1 / 30

慢性肺间质病 Chronic Interstitial Lung Disease

慢性肺间质病 Chronic Interstitial Lung Disease. 浙江大学医学院附属二院呼吸科 徐志豪. 概述. 定义: ILD 是一组以弥漫性肺实质、肺泡炎和间质纤维化为病理基本改变,以活动性呼吸困难、 X 线胸片弥漫阴影、限制性通气障碍、弥散功能降低和低氧血症为临床表现的不同类疾病群构成的临床 - 病理实体的总称。 起病隐匿,病程缓慢,逐渐丧失肺泡 - 毛细血管功能单位,最终发展成弥漫性肺间质纤维化、蜂窝肺,因呼吸衰竭而死亡。. 临床分类 - 病因已知. 吸入无机粉尘: SiO 2 、石棉滑石、铝、锑、煤

maisie
Télécharger la présentation

慢性肺间质病 Chronic Interstitial Lung Disease

An Image/Link below is provided (as is) to download presentation Download Policy: Content on the Website is provided to you AS IS for your information and personal use and may not be sold / licensed / shared on other websites without getting consent from its author. Content is provided to you AS IS for your information and personal use only. Download presentation by click this link. While downloading, if for some reason you are not able to download a presentation, the publisher may have deleted the file from their server. During download, if you can't get a presentation, the file might be deleted by the publisher.

E N D

Presentation Transcript


  1. 慢性肺间质病Chronic Interstitial Lung Disease 浙江大学医学院附属二院呼吸科 徐志豪

  2. 概述 • 定义:ILD是一组以弥漫性肺实质、肺泡炎和间质纤维化为病理基本改变,以活动性呼吸困难、X线胸片弥漫阴影、限制性通气障碍、弥散功能降低和低氧血症为临床表现的不同类疾病群构成的临床-病理实体的总称。 • 起病隐匿,病程缓慢,逐渐丧失肺泡-毛细血管功能单位,最终发展成弥漫性肺间质纤维化、蜂窝肺,因呼吸衰竭而死亡。

  3. 临床分类-病因已知 • 吸入无机粉尘:SiO2、石棉滑石、铝、锑、煤 • 吸入有机粉尘:霉草尘、蔗尘、棉尘、蘑菇工人肺、饲鸽者肺 • 吸入气体:O2、NO2、SO2、Cl2 • 吸入气溶胶:脂肪、油类、甲苯等 • 吸入烟雾:Zn、Cu、Mn、Fe、Mg等氧化物 • 吸入蒸气:汞、松香等 • 放射性损伤 • 毒物接触:百草枯 • 感染性因素:细菌、病毒、真菌、寄生虫、PCP、军团菌 • 药物性因素:抗肿瘤药、抗生素、心血管药、其它

  4. IPF 结节病 胶原血管病肺部表现 组织细胞增多症X 特发性含铁血黄素沉着症 淋巴细胞增生性疾病 伴有血管炎的ILD:如Wegener肉芽肿等 遗传性疾病 伴有气道疾病的ILD PAP 伴有肝病的ILD 伴有肠病的ILD 淀粉样变 嗜伊红细胞增多Syn. 肺静脉阻塞病 由于其它脏器功能衰竭引起的ILD 慢性左心衰竭、尿毒症 ARDS恢复期 临床分类-病因未知

  5. 临床表现 • 症状和体征:进行性加重的呼吸困难,可伴有干咳、少痰;双肺底部可及响亮的湿性罗音(Velcro罗音),杵状指趾 • X线:磨玻璃、结节样或网状阴影、蜂窝样改变。HRCT有助于早期诊断 • 肺功能:FVC、TLC下降,不伴气道阻力增加。FEV1、RV可正常。CO弥散量下降

  6. 特发性肺间质纤维化(IPF) • IPF是一以进行性呼吸困难为突出临床表现的特殊类型的慢性间质性肺炎,病变限于肺部。影像学呈弥漫性改变,以中下肺野周边较中心部分为重的纤维化病变,肺功能为限制性通气功能障碍,弥散功能受限,导致低氧血症,治疗效果不满意,预后甚差。

