1 / 12

Gravidez Normal do Primeiro Trimestre

Gravidez Normal do Primeiro Trimestre. Aspectos Embriológicos do Primeiro Trimestre 4sem e 3dias a 13sem e 6dias. Ultrassonografia nos primeiros três meses Sua importância. Primeiro Trimestre Idade Gestacional contada a partir do primeiro dia da última menstruação;

elani
Télécharger la présentation

Gravidez Normal do Primeiro Trimestre

An Image/Link below is provided (as is) to download presentation Download Policy: Content on the Website is provided to you AS IS for your information and personal use and may not be sold / licensed / shared on other websites without getting consent from its author. Content is provided to you AS IS for your information and personal use only. Download presentation by click this link. While downloading, if for some reason you are not able to download a presentation, the publisher may have deleted the file from their server. During download, if you can't get a presentation, the file might be deleted by the publisher.

E N D

Presentation Transcript


  1. Gravidez Normal do Primeiro Trimestre

  2. Aspectos Embriológicos do Primeiro Trimestre4sem e 3dias a 13sem e 6dias

  3. Ultrassonografia nos primeiros três meses Sua importância • Primeiro Trimestre • Idade Gestacional • contada a partir do primeiro dia da última menstruação; • a gestante deve estar atenta para fornecer com segurança o primeiro dia da última menstruação; • o exame de ultrassom nos primeiros 3 meses dá a data provável do parto de forma mais precisa, com erro médio de 4 dias para mais ou para menos; • quando a menstruação não vem, a gestante já está com 4 semanas na contagem do médico obstetra;

  4. Ultrassonografia nos primeiros três meses Sua importância • Primeiro Trimestre • Idade Gestacional • um exame de sangue chamado beta-hCG confirma a gravidez; • a gestação começa a ser vista dentro do útero da mãe com um atraso aproximado de de 3 dias na menstruação, quando ela já tem uma idade de gravidez de 4 semanas e 3 dias na contagem do obstetra; • o exame de ultrassom no início é importante para termos a certeza de que a gravidez está dentro do útero, pois existem casos em que o saco gestacional se implanta fora do útero. Por exemplo, em uma das trompas da mulher;

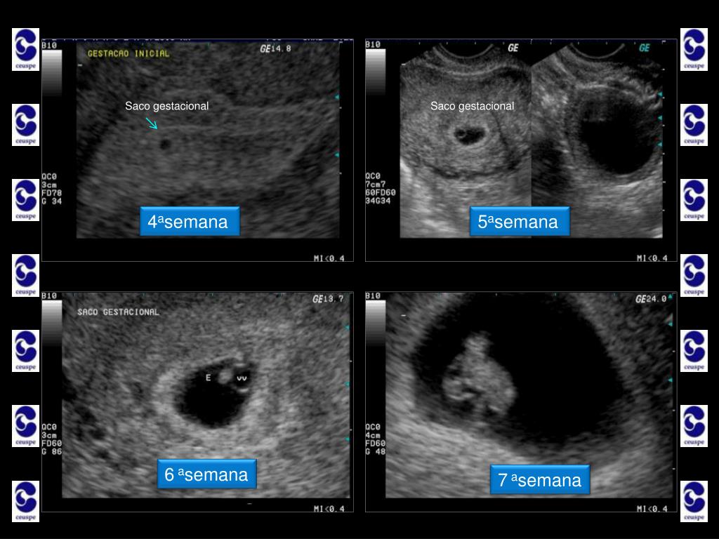
  5. Ultrassonografia nos primeiros três meses... • Primeiro Trimestre • Idade Gestacional • geralmente quando o exame de beta-hCG passa de 1.000mU/ml é possível encontrar o saco gestacional no interior do útero. Estamos então na quarta semana de gravidez; • dentro do saco gestacional, surge uma “bolinha” de líquido chamada vesícula vitelina que alimenta o pequenino embrião que ainda não é visível pela ultrassom, mas já está por lá! É como se essa “bolinha” fosse a estrela de Belém, que anuncia a chegada do novo ser! Já estamos na quinta semana; • na sexta semana, o embriãozinho surge com 5mm de comprimento piscando...É o pequeno coraçãozinho já batendo...

  6. Ultrassonografia nos primeiros três meses... • Primeiro Trimestre • Idade Gestacional • a partir daí, o embriãozinho começa a crescer rapidamente; • já podemos medir o comprimento da cabeça até a nádega (CCN) e precisar com erro de 3 dias a idade da gravidez e data provável do parto; • na nona semana, nosso embrião passa a ser chamado de feto e já apresenta uma forma humana; • de 9 a 13 semanas, seus órgãos se formam rapidamente e seu crescimento é acelerado!

  7. A gravidez é vista na ultrassonografia quando o teste de gravidez está acima de 800 a 1000 mUI/ml

  8. 4asemana 4asemana Gestação Gemelar na 4asemana Gestação Gemelar na 5asemana βhCG: 312mUI/mL

  9. Saco gestacional Saco gestacional 4asemana 5asemana 6asemana 7asemana

  10. Comprimento cabeça-nádega vv EMBRIÃO CCN

  11. Saco gestacional dentro do útero

  12. 9 asemana Agora já cresci mais...Já tenho forma humana...Sou feto...

More Related