. ASPORTAZIONE DELL’ERNIA C3-C4 E CORPORECTOMIA CON RIMOZIONE DELL’OSSIFICAZIONE DEL LIGAMENTO E FISSAZIONE IBRIDA CON PLACCA E VITI C3-C6 CAMPO CHIRURGICO FINALE TAC spinale post operatoria

  25. ERNIA TORACICA GIGANTE CALCIFICATA RMN PRE-OPERATORIA IN PROIEZIONE SAGITTALE TAC PRE-OPERATORIA IN PROIEZIONE ASSIALE

  26. ACCESSO CHIRURGICO TRANS-TORACICO ” STAND ALONE” ESPOSIZIONE MIRATA DEL PIANO PREVERTEBRALE E POSIZIONAMENTO DI PLACCHE DI ANCORAGGIO PER LA SUCCESSIVA FISSAZIONE CON PLACCA E VITI. CORPORECTOMIA ED ESPOSIZIONE DEL SACCO DURALE MEDIANTE “DRILLING”. DECOMPRESSIONE MIDOLLARE ED ASPORTAZIONE DELL’ERNIA INTRADURALE.

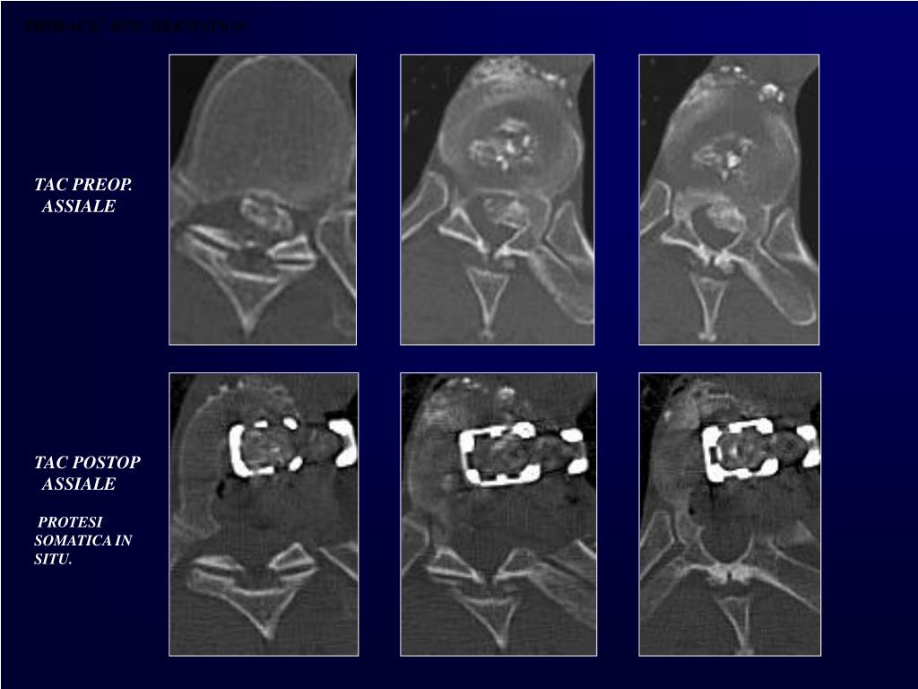
  27. THORACIC DISC HERNIATION TAC PREOP. ASSIALE TAC POSTOP. ASSIALE PROTESI SOMATICA IN SITU.

  28. ASCESSO TUBERCOLARE CON SPONDILODISCITE E CROLLO VERTEBRALE D8-D9-D10 RMN-PREOPERATORIA NELLE PROIEZIONI FRONTALE SAGITTALE ED ASSIALE

  29. D8 D9 D10 TAC POST-OPERATORIA IN PROIEZIONE FRONTALE E SAGITTALE ACCESSO CHIRURGICO TRANS-TORACICO ” STAND ALONE”: DRENAGGIO DELL’ASCESSO ,CORPORECTOMIA MULTIPLA E DECOMPRESSIONE DEL SACCO DURALE. RICOSTRUZIONE CON PROTESI ESPANDIBILE E FISSAZIONE CON PLACCA E VITI TRANS-SOMATICHE.

  30. NEURINOMA DELLA CAUDA EQUINA RMN-PREOPERATORIA NELLE DUE PROIEZIONI SAGITTALE ED ASSIALE

  31. ACCESSO CHIRURGICO POSTERIORE : LAMINECTOMIA DIFFERENTI FASI DELL’INTERVENTO DI ESPOSIZIONE, DISSEZIONE DALLE RADICI NERVOSE E ASPORTAZIONE FINALE DELLA NEOPLASIA.

  32. NEOPLASIA A CELLULE GIGANTI DI T2 CON ESTENSIONE AL MEDIASTINO POSTERIORE T2 T2 Neoplasia TAC e RMN preoperatoriae Giant Cell Tumor

  33. 1° tempo chirurgico: Asportazione della componente posteriore del tumore e fis sazione con barre e uncini C6-C7-D4-D5 (doppia pinza)

  34. Approccio Trans-sternale a cuore battente ( Alcune fasi finali della corporectomia di T2 e della fissazione T1-T3, campo chirurgico) 2° tempo chirurgico: Asportazione della componente mediastinica del tumore, corporectomia di D2 e fissazione con protesi , barre e viti D1-D3

  35. C6-C7 C7 D4-D5 D3 TAC E RMN POSTOPERATORIE DOPO ASPORTAZIONE FINALE

More Related