  7. 对IPF认识的历史演变 • 1934年,Hamman & Rich首先报告 • 1949年,发表肺部病理改变,并命名为急性弥漫性肺间质纤维化。此后,其他学者有陆续报告,称为Hamman-Rich综合征 • 1964年,纤维化肺泡炎,CFA • 1965-69年,DIP、UIP、LIP、GIP、BIP • 1998年, DIP、UIP、AIP、RBILD、NSIP • 2000年,IPF是一独立疾病,病理形态即UIP

  8. 发病机制 • 肺泡炎:AM(LTB4、IL-8、PDGF、FN、IGF-1、TGF、氧自由基)、中性粒细胞(氧自由基、蛋白酶)、淋巴细胞 • 肺损伤:毒性氧化物、蛋白酶类 • 修复和纤维化:胶原代谢失常、成纤维细胞增多和功能增强 • CK和化学趋化因子的作用(IL-1、TNF的释放;TH1/TH2失衡;TGF的作用;angiogenesis等)

  9. 病理 • 大体:病肺失去正常海绵样的结构,肺变小而硬如象皮。 • 镜下: • 早期肺泡隔充血,炎症细胞浸润; • 进展期肺泡隔中数量不等的胶原纤维,炎症细胞减少,毛细血管床部分消失; • 终末期肺泡结构完全破坏并有组织重建。大量增生的平滑肌束(肌硬化)、纤维细胞灶

  10. 流行病学 • 美国新墨西哥州患病率为男性20.2/10万,女性13.2/10万,每年发病率10.7/10万(男)、7.4/10万(女) • 一般男性多于女性,以40-70岁中老年为主,就诊病人中2/3超过60岁 • 死亡率(日本)3/10万 • 存活时间:3.2-5年

  11. IPF的实验室检查 • 影象学:X线、 HRCT、核素扫描(99mTc-DTPA) • 肺功能:DLco、VC等指标 • 血清学:RF、ANA、抗肺胶原抗体 • 纤支镜(TBLB)和BAL(上清液:胶原酶、前胶原成分、磷脂等;细胞:AM等) • 肺活检(OLB、VATS)

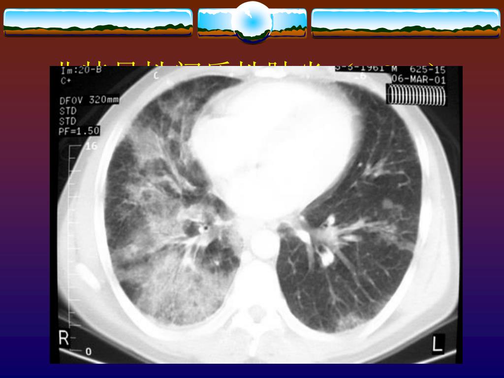
  12. 特发性肺间质纤维化(IPF)

  13. HRCT 早期 IPF

  14. 蜂窝肺

  15. HRCT 晚期 IPF Slide courtesy of G Raghu, MD.

  16. 非特异性间质性肺炎(NSIP)

  17. IPF的诊断流程

  18. IPF的诊断标准 • 有外科肺活检资料 • 肺组织病理学表现为普通型间质性肺炎(UIP) • 除外其它已知病因所致的间质性肺疾病,如药物、环境因素和风湿性疾病等所致的肺纤维化 • 肺功能异常,表现为限制性通气功能障碍和(或)气体交换障碍 • 胸片和HRCT可见典型的异常影像

  19. IPF的诊断标准(临床诊断) • 主要标准 • 除外已知原因的ILD • 肺功能表现异常 • 胸部HRCT示双肺网状改变,晚期出现蜂窝肺,可伴有极少量磨玻璃影 • 经TBLB或BALF检查不支持其它疾病的诊断

  20. IPF的诊断标准(临床诊断) • 次要标准 • 年龄大于50岁 • 隐匿起病或无明确原因的进行性呼吸困难 • 病程不短于3个月 • 双肺听到吸气性Velcro罗音 • 临床诊断必须符合所有的主要标准和3/4的次要标准

  21. 鉴别诊断 • 非特异性间质性肺炎(NSIP):患病率仅次于IPF,患者年龄轻于UIP,病程亦较短。临床表现与UIP相似,HRCT示除肺底的网状阴影外,可见散在、不十分对称分布的片状浸润性阴影或磨玻璃样阴影,其范围常较UIP广。病理学检查示炎症和纤维化呈均匀一致性分布,与UIP不同,成纤维细胞灶很少,罕有蜂窝肺改变。激素治疗有效,预后较UIP好。

