1 / 77

Sarkomatoid Karsinomlar

Sarkomatoid Karsinomlar. Dr. Serpil Dizbay Sak Ankara Üniversitesi Tıp Fakültesi Patoloji ABD 10. Yıllık Toraks Kongresi 25-29 Nisan 2007. Bir grup az diferansiye küçük hücreli dışı akciğer karsinomu Ortak nokta Sarkoma ya da sarkoma benzeri diferansiasyon gösteren bir komponent.

zihna
Télécharger la présentation

Sarkomatoid Karsinomlar

An Image/Link below is provided (as is) to download presentation Download Policy: Content on the Website is provided to you AS IS for your information and personal use and may not be sold / licensed / shared on other websites without getting consent from its author. Content is provided to you AS IS for your information and personal use only. Download presentation by click this link. While downloading, if for some reason you are not able to download a presentation, the publisher may have deleted the file from their server. During download, if you can't get a presentation, the file might be deleted by the publisher.

E N D

Presentation Transcript


  1. SarkomatoidKarsinomlar Dr. Serpil Dizbay Sak Ankara Üniversitesi Tıp Fakültesi Patoloji ABD 10. Yıllık Toraks Kongresi 25-29 Nisan 2007

  2. Bir grup az diferansiye küçük hücreli dışı akciğer karsinomu • Ortak nokta • Sarkoma ya da sarkoma benzeri diferansiasyon gösteren bir komponent

  3. Epitelyal Yassı epitel Glandüler yapılar İndiferansiye epitelyal elemanlar Küçük nöroendokrin özellikte hücreler Non-epitelyal İğsi hücreler Dev hücreler Sarkomatöz elemanlar Kas Kemik Kıkırdak Akciğer tümörlerinde morfolojik kompozisyon

  4. Epitelyal olmayan/epitelyal görünmeyen elemanlar • Kika 1908: İlk tanımlama • Carbarkos 1985: 49 olgu

  5. Terminoloji • Sarkomatoid karsinom • Pleomorfik karsinom • Dev hücreli karsinom • İğsi hücreli karsinom • Bifazik akciğer tümörü • Psodosarkomatöz karsinom • Karsinosarkom • Pseudosarkom • ...............

  6. I. Epitelyal Tümörler Benign Displazi karsinoma in situ C. Malign 1.Yassı hücreli Ca. -İğsi hücreli karsinoma 4.Büyük hücreli Ca. -Dev hücreli karsinoma II.Yumuşak doku Tüm. III.Mezotelyal Tüm. IV.Çeşitli akciğer tümörleri 1.Karsinosarkoma 2.Pulmoner blastoma 3........... WHO (1981)

  7. Pleomorfik sarkomatoid ve sarkomatöz elemanlar içeren karsinomlar (WHO 99) a.İğsi hücreler ve dev hücreler içeren karsinomlar 1.Pleomorfik karsinoma 2.İğsi hücreli karsinoma 3.Dev hücreli karsinoma b.Karsinosarkoma c.Pulmoner blastoma

  8. Sarkomatoid karsinoma (WHO 2004) • Pleomorfik karsinoma • İğsi hücreli karsinoma • Dev hücreli karsinoma • Karsinosarkoma • Pulmoner blastoma

  9. Genel olarak Ortalama yaş:60 E/K:4/1 Pulmoner blastomalar özellikli: E/K:1/1 Dördüncü dekat Sigara Asbest Epidemiyolojik ve Etyolojik Özellikler

  10. Sarkomatoid karsinomlar: Nadir Tümörler • Tüm akciğer kanserlerinin • % 0.3- 1.3 kadarı • Yine de akciğerde iğsi hücreli bir tümörde akla ilk olarak bunlar gelmeli

  11. Sarkomatoid karsinoma (WHO 2004) • Pleomorfik karsinoma • İğsi hücreli karsinoma • Dev hücreli karsinoma • Karsinosarkoma • Pulmoner blastoma

