1 / 55

Hemorragia Intracerebral

Hemorragia Intracerebral. Dra. Gabriela Barrios Solórzano RIII Medicina Interna. Objetivos . Epidemiología Factores de Riesgo Etiología Localizaciones más frecuentes Manejo médico Indicaciones quirúrgicas Pronóstico. Epidemiología. Representa el 8- 13% de ECV

season
Télécharger la présentation

Hemorragia Intracerebral

An Image/Link below is provided (as is) to download presentation Download Policy: Content on the Website is provided to you AS IS for your information and personal use and may not be sold / licensed / shared on other websites without getting consent from its author. Content is provided to you AS IS for your information and personal use only. Download presentation by click this link. While downloading, if for some reason you are not able to download a presentation, the publisher may have deleted the file from their server. During download, if you can't get a presentation, the file might be deleted by the publisher.

E N D

Presentation Transcript


  1. Hemorragia Intracerebral • Dra. Gabriela Barrios Solórzano • RIII • Medicina Interna

  2. Objetivos • Epidemiología • Factores de Riesgo • Etiología • Localizacionesmásfrecuentes • Manejomédico • Indicacionesquirúrgicas • Pronóstico

  3. Epidemiología • Representa el 8- 13% de ECV • Porcentajes altos de Discapacidad • Cada año se presentan 12-15 casos x 100,000 • Cada año mueren aprox. 20,000 individuos secundario a HIC • Tasa de mortalidad a los 30 dias- 40% • HI de Puente o Tallo Cerebral 75%- 24 horas • Predominio masculino, afro-americanos • 55-80 años IntracranialHemorrhage, Liebeskind, MD, UCLA Stroke Center, E.Medicine 2010

  4. definiciones • Hemorragia intracerebral No traumática Extravasación de sangre hacia el parénquima que puede extenderse hacia ventrículos y en algunos casos hacia espacio subaracnoideo • Principales causas • Hemorragia intracerebral primaria o hipertensiva (espontánea) • Rotura de Aneurisma sacular • MAV IntracranialHemorrhage, Liebeskind, MD, UCLA Stroke Center, E.Medicine 2010

  5. IntracranialHemorrahge, NAT REV Neurol 2010

  6. SurgicalTreatment of intracerebralhaemmorrahge, Siddique/Mendelow 2000

  7. Factores de riesgo • HTA • Consumo de alcohol • Tabaquismo • Dislipidemia • Amiloidosis Cerebral • Uso de anticoagulantes o trombolíticos • Arterioesclerosis hipertensiva y Angiopatíaamiloide --- 80% ECV HIC

  8. anatomía

  9. Hemorragia intracerebral primaria • HTA crónica y cambios degenerativos de las arterias cerebrales • Sitios más comunes • Putamen y Cápsula interna • Sustancia blanca central de lóbulos temporales, parietales o frontales (hemorragias lobares) • Tálamo • Puente • Cerebelo • Arteria penetrante q se origina de un territorio vascular mas grande Principios de Neurología, 8va edición. 2007, Adams

  10. Lobar Ganglios basales 50% Tálamo Puente Cerebelo N Engl J Med, Vol. 344, No. 19, May 10, 2001

  11. Proceso Fisiopatológico

  12. Lesión hemodinámica en arterias • Sujetas a cambio de presión, bifurcaciones • Arterias perforantes: • lenticuloestriadas • talamoperforadas • ramas paramedianas de arteria basilar • arterias cerbelosas superiores e inferiores • Hialinosis, lipohialinosis o necrosis focal y aneurisma falso de Charcot-Bouchard • Roturas de lámina elástica en sitios múltiples Principios de Neurología, 8va edición. 2007, Adams, SurgicalTreatment of intracerebralhaemmorrhage, Siddique/Mendelow 2000 , IntracranialHemorrhage, Liebeskind, MD, UCLA Stroke Center, E.Medicine 2010

  13. Zona de PEnumbra SurgicalTreatment of intracerebralhaemmorrhage, BJM,Siddique/Mendelow 2000,

  14. Presentación clínica Presentación Clínica

  15. Signos y síntomas • Alteración del estado de conciencia • Estupor a Coma • Cefalea intensa y vómitos • Hipertensión aguda reactiva • Rigidez de cuello • Convulsiones 10 % • Evento tardío, hemorragias de la hendidura subcortical • Fondo de ojo • Hemiparesia Cefalea + HTA aguda+ vómitos+ déficit neurológico focal

