aimee
Uploaded by
58 SLIDES
5539 VUES
1300LIKES

Bone Marrow biopsy – processing

DESCRIPTION

Bone Marrow biopsy – processing. Dr Epari Sridhar Associate Professor Pathology. Introduction. Examination of the bone marrow (BM) aspirate and trephine biopsy is essential for the diagnosis of BM disorders.

1 / 58

Télécharger la présentation

Bone Marrow biopsy – processing

An Image/Link below is provided (as is) to download presentation Download Policy: Content on the Website is provided to you AS IS for your information and personal use and may not be sold / licensed / shared on other websites without getting consent from its author. Content is provided to you AS IS for your information and personal use only. Download presentation by click this link. While downloading, if for some reason you are not able to download a presentation, the publisher may have deleted the file from their server. During download, if you can't get a presentation, the file might be deleted by the publisher.

E N D

Presentation Transcript


  1. Bone Marrow biopsy – processing Dr Epari Sridhar Associate Professor Pathology

  2. Introduction • Examination of the bone marrow (BM) aspirate and trephine biopsy is essential for the diagnosis of BM disorders. • A comprehensive diagnosis of a BM disorder often requires the integration of various diagnostic approaches: • peripheral blood (PB) counts and smear evaluation, • BM aspirate and imprint smear, BM trephine biopsy • Other investigations such as cytochemistry, immunophenotypic analysis, cytogenetic and molecular genetic techniques, • Biochemical and microbiological test results, as appropriate. • The aspirate and trephine biopsy provide complementary and useful information. • It is recommended that both BM aspirate and biopsy be routinely performed so that respective findings can be correlated.

  3. BM - Indications • Unexplained anaemia, abnormal red cell indices, cytopenias or cytoses • Abnormal peripheral blood smear morphology suggestive of BM pathology • Diagnosis, staging and follow-up of malignant haematological disorders • Suspected bone marrow metastases and unexplained focal bony lesions on imaging • Unexplained organomegaly or presence of mass lesions inaccessible for biopsy • Exclusion of haematological disease in potential allogeneic stem cell transplant donors • Evaluation of iron stores • Investigation of lipid/glycogen storage disorders • Microbiological culture for investigations of pyrexia of unknown origin or specific infections, e.g. military tuberculosis, leishmaniasis, malaria

  4. BM BX - Prerequisites • The procedure should be explained in detail to the patient. • Informed consent should be obtained from the patient. • Should be done under adequate sedation and analgesia, if required • Safety issues to be taken with regard to thrombocytopenia/ coagulopathic risks • H/o any allergies/premedications should be obtained and co-morbidities documented. • A blood count and smear should be obtained if these have not been collected in the previous 2 days. • Awareness of the indications for the marrow examination and the specimens required to be taken.

  5. Site for BM aspiration and trephine biopsy • The preferred site is the posterior iliac crest. • Anterior iliac crest can be used if the patient is immobile. • Medial surface of the tibia can also be used in infants. • Sternal aspirate may be appropriate in certain circumstances, e.g. immobile pts, prior RT to the pelvis or other sites have yielded a ‘dry tap’ or if a trephine biopsy is not required. • Sternal aspiration should not be attempted in patients with suspected plasma cell myeloma or other disorders associated with bone resorption. • In cases of focal bone lesions - needle aspirate &/or bone biopsy at the site.

  6. Positioning the Patient • Posterior iliac crest (PIC) Lateral decubitus position, knees flexed, pillow under head, eyes away • Anterior iliac crest (AIC) - Supine position, hips and knees flexed, eyes away • Sternum Supine position, head and eyes away, light towel over face "to keep things sterile" (and cover eyes) Right posterior iliac crest

  7. Site: BMA vs BMBX • Either the aspirate or the trephine biopsy may be performed first. • Aspirate is usually performed first but, if a very large aspirate is taken, this may lead to suboptimal trephine biopsy specimen. • Probability of obtaining an adequate aspirate is less if aspiration is performed after biopsy. • It is also easier to perform the least painful procedure first. • But both should preferable be done in the same sitting with sites be appr 0.5-1cms apart. • It is recommended that the aspirate and trephine biopsy be obtained using the respective needles separately, and not through a trephine needle.

  8. Various needle designs are satisfactory including Jamshidi and Islam needles. Commercial kit – BMBX & BMA

  9. BMBX – Specimen collection • The length of the core from an adult should be at least 2 cm. • A shorter core (e.g. 1 cm) may sometimes contain sufficient diagnostic information. • Bilateral trephine biopsies may be performed to increase the yield of detecting focal lesions. • The specimen should be handled gently to avoid crush artefact and distortion. • a blunt stylet should be used to expel the core from the proximal end of the biopsy needle onto a glass slide. • Touch imprints should be made from the trephine biopsy prior to placing in fixative. • Imprints are made by gently touching the fresh unfixed core on the slide, or the slide on the core. • After the imprints have been made, the core specimen should be placed into a container with appropriate fixative. • The container must be appropriately labeled at the bedside with the patient surname, first name, unique patient identifier, and • date and time of collection, should be mentioned on the label, so that the time when the biopsy specimen should be removed from the fixative can be calculated.

