1 / 45

骨髓增生异常综合征( myelodysplastic syndrome, MDS )

骨髓增生异常综合征( myelodysplastic syndrome, MDS ). 是一组起源于造血髓系定向干细胞或多能干细胞的异质性克隆性疾病,主要特征是无效造血和高危演变为急性髓系白血病。. 病因. MDS30% ~ 60% 转化为白血病。其死亡原因除白血病之外,多数由于感染,出血,尤其是颅内出血。 MDS 的病因尚不明确,推测是由于生物,化学,或物理等因素引起基因突变,染色体的异常使某个恶变的细胞克隆性增生。. 临床表现.

Télécharger la présentation

骨髓增生异常综合征( myelodysplastic syndrome, MDS )

An Image/Link below is provided (as is) to download presentation Download Policy: Content on the Website is provided to you AS IS for your information and personal use and may not be sold / licensed / shared on other websites without getting consent from its author. Content is provided to you AS IS for your information and personal use only. Download presentation by click this link. While downloading, if for some reason you are not able to download a presentation, the publisher may have deleted the file from their server. During download, if you can't get a presentation, the file might be deleted by the publisher.

E N D

Presentation Transcript


  1. 骨髓增生异常综合征( myelodysplastic syndrome, MDS) • 是一组起源于造血髓系定向干细胞或多能干细胞的异质性克隆性疾病,主要特征是无效造血和高危演变为急性髓系白血病。

  2. 病因 • MDS30%~60%转化为白血病。其死亡原因除白血病之外,多数由于感染,出血,尤其是颅内出血。 • MDS的病因尚不明确,推测是由于生物,化学,或物理等因素引起基因突变,染色体的异常使某个恶变的细胞克隆性增生。

  3. 临床表现 • 造血细胞在质和量上出现不同程度的异常变化。其具体临床表现为贫血,可伴有感染或出血,部分病人可无症状。部分患者可有肝,脾,淋巴结轻度肿大,少数患者可有胸骨压痛,肋骨或四肢关节痛。

  4. 分型 • 1982年由FAB协作组建议确立病名,并将MDS分为五型:难治性贫血;难治性贫血伴环状铁粒幼细胞增多;难治性贫血伴原始细胞增多,转变中的难治性贫血伴原始细胞增多;慢性粒-单核细胞白血病。   

  5. WHO关于MDS的亚型 亚型名称 外周血象 骨髓象 难治性贫血 贫血;未见或罕见 仅红系增生异常, ( RA)       原始细胞 原始细胞< 5%,                       环形铁粒幼细胞<15% 难治性贫血伴    贫血;未见或罕见仅红系增生异常, 环形铁粒幼细胞   原始细胞        原始细胞< 5%, (RARS)                环形铁粒幼细胞≥15% 难治性血细胞减少 血细胞减少(二系或 二系或多系细胞增生异常 伴多系增生异常 全系);未见Auer小体; ≥10%;原始细胞< 5%, (RCMD) 未见或罕见 原始细胞 ; 未见Auer小体; 单核细胞<1×109/L 环形铁粒幼细胞<15% 难治性血细胞减少 血细胞减少(二系或 二系或多系细胞增生异常 伴多系增生异常和 全系);未见Auer小体; ≥10%;原始细胞< 5%, 环形铁粒幼细胞 单核细胞<1×109/L 未见Auer小体; (RCMD-RS) 环形铁粒幼细胞≥15%

  6. 亚型名称 外周血象 骨髓象 难治性贫血伴 血细胞减少, 一系或多系细胞增生异常; 原始细胞增多1型 原始细胞<5% 原始细胞5%~9%; (RAEB-1) 未见Auer小体; 未见Auer小体; 单核细胞<1×109/L 难治性贫血伴 血细胞减少, 一系或多系细胞增生异常; 原始细胞增多2型 原始细胞5%~19% 原始细胞10%~19%; (RAEB-2) Auer小体(±); Auer小体(±); 单核细胞<1×109/L 未归类的MDS 血细胞减少, 单一髓系细胞增生异常; (MDS-U) 未见或罕见原始细胞; 原始细胞<5% ; 未见Auer小体; 未见Auer小体; 5q-综合征 贫血; 少叶核巨核细胞正常或增多; [del(5q)] 血小板计数正常或增高; 原始细胞<5% ; 原始细胞<5%; 细胞遗传学检测仅见 del(5q)异常; 未见Auer小体;

  7. 【诊断标准】 1、临床表现 以贫血症状为主,可兼有发热或出血。 2、血象 全细胞减少,或任一,二系细胞减少,可有巨大红细胞,巨大血小板,有核红细胞等病态造血表现。 3、骨髓象 增生活跃或明显活跃,有三系或二系,或任一系血细胞的病态造血。4、除外其他伴有病态造血的疾病。

  8. MDS病态造血的骨髓象 • 红细胞系过多或过少、巨幼样变、幼红细胞多核、核可畸形、分叶、碎裂,有时见环形铁粒幼细胞。 • 粒细胞系可见核分叶过多或过少,以及Pelger样核异常、颗粒过多或过少、成熟胞质嗜碱、核畸形或双核等外周血相似表现。 • 巨核系可见小巨核细胞、多个圆形巨核、单圆核巨核细胞,以淋巴样小巨核细胞最有特征性。

  9. MDS的血细胞病态造血 细胞系别 外周血 骨髓 红细胞系红细胞大小不一,见大红细胞, 明显增生(>60%),少数可增生低下 可出现幼红细胞,也有类似骨 (<5%);巨幼变;多核或母子核 髓红细胞的异常 红细胞;核碎裂;晚幼红脱核障碍; H-J小体、卡波环、嗜碱性点彩、多 染性红细胞;出现环形铁幼粒细胞 粒细胞系可出现幼粒细胞,也有类似骨 胞质中颗粒过多、减少或缺如;核 髓粒细胞异常 分叶过多或过少(假Pelger-huet畸 形);中、晚幼粒细胞或中性杆状 核呈双核形;环形核中性粒细胞; 巨核细胞系巨大血小板及病态颗粒; 小(微)巨核细胞;大单圆核巨核 可出现小巨核细胞、巨核细胞 胞;多核巨核细胞;巨型血小板 碎片

  10. MDS 粒系病态变化

  11. MDS 粒系病态变化

  12. MDS 红系病态变化

  13. MDS 红系病态变化

  14. MDS 巨核系病态变化

  15. MDS巨系病态变化

  16. FAB分型:骨髓增生异常综合征难治性贫血(MDS—RA)FAB分型:骨髓增生异常综合征难治性贫血(MDS—RA) • 外周血:原始细胞小于1%,红细胞系造血异常,可见幼红、幼粒细胞。 • 骨髓象:原始细胞小于5%,幼红细胞系增生和/或红细胞系造血紊乱。

  17. 难治性贫血伴环形铁粒幼细胞增多(MDS—RAS) • 外周血:原始细胞小于1%,红细胞系造血紊乱,有双形性红细胞出现。 • 骨髓象:原始细胞小于5%,幼红细胞系增生和/或红细胞系造血紊乱,环形铁粒幼细胞大于有核细胞的15%。

  18. MDS-RAS 环形铁粒幼细胞

  19. MDS环形铁粒幼细胞

  20. 难治性贫血伴原始细胞增多型(MDS—RAEB) 外周血:原始细胞小于5%,累及二系或多系血细胞减少。 骨髓象:原始细胞 5% ~20%,三系血细胞造血紊乱。

  21. MDS-RAEB 骨髓象(原 幼细胞比例增加 病态造血 核碎裂等)

  22. MDS - RAEB

  23. 骨髓增生异常综合征伴原始细胞增多-转化型(RAEB-T)骨髓增生异常综合征伴原始细胞增多-转化型(RAEB-T) 除外周血、骨髓与RAEB 相似表现,符合下列三条的任一条: 1. 周围血原始细胞大于5%。 2. 骨髓中原始细胞大于20%~30%。 3. 存在Auer小体。

  24. MDS -RAEB-T 骨髓象

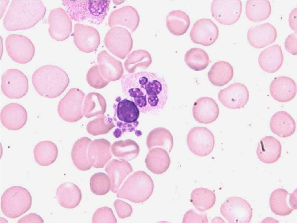
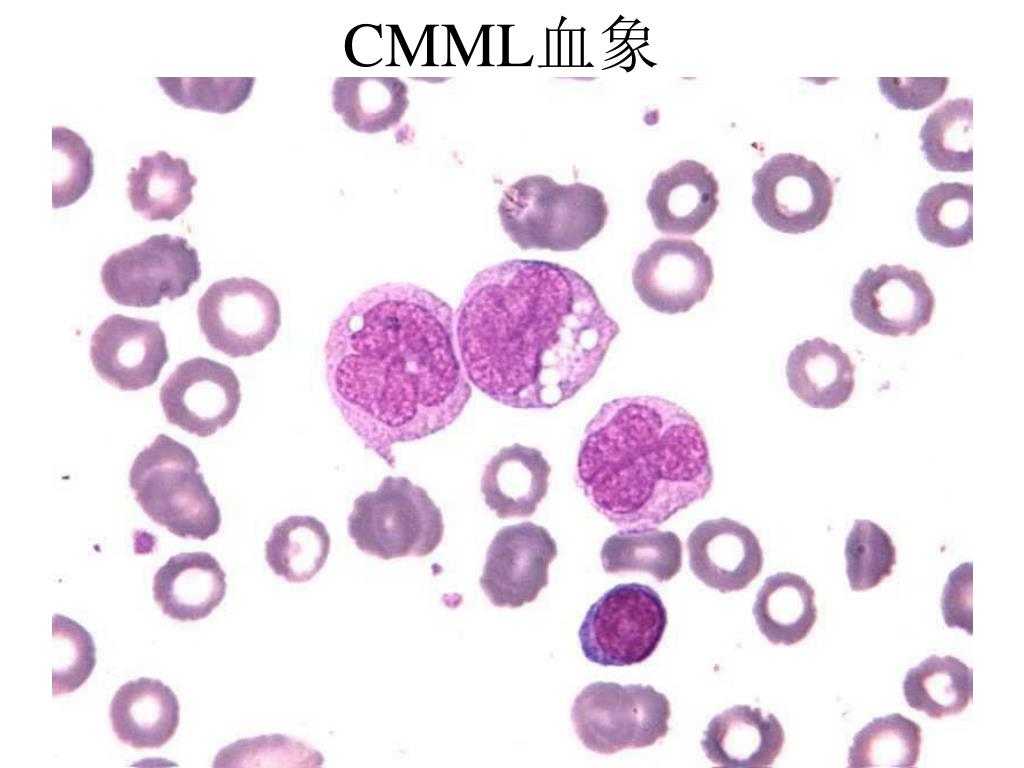
  25. CMML • 1.血象:白细胞计数增高或降低,分类可见各阶段幼稚粒细胞,以中、晚幼粒细胞为主,但一般小于10%;单核细胞增多,其绝对值大于1000/ul。 • 2.骨髓象:有核细胞增生显著或极度活跃,粒红比值增高。粒系各阶段比例基本正常,嗜酸、嗜碱粒细胞无明显增多。单核增多,以成熟型为主,原、幼单核细胞一般小于5%;粒单系大于75%,红系增生相对减少;巨核系增生程度不一;有核细胞形态可见病态改变。

  26. CMML血象

  27. CMML骨髓象

  28. CMML 骨髓象(增生极度活跃 成熟单核细胞比例上升)

  29. 慢性粒细胞性白血病(chronic myelogenous/granulocytic leukemia CML,CGL) [概述] • 造血干细胞的克隆性增殖性疾病,发病率仅次于急粒和急淋,以20-50岁多见。 • 最突出体征是脾肿大。 • 本病程可分三期:慢性期、加速期、急变期。病程平均3.5年。

  30. 一、 实验室检查 • 血象 • 骨髓穿刺、活捡。 • 中性粒细胞碱性磷酸酶染色 • 染色体 • bcr/abl 融合基因检测

  31. CML骨髓象(慢性期) 有核细胞增生极度或明显活跃,粒红比例显著升高。粒细胞系以中性中幼粒、晚幼粒和杆状核增生为主,同时伴有嗜酸、嗜碱粒细胞增多。原粒、早幼粒细胞一般少于10% ~ 15% 。红系增生或明显增生,但比例相对减少,巨核细胞正常或增多。部分病人骨髓伴有病态造血。

  32. 二、 诊断标准 慢性期 • (1) 临床表现:无症状或有低热、乏力、多汗、体重减轻等症状。 • (2) 血象: WBC>10×10 9 /L ,分类以中性中、晚幼和杆状粒细胞为主,原始细胞 <10% ,嗜酸和嗜碱粒细胞增多,可有少量有核红细胞。中性粒细胞碱性磷酸酶积分降低。 • (3) 骨髓象:增生明显至极度活跃,以粒系增生为主,其中主要为中、晚幼和杆状粒细胞增多,原始细胞 <10% 。 • (4) ph 染色体阳性和 / 或 bcr/abl 融合基因阳性。 • (5) CFU-GM 培养,集落及集簇较正常明显增加。

  33. 慢性期血象

  34. 慢性期骨髓象

  35. CGL 的加速期和急变期 • 本病是多能干细胞恶性克隆增生,急变时可向任何一系转化,最常见的是原粒细胞变,也有淋巴细胞变、单核细胞变、巨核细胞变及嗜碱粒细胞变等。 • 多数患者在进入急变期前有加速期的中间阶段。

  36. 加速期 : 具有下列二项或以上,排除其他原因可考虑为本期: • (1) 不明原因的发热、贫血、出血倾向,和 / 或骨疼。 • (2) 脾脏进行性肿大。 • (3) 非药物所致血小板进行性增高或下降。 • (4) 原粒细胞 (I+II 型 ) 在血或骨髓中 >10% ,但 <20% 。 • (5) 外周血嗜碱粒细胞 >20% 。 • (6) 骨髓中有显著的胶原纤维增生。 • (7) 出现 ph 以外的其他染色体异常。 • (8) 对常用的治疗药物无反应。 • (9) CFU-GM 增殖和分化缺陷,集簇增加。 • 注: 2+3 需除外脾亢, 2+6 需除外继发性 MF

  37. 急变期 : 具有下列之一者可诊断为本期 • (1) 骨髓中原始粒细胞 (I+II 型 ) 或原淋 + 幼淋 >20% ,或原单 + 幼单等在外周血或骨髓中 >20% 。 • (2) 外周血中原始粒 + 早幼粒细胞 >50% 。 • (3) 有髓外原粒细胞浸润。 • 此期临床症状,体征比加速期更恶化, CFU-GM 培养呈小簇生长或不生长。

  38. CML 急粒变

  39. 慢粒急变的外周血象

  40. 慢粒急单变的骨髓象

  41. 慢粒急淋变骨髓象

More Related