teva
Uploaded by
65 SLIDES
1050 VUES
690LIKES

Severe pre-eclampsia.

DESCRIPTION

Severe pre-eclampsia. Tom Archer, MD, MBA Director, OB Anesthesia UCSD Hillcrest March 28, 2012. Hypertension in pregnancy. Pre-eclampsia (HBP, proteinuria, edema, after 20 weeks ega)

1 / 65

Télécharger la présentation

Severe pre-eclampsia.

An Image/Link below is provided (as is) to download presentation Download Policy: Content on the Website is provided to you AS IS for your information and personal use and may not be sold / licensed / shared on other websites without getting consent from its author. Content is provided to you AS IS for your information and personal use only. Download presentation by click this link. While downloading, if for some reason you are not able to download a presentation, the publisher may have deleted the file from their server. During download, if you can't get a presentation, the file might be deleted by the publisher.

E N D

Presentation Transcript

Playing audio...

  1. Severe pre-eclampsia. Tom Archer, MD, MBA Director, OB Anesthesia UCSD Hillcrest March 28, 2012

  2. Hypertension in pregnancy • Pre-eclampsia (HBP, proteinuria, edema, after 20 weeks ega) • Gestational hypertension (HBP after 20 weeks ega, no proteinuria). Old term: “pregnancy-induced hypertension”. • Chronic hypertension (HBP antedating pregnancy). • “Superimposed” pre-eclampsia– pre-eclampsia on top of chronic hypertension

  3. Three causes of death in pregnancy: #1 Pulmonary thromboembolism #2 Hemorrhage #3 Hypertensive disorders / pre-E Stroke Seizures DIC

  4. Pre-eclampsia variants • Eclampsia– pre-eclampsia with seizures • HELLP syndrome (hemolysis, elevated liver enzymes and low platelets)

  5. Severe pre-eclampsia • SBP > 160 or DBP > 110, X2, 6 hours apart. • Proteinuria > 5 gm / 24 hours (Hence 24-hour urine collection) • Oliguria < 500 mL / 24 hours

  6. Severe pre-eclampsia • Cerebral or visual disturbances: HA, blurred vision or altered consciousness. • Pulmonary edema (or low Sp02). • Epigastric or RUQ pain (liver edema or rupture)

  7. Severe pre-eclampsia • Increased liver enzymes-- common. • Prolonged PT or PTT or decreased fibrinogen implies DIC– fortunately rare. • Thrombocytopenia • Fetal growth restriction

  8. Traditional pre-eclampsia triad: • Hypertension • Proteinuria • Edema

  9. New understanding of traditional pre-eclampsia triad: • Hypertension arteriolar constriction (endothelial dysfunction). • Proteinuria leaky glomerulus (capillary) (endothelial dysfunction). • Edema leaky capillaries in skin, muscle, liver, brain, airway, nose. (endothelial dysfunction).

  10. “4th component” of endothelial dysfunction in pre-eclampsia • Muscular artery spasm increased arterial wave reflection back to heart • Increased “augmentation index” (AIx) • Increased AIx extra work for heart muscle • LVH, increased BNP release CHF.

  11. Modern concept of pre-eclampsia: symptoms are due to arterial, arteriolar and capillary endothelial damage. Q: Damage by what? A: Chemical mediators from placenta

  12. “Toxemia of pregnancy” • The old-fashioned term is actually very descriptive! • The ischemic placenta gives off toxins which damage the mother’s vascular endothelium throughout her body.

  13. Pre-eclampsia: ischemic chorionic villi release pre-E mediators into maternal blood. Say“OUCH!” Pre-E mediators Poor placentation www.siumed.edu/~dking2/erg/images/placenta.jpg

  14. Pre-E: endothelial damage • Deranged smooth muscle function, due to damaged endothelium overlying smooth muscle. • Leaky capillary endothelium (no smooth muscle).

  15. Endothelial cells send molecular signals to surrounding smooth muscle Insulin makes endothelium produce Pre-eclampsia mediators (and glucose) make endothelium produce vasodilatory signals (NO, prostacyclin) Vessel lumen vasoconstrictive signals (thromboxane, endothelin) Archer TL 2006 unpublished, Idea from Dandona P 2004

  16. Endothelial factors in pre-E: • In health, there is a balance between • vasodilatory factors: NO, PGI2 (Prostacyclin) and • vasoconstrictive factors: thromboxane, endothelin. • This normal balance is messed up in pre-E.

  17. Obesity, hyperglycemia, sepsis and pre-eclampsia all “activate” (damage) endothelium, white cells and platelets, leading to white cell adhesion and infiltration, thrombosis and edema (inflammation). WBC WBC Obesity, hyperglycemia, sepsis or pre-eclampsia Platelet Platelets Capillary endothelium (no underlying smooth muscle) Protein (edema) Archer TL 2006 unpublished

  18. Endothelial damage causes problems in 3 sizes of blood vessels: • Muscular arteries increased wave reflection (heart work, augmentation index). • Arterioles increased SVR • Capillaries proteinuria and tissue edema (glomerulus, liver, skin, muscle, brain)

  19. Figure 1. Pt HB, PreE for CS, superimposed on CHTN and CRF, 33 weeks. Hemodynamic parameters before and after treatment with antihypertensive medication A. Labetalol 25 mg and hydralazine 5 mg, B. Nicardipine 250 μ total in divided doses Nominal cardiac output L/min 8 4 0 Nominal systemic vascular resistance