  16. Expansión de hematoma,NEngl J Med, Vol. 344, No. 19

  17. Diagnóstico

  18. Tomografía axial computarizada (TAC) método dx. de elección (Clase 1A) • CT Angiography o TAC resalte de contraste • Expansión de hematoma (Clase IIB) • RMN (Clase 1A) • Hemorragia hiperaguda menor a 6 horas • Causa subyacente • Angiografía • Ptes. menores de 45 a • No riesgo de HIC primaria o hipertensiva • HSA • Estructuras vasculares prominentes • Hemorragia perisilviana o interhemisferica Management of intracerebralhemorrhage, Vascular Health and Risk Management 2007, Guidelinesforthe Management of SpontaneousIntracerebralHemorrhage, AHA/ASA 2010

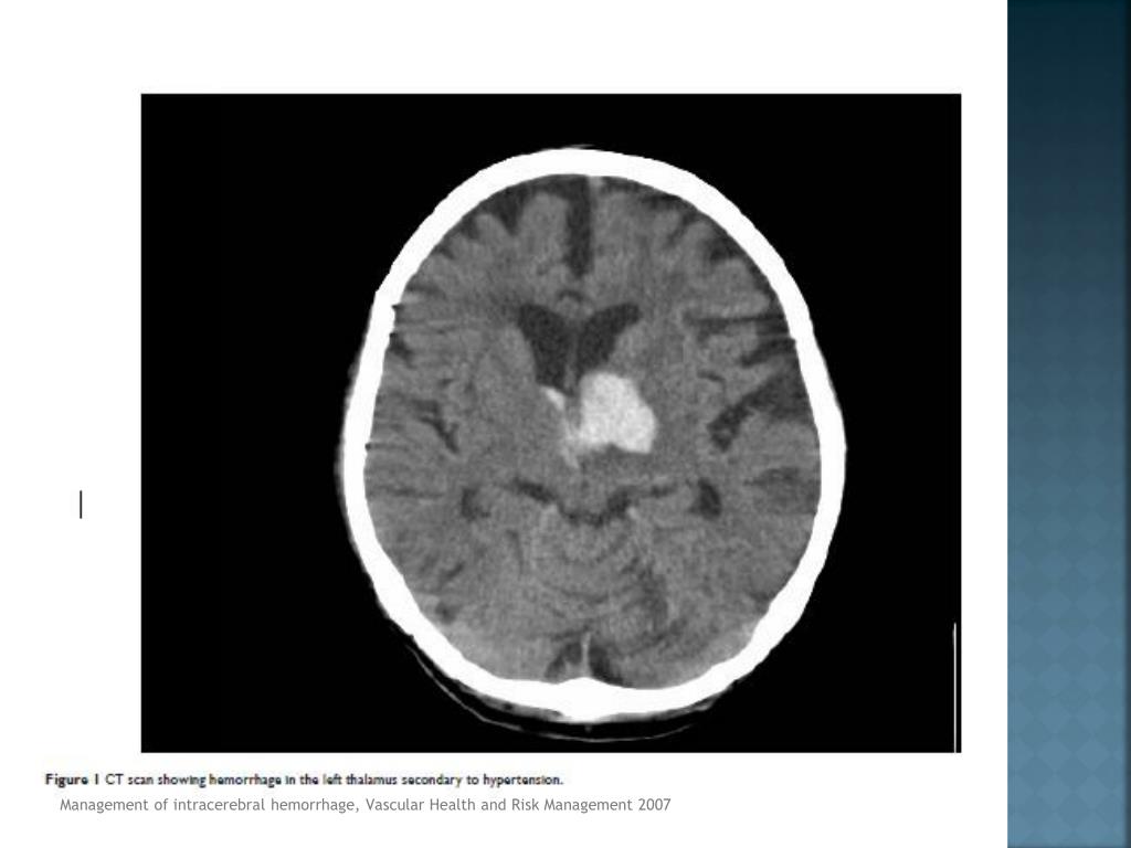
  19. Management of intracerebralhemorrhage, Vascular Health and Risk Management 2007

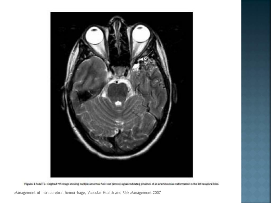
  20. Management of intracerebralhemorrhage, Vascular Health and Risk Management 2007