  12. AÜTF 2000-2006 mart • 26 olgu • 23E; 3K • Yaş: 43-78 • Ortalama 61.1

  13. Epitelyal komponent Adeno: 12 Yassı: 8 Büyük hücreli: 2 Sarkomatoid komponent Dev hücreli:15 İğsi:18 AÜTF 2000 ocak-2006 mart: 26 olgu

  14. 26 Olgu • 1: tek komponent (dev hücreli) • 19: ikili kombinasyon • 5: üçlü kombinasyon • 1: dörtlü kombinasyon

  15. İğsi hücreler Dev Hücreler Dikkat: Bu hücreler malign olmalı Sarkomatoid karsinomaların tipik hücreleri

  16. CD68 CD68 Keratin

  17. Sarkomatoid karsinoma (WHO 2004) • Pleomorfik karsinoma • İğsi hücreli karsinoma • Dev hücreli karsinoma • Karsinosarkoma • Pulmoner blastoma

  18. Küçük hücreli dışı karsinoma Yassı hücreli Adeno Büyük hücreli Nöroendokrin differansiasyon olabilir İğsi hücreli karsinoma Dev hücreli karsinoma Pleomorfik karsinoma En az %10

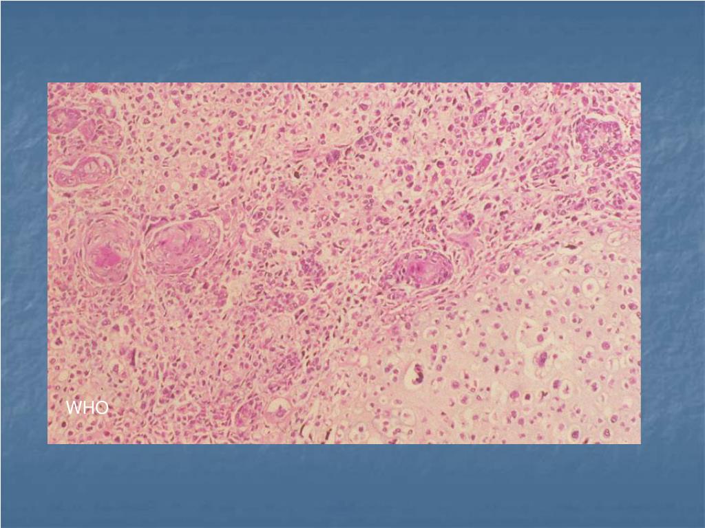
  19. WHO

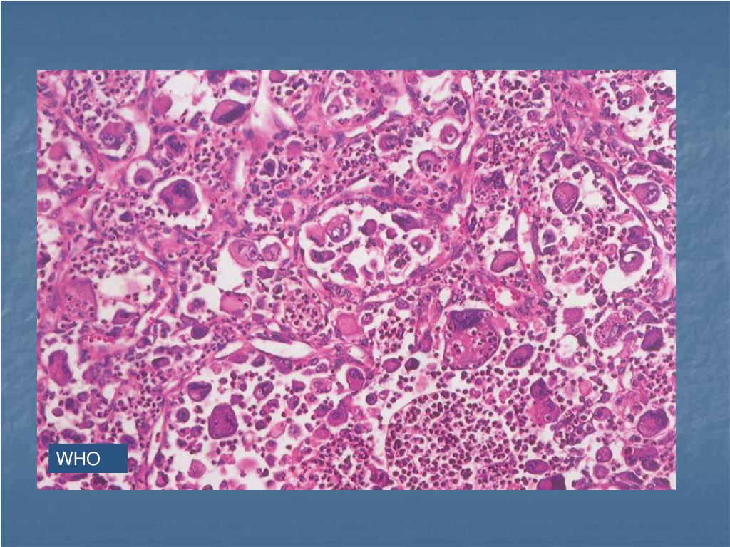
  20. WHO

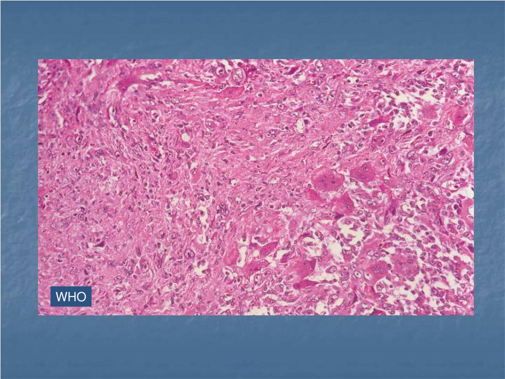
  21. WHO

  22. Küçük hücreli dışı karsinoma Yassı hücreli Adeno Büyük hücreli İğsi hücreli karsinoma Dev hücreli karsinoma Pleomorfik karsinoma

  23. Küçük hücreli dışı karsinoma Yassı hücreli Adeno Büyük hücreli İğsi hücreli karsinoma Dev hücreli karsinoma Pleomorfik karsinoma

  24. Küçük hücreli dışı karsinoma Yassı hücreli Adeno Büyük hücreli İğsi hücreli karsinoma Dev hücreli karsinoma Pleomorfik karsinoma

  25. Sarkomatoid karsinoma (WHO 2004) • Pleomorfik karsinoma • İğsi hücreli karsinoma • Dev hücreli karsinoma • Karsinosarkoma • Pulmoner blastoma

  26. İğsi Hücreli Karsinoma • Sadece iğsi biçimli tümör hücrelerinden oluşan akciğer karsinomu: • Aşikar malignite içeren iğsi hücreler • Koheziv adalar • Düzensiz demetler • Storiform alanlar • Belirgin lenfoplazmasitik infiltrasyon olabilir • (İnflamatuar sarkomatoid karsinoma? Wick, 1995)

  27. İğsi hücreli karsinoma • Epitelyal differansiasyon • Morfolojik olarak izlenmez • İHK • EM ile gösterilebilir

  28. İnflammatuar sarkomatoid karsinoma • Orta derecede pleomorfik • İğsi görünümlü hücreler • Organizasyon • Fasiküler • Storiform • Miksoid görünüm bulunabilir

  29. Keratin

  30. Sarkomatoid karsinoma (WHO 2004) • Pleomorfik karsinoma • İğsi hücreli karsinoma • Dev hücreli karsinoma • Karsinosarkoma • Pulmoner blastoma

  31. Dev Hücreli Karsinoma • Pleomorfik mono/multinükleer dev hücrelerinden oluşan karsinoma • Büyük, multilober, diskohesiv hücreler • Başka bir patern yok

  32. WHO

  33. Dev Hücreli Karsinoma • Nötrofilden zengin bir inflamasyon • Sıklıkla tümör hücrelerinin içinde • Fagositoz? • Emperipolesis?

  34. TTF1

  35. Sarkomatoid karsinoma (WHO 2004) • Pleomorfik karsinoma • İğsi hücreli karsinoma • Dev hücreli karsinoma • Karsinosarkoma • Pulmoner blastoma

  36. Karsinoma (küçük hücreli dışı) Yassı hücreli %70 Adeno%20-30 Büyük hücreli %10 Differansiye sarkoma Malign kıkırdak Malign kemik Malign iskelet kası Karsinosarkoma &

  37. WHO

  38. WHO

  39. Karsinosarkoma • Lezyon içerisinde sarkoma kısmı daha geniş yer kaplar. • Karsinoma komponentini aramak • Sarkoma kısmı geniş alanlarda sadece indifferansiye ‘iğsi’ hücrelerden oluşabilir. • Karsinosarkoma tanısı için küçük alanlarda differansiye sarkomatöz elemanların aranması

  40. Karsinosarkoma • Metastazlar • Genellikle her iki komponent birlikte • Ya da • Sadece karsinom • Sadece sarkom

  41. Sarkomatoid karsinoma (WHO 2004) • Pleomorfik karsinoma • İğsi hücreli karsinoma • Dev hücreli karsinoma • Karsinosarkoma • Pulmoner blastoma

  42. Pulmoner blastoma Pleuropulmoner blastoma Akciğerde “blastoma” Monofazik pulmoner blastoma: Fetal adenokarsinoma: İyi diferansiye fetal adenokarsinoma

  43. Force&Patterson, 2003

More Related