  10. Adequacy of the biopsy • Should contain at least five to six intertrabecular spaces and, after processing (at least 2–3 cm in length; 1.5–2 cm is an acceptable length.) • The amount of assessable haemopoietic marrow included in the biopsy specimen is of more importance than the total length. • In the case of children, biopsies will necessarily be shorter. • Higher detection rate with bilateral biopsies has been demonstrated: • for neuroblastoma, small cell carcinoma of the lung & lymphomas.

  11. BM BX - Fixation • Fixation methods can significantly affect morphology, cytological detail and immunoreactivity. • A standard fixative is neutral buffered formalin for 6 h. • Other fixatives commonly used include • zinc formaldehyde, • B5 (mercuric chloride, sodium acetate and formalin), • AZF (acetic acid-zinc-formalin), • IBF (isotonic buffered formalin), • Bouin’s fixative (picric acid, acetic acid and formaldehyde), • Formaldehyde and glutaraldehyde. • Fixation time varies depending on the fixative used, from a minimum of 1 h to maximum of >24 h. • Neutral buffered formalin with EDTA decalcification gives adequate morphology, preserves antigens for IHC and nucleic acids for molecular studies.

  12. BM BX - Decalcification • Commonly used solutions are EDTA, formic acid, acetic • acid, picric acid, nitric acid • Commercial decalcifying agents (e.g. Shandon TBD.1, Basingstoke, Hampshire, UK; Surgipath Decalcifier II, Richmond,IL, USA). • Decalcification time varies from 15 min to 72 h, depending both on the type of decalcifying agent as well as on the size of the biopsy specimen. • Decalcification chelates storage iron, affects morphology and cytological detail, the ability to perform histochemistry and IHC, and to retrieve material suitable for molecular analysis. • Decalcification with EDTA results in better preservation of nucleic acids, but is slower than with other acid reagents.

  13. Processing and Sectioning • After decalcification, the biopsy specimen is processed in the same manner for other histopathology specimens for paraffin embedding and sections cut on a microtome. • The recommended thickness of sections is 2-3 microns. • At least six sections should be cut at three levels: 25%, 50%, and 75% into the cross-sectional diameter of the core.

  14. BM BX - Plastic embedding • Bone marrow core biopsy specimens can also be embedded in plastic resin. • Gives good cytological detail, does not require decalcification and may be useful for the evaluation of metabolic bone diseases and histochemical reactions. • But is technically more difficult and limits the range of immunohistochemical studies and probably FISH.

  15. J Clin Pathol. 2006 Sep;59(9):903-11. Optimal processing of bone marrow trephine biopsy: the Hammersmith Protocol. Naresh KN, Lampert I, Hasserjian R, Lykidis D, Elderfield K, Horncastle D, Smith N, Murray-Brown W, Stamp GW. Source Department of Histopathology, Hammersmith Hospital, London, UK. k.naresh@imperial.co.uk Abstract Specimens of bone marrow trephine biopsy (BMT) are transported and fixed in acetic acid-zinc-formalin fixative, decalcified in 10% formic acid-5% formaldehyde and processed with other specimens to paraffin-wax embedding. Sections, 1-microm-thick, are cut by experienced histotechnologists and used for haematoxylin and eosin, Giemsa, reticulin silver and other histological stains. Further, all immunohistochemical procedures used in the laboratory, including double immunostaining, can be used on these sections with no or minimal modifications. About 10,000 BMT specimens have been analysed using this procedure since 1997 and diseases involving the bone marrow have been classified successfully. More recently, standardised polymerase chain reaction-based analysis and mRNA in situ hybridisation studies have been conducted. Excellent morphology with good antigen, DNA and RNA preservation is offered by the Hammersmith Protocol.

  16. BM BX - Staining • Sections should be stained with haematoxylin and eosin (H&E). • Giemsa staining may be carried out in addition to H&E stains. • Giemsa stain may be helpful for identifying plasma cells, mast cells, lymphoid cells, eosinophils, and for distinguishing between myeloblasts and proerythroblasts. • One section may be stained forreticulin by the silver impregnation method. • A trichrome stain may be used to identify collagen fibrosis, which is readily recognized in well-stained H&E specimens.

  17. Microscopy • Two to four sections should be reviewed routinely. • In staging, the chances of detecting a focal lesion are increased if more sections are reviewed. • Particularly useful for the assessment of overall marrow architecture and cellularity and provide greater sensitivity for the assessment of focal lesions and patchy infiltrates.

  18. BM BX - cellularity • The percentage cellularity should be obtained by estimating the proportion of cells occupying the total marrow cavity. • BM cellularity varies with age and should be assessed with reference to the age of the patient. • In healthy paediatric samples, cellularity is highest in patients younger than 2 years (approximately 80%), and declines in patients 2 to 4 years old (approximately 70%) and 5 to 9 years old (approximately 60%). • Generally, iliac crest specimens gradually decrease from 60% cellularity after puberty to 30% by the 8th decade. • Intertrabecular spaces adjacent to the cortex are frequently hypocellular, particularly in the elderly, and should not be included in the assessment of cellularity.