  22. 鉴别诊断 • DIP:很少见,临床症状亦为呼吸困难、干咳,隐匿起病。影像学表现为双肺下野有模糊阴影,HRCT示主要为磨玻璃样浸润影,很少网状、线状纤维化阴影。约22%可不经治疗而好转,对激素治疗反应良好。 • RBILD:好发于吸烟或曾经吸烟的年轻男性,无特殊的临床表现,肺功能可表现为限制性和阻塞性通气功能异常混合存在。组织病理检查为呼吸性支气管腔内有吞噬黑炭末的M,病变以细支气管为中心,细支气管壁及其周围、肺泡道、肺泡间隔内均见M和淋巴细胞的浸润,伴有II型肺泡上皮增生。病变间为正常肺组织。预后良好。

  23. 鉴别诊断 • 急性间质性肺炎(AIP):即Hamman-Rich病,又称原因不明ARDS,起病急,病程发展迅猛,死亡率很高。其病理表现为弥漫性肺泡损伤(DAD),与IPF鉴别一般不困难。 • 淋巴细胞性肺炎(LIP):临床表现为咳嗽、呼吸困难,X线胸片可呈弥漫性斑片状、条索状阴影,但常伴纵隔、肺门淋巴结肿大或胸膜病变。病理改变:肺泡腔、肺泡间隔、肺实质内淋巴细胞广泛浸润。(淋巴增生性疾病)

  24. 鉴别诊断 • 隐原性机化性肺炎(COP):多于50岁以后起病,亚急性起病,3/4患者病程短于2个月。咳嗽、发热和乏力等临床表现常见。肺功能以限制性通气功能障碍为常见。胸部X线片可见弥漫性浸润性阴影,无肺容积改变。可见到不规则条索状或结节状阴影,罕有蜂窝肺改变。HRCT则显示斑片状肺实质阴影,磨玻璃样浸润及小结节状阴影和支气管管壁增厚或扩张,主要分布于肺底部或周边胸膜下区。病理可见小气道和肺泡道中肉芽组织突入,伴附近肺泡间隔慢性炎症和机化性肺炎。对激素反应良好,2/3病人可临床痊愈。

  25. 治疗 • 药物剂量 • 激素:强的松或等效剂量的激素, 0.5mg/kg.d,口服4周,然后0.25mg/kg.d,口服8周,继之0.125mg/kg.d或0.25mg/kg QOD • CTX:按2mg/kg.d给药。开始口服剂量为25-50mg/kg.d,每7-14天增加25mg,直至最大剂量150mg/d • 硫唑嘌呤:按2-3mg/kg.d。开始口服剂量为25-50mg/kg.d,每7-14天增加25mg,直至最大剂量150mg/d

  26. 治疗 • 疗程: (1)3个月判断疗效,如耐受性好可继续治疗至少6个月以上; (2)已治疗6个月者,病情恶化应停止原治疗或改用、合用其它药物,病情稳定则维持原治疗; (3)已治疗12个月; (4)治疗18个月。

  27. 治疗 • 疗效判定: • 反应良好或改善: (1)症状减轻,活动能力增强;(2)胸片或HRCT异常影像减少;(3)肺功能表现TLC、VC、DLco、PaO2较长时间保持稳定 • 反应差或治疗失败:(1)症状加重,特别是呼吸困难和咳嗽;(2)胸片或HRCT异常影像增多,特别是出现蜂窝肺或肺动脉高压迹象;(3)肺功能恶化

  28. 治疗 • 治疗进展 • NAC和SOD • IFN-γ、甲苯吡啶酮(pirfenidone)、PGE2以及转化因子(TGF-β)拮抗剂 • 红霉素 • 秋水仙碱

More Related