1 / 1

Analysis of Supplementary Figure 2 in BCG WT Study: Insights on DLPQH Variants

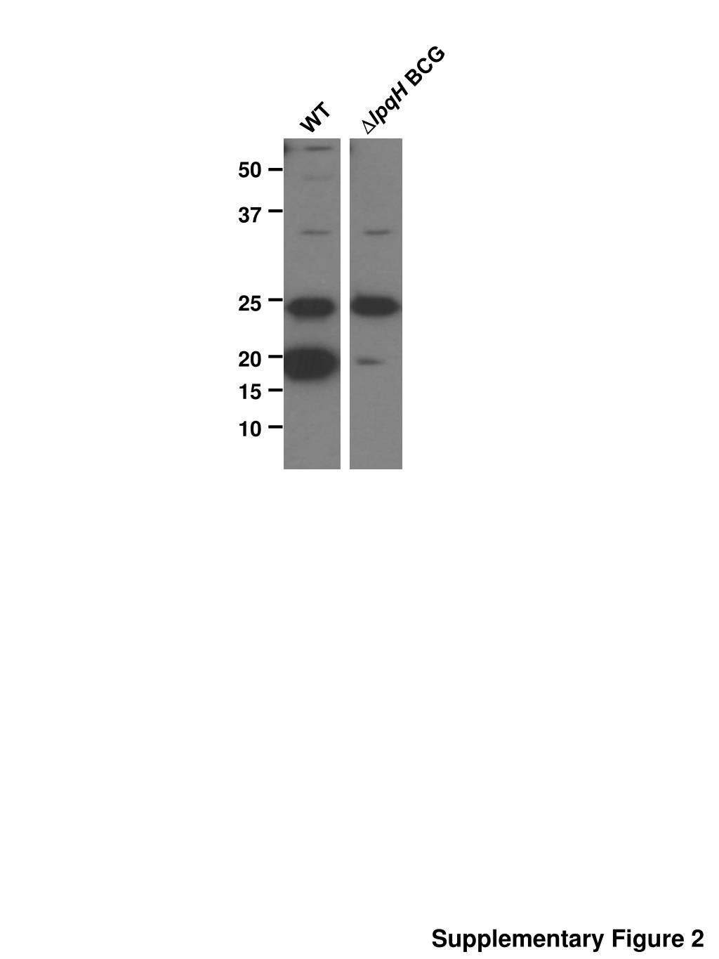
This document reviews Supplementary Figure 2 from the BCG WT study. It provides a detailed analysis of the data presented, focusing on the DLPQH variants and their implications. The figure illustrates key findings and trends, offering insights into the biochemical pathways involved. By examining the various experimental conditions and their outcomes, the analysis contributes to a deeper understanding of BCG's role in the studied context. This figure is critical for interpreting results and supporting conclusions in the broader research framework.

Télécharger la présentation

Analysis of Supplementary Figure 2 in BCG WT Study: Insights on DLPQH Variants

An Image/Link below is provided (as is) to download presentation Download Policy: Content on the Website is provided to you AS IS for your information and personal use and may not be sold / licensed / shared on other websites without getting consent from its author. Content is provided to you AS IS for your information and personal use only. Download presentation by click this link. While downloading, if for some reason you are not able to download a presentation, the publisher may have deleted the file from their server. During download, if you can't get a presentation, the file might be deleted by the publisher.

E N D

Presentation Transcript


  1. DlpqH BCG WT 50 37 25 20 15 10 Supplementary Figure 2

More Related