  19. Microscopy ..contd. • Trephine sections should be viewed systematically - initially at low power (4x to 10x) for: • adequacy, pattern, cellularity, presence of focal lesions, megakaryocyte number, abnormal cell clusters and location • bone structure (trabecular number and thickness), and osteoclastic and osteoblastic activity. • The sections are next viewed under higher magnification (20x to 40x) to assess haemopoietic activity (e.g. erythroid, myeloid, megakaryocytic lineages, lymphoid cells, plasma cells and macrophages) and cytological detail.

  20. BM BX - Cellular distribution • Granulocytic precursors in the marrow are anatomically related to paratrabecular and perivascular locations. • Erythroid precursors occur in islands that appear randomly distributed in the marrow spaces but are generally related to perivascular location • Megakaryocytes are ususally randomly distributed throughout the bone marrow and usually occur singly

  21. BM BX – lymphoid cells • Appr 10% of marrow cells in adults are small lymphocytes. • Diffusely scattered throughout the interstitium • Reactive aggregates amy be seen, especially in older age (more frequent after 4th decade; F>M). • Plasma cells are usually <1% • Usually in the perivascular location

  22. Patterns of involvement Diffuse Patchy or diffuse Leukaemias, CLL, HCL, Burkitt Interstitial CLL, HCL,Burkitt Patchy Paratrabecular • Non Paratrabecular • MCL, MZL, DLBCL FL, MCL, AITL, PTCL,TCRBCL Sinusoidal cells SMZL, MCL, Hepatosplenic gamma delta, Primary intravascular B cell lymphoma Single

  23. Interstitial cells 65 year old male with weight loss and fatigue for six months A CBC revealed peripheral blood lymphocytosis with 50% atypical lymphoid cells

  24. CD20 Cyclin D1 mantle cell lymphoma/leukaemia

  25. Splenomegaly with pancytopenia - cells not seen in aspirate due to fibrosis. Mistaken for Erythroid cells – Annexin A, CD123, CD103 , Cyclin D1 and DBA44

  26. CD20

  27. CLL/SLL

  28. Paratrabecular – Follicular lymphoma CD20

  29. RS cells or their mononuclear variants must be identified in the marrow before a diagnosis of involvement CD30

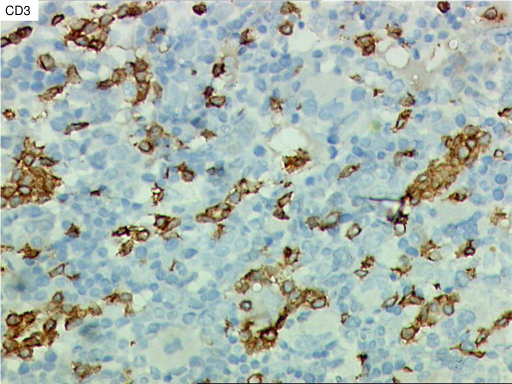
  30. CD3

  31. BM BX - Stromal component • Comprises of adipose tissue with sinusoids, fibroblasts etc. • Adipose tissue: serous degeneration/gelatinous tranformation • Stromal fibrosis • Sinusoids: • Inconspicous under normal circumstances • Dilated: sudden loss of the cellularity or in cases of the tumour infiltration or in cases of fibrosis

  32. BM BX - reticulin • Quantification of reticulin staining - Two grading systems • European consensus scoring system: from 0 to 3 • Bauermeister scoring system: from 0 to 4 . • The scoring system used must be stated. • May also be graded as normal, slightly increased, moderately increased, markedly increased or absent. • Focal increase in reticulin (e.g. seen after therapy) should be commented on if necessary for diagnosis.

  33. Reticulin grading system • Bauermeister scoring system: • Grade 0: No increase • Grade 1: Fine fibres with few crossing • Grade 2: Fine fibres with meshwork-like appearance • Grade 3: Meshwork with some coarse fibres. • Grade 4: Thick coarse fibres (MT positive) • European consensus scoring system: • Grade 0: scattered linear reticulin • Grade 1: loose network with few crossing • Grade 2: diffuse and dense increase with focal coarse fibres • Grade 3: coarse bundles of collagen.

  34. Other ancillary investigations • Useful histochemical stains include Congo Red, Ziehl-Nielsen stain, Gomori’s methenamine silver (GMS) stain, and the periodic acid Schiff (PAS) . • If the aspirate is a dry or aparticulate tap, sections may be stained with Prussian Blue to assess storage iron, however decalcification removes storage and sideroblast iron. • Immunohistochemistry: for the determination of the lineage and differentiation stage of normal or abnormal cells or cellular infiltrates, detection of low level or minimal residual disease, disease classification and detecting markers of prognosis. • Some phenotypic markers can be assessed by IHC on BM trephine specimens, but not by flow cytometry, e.g. cyclin D1 in MCL, nucleophosmin in acute myeloid leukaemia. • It is not recommended that IHC be routinely performed on all trephine biopsy specimens. • In-situ hybridisation and other molecular investigations.

More Related