  21. Manejo

  22. Abordaje inicial • IHC es una emergencia médica • CAB • Dx. y manejo temprano • Deterioro durante las primeras horas es común • Mas del 20 % - Decenso Glasgow mayor a 2 ptos • Deterioro Glasgow 6 ptos , mortalidad 75% • Recursos necesarios Guidelinesforthe Management of SpontaneousIntracerebralHemorrhage, AHA/ASA 2010 Management of intracerebralhemorrhage, Vascular Health and Risk Management 2007

  23. Guidelinesforthe Management of SpontaneousIntracerebralHemorrhage, AHA/ASA 2010

  24. Guidelinesforthe Management of SpontaneousIntracerebralHemorrhage, AHA/ASA 2010

  25. Tratamiento médico • Reconocer coagulopatías subyacente • 12-14% ACO • Corregir INR • Warfarina--Plasma, Vit K (Clase IC ) • Concentrados de complejos de protrombina,(Clase IIa) factor recombinante VIIa (Clase III) • Reemplazo con factor o plaquetas, según el caso (Clase IC) • Compresión neumática intermitente (Clase IB) • Tras documentar cese de sangrado, uso de HBPM o no fraccionada,1-4 dias (Clase IIb) Guidelinesforthe Management of SpontaneousIntracerebralHemorrhage, AHA/ASA 2010

  26. Presión arterial • Mecanismos fisiopatológicos • Activación sistema neuroendocrino y aumento de la PIC • INTERACT, ATACH trial • P/A s 150- 220mmHg, decenso agudo a 140mmHg es relativamente seguro • Clase IIa, Nivel de evidencia B

  27. Guidelinesforthe Management of SpontaneousIntracerebralHemorrhage, AHA/ASA 2010

  28. Ingreso a UCIA • Euvolemia, evitar soluciones con dextrosa • Normoglucemia • Normotermia • Ganglios Basales e HIC lobares --- fiebre • Factor pronóstico • Convulsiones • Al ingreso – 14 dias (2.7-17%) • Drogas antiepilepticas (Clase I A) • No profilaxis (Clase III) Guidelinesforthe Management of SpontaneousIntracerebralHemorrhage, AHA/ASA 2010

  29. Hipertensionintracraneana • HIC --- 20 mmHg x 5 min • Drenaje ventricular- hidrocefalia no comunicante • HIC menor a 20mmHg con PPC 50 -70mmHg • Hipoxia e Hipercapnia • Sedación • Propofol, Fentanyl • Vasopresores o Antihipertensivos • Agentes osmóticos • Manitol / Osm 300-320, Na 150-155 Guidelinesforthe Management of SpontaneousIntracerebralHemorrhage, AHA/ASA 2010 Management of intracerebralhemorrhage, Vascular Health and Risk Management 2007

  30. Tratamiento neuroquirurgico

  31. Tx.Quirurgico • Espectro de presentación clínica q determina decisión quirúrgica • Craneotomía, Aspiración stereotáctica, cirugía endoscópica • Supratentorial / Infratentorial • STICH trial (1cm de corteza, Odds R 0.69,), ( mayor a 1cm de la corteza, GCS menor a 8, peores resultados con tx. qx.) • 4- 96 horas Guidelinesforthe Management of SpontaneousIntracerebralHemorrhage, AHA/ASA 2010 Management of intracerebralhemorrhage, Vascular Health and Risk Management 2007

  32. SurgicalTreatment of intracerebralhaemmorrhage, BJM,Siddique/Mendelow 2005

  33. Objetivos • Reducir efecto de masa • Bloqueo de liberación de productos neuropáticos por el hematoma • Prevenir interacción entre hematoma y tejido viable • Drenaje de hemorragia Talámica, pontina y de ganglios basales ---- daño neuronal • Drenaje de hemorragia intracerebelar mejora sobrevida Guidelinesforthe Management of SpontaneousIntracerebralHemorrhage, AHA/ASA 2010 Management of intracerebralhemorrhage, Vascular Health and Risk Management 2007

  34. SurgicalTreatment of intracerebralhaemmorrhage, BJM,Siddique/Mendelow 2005 , Management of intracerebralhemorrhage, Vascular Health and Risk Management 2007

More Related