1 / 16

Repaso histología Renal

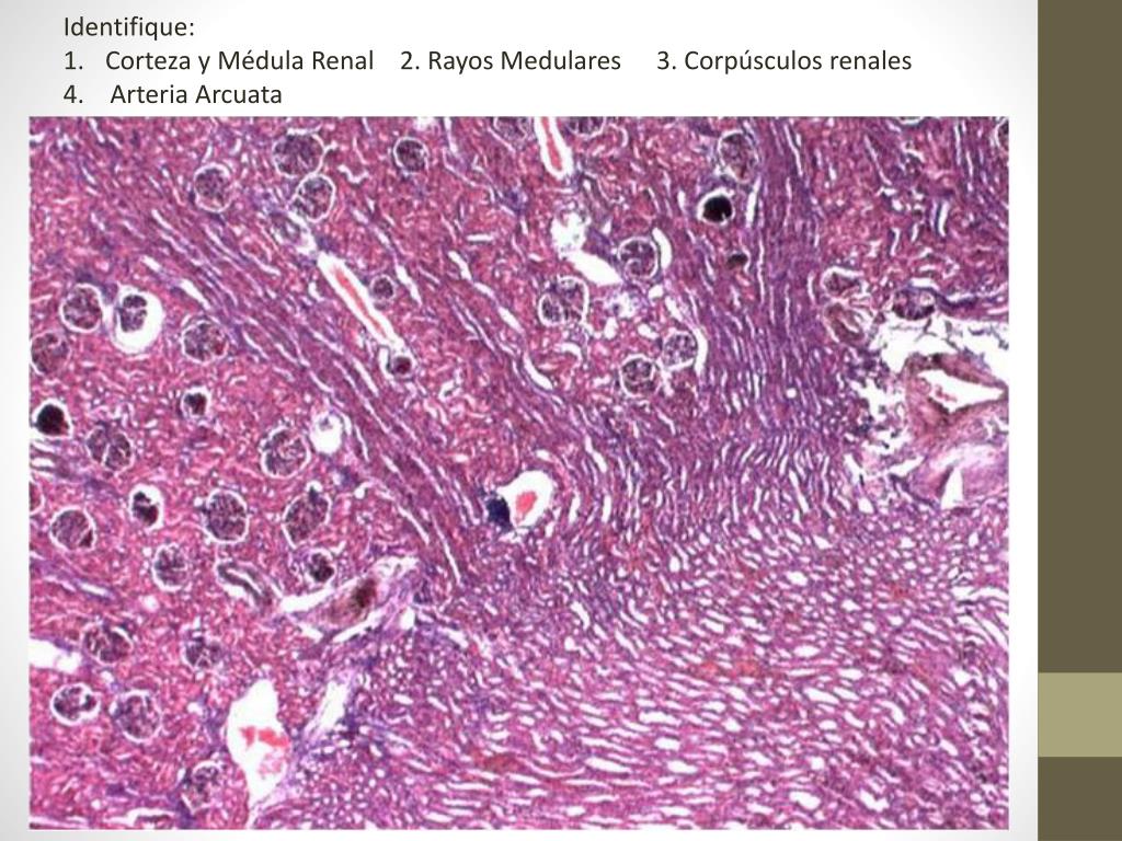
Repaso histología Renal. Dr. Edward Javier Acero M; Dra . Nohora Angulo ; Dra . María Ines Maldonado Area Morfofisiología . Facultad de Medicina - Universidad de La Sabana. Identifique : Corteza y Médula Renal 2. Rayos Medulares 3. Corpúsculos renales

kasen
Télécharger la présentation

Repaso histología Renal

An Image/Link below is provided (as is) to download presentation Download Policy: Content on the Website is provided to you AS IS for your information and personal use and may not be sold / licensed / shared on other websites without getting consent from its author. Content is provided to you AS IS for your information and personal use only. Download presentation by click this link. While downloading, if for some reason you are not able to download a presentation, the publisher may have deleted the file from their server. During download, if you can't get a presentation, the file might be deleted by the publisher.

E N D

Presentation Transcript


  1. RepasohistologíaRenal Dr. Edward Javier Acero M; Dra. NohoraAngulo; Dra. María Ines Maldonado Area Morfofisiología. Facultad de Medicina- Universidad de La Sabana

  2. Identifique: Corteza y Médula Renal 2. RayosMedulares 3. Corpúsculosrenales 4. ArteriaArcuata

  3. Identifique: Polo Vascular y Polo Urinario Células del AparatoYuxta Glomerular Mesangio Glomérulo Renal Espacio de Bowman Hoja Visceral de la Cápsula de Bowman Hoja Parietal de la Cápsula de Bowman

  4. Identifique: Polo Vascular y Polo Urinario Células del AparatoYuxta Glomerular Mesangio Glomérulo Renal Espacio de Bowman Hoja Visceral de la Cápsula de Bowman Hoja Parietal de la Cápsula de Bowman

  5. Identifique: Mesangio Glomérulo Renal Espacio de Bowman Hoja Visceral de la Cápsula de Bowman Hoja Parietal de la Cápsula de Bowman http://www.gamewood.net/rnet/renalpath/ch1.htm

  6. Identifique: 1. MáculaDensa

  7. Identifique: Membranasbasalesglomerulares Celulasepiteliales o podocitos Célulasmesangialesintraglomeruales

  8. Identifique: Corpúsculo renal y suselementosconstitutivos Túbuloscontorneadosproximales http://www.siumed.edu/~dking2/crr/images/RN002b.jpg

  9. … Para repasar….. Ojo!!!! http://www.siumed.edu/~dking2/crr/images/RN086b.jpg

  10. 1. Identifiquelascaracterísticasmorfológicas con los que se diferencian los túbulosproximales de los distales 2. Identifiquelascélulasintersticiales. ¿Quéhormonaproducenellas?

  11. … Repase, por favor….

  12. Identifique: Túbulocolector Porción recta del túbulo proximal Células del túbulocolector Especifiquelasfuncionesde cadaestructura y célulaidentificada

  13. Identifique: Túbuloscolectores Porcióndelgada del Asa de Henle Porcióngruesaascendente del Asa de Henle

  14. Bye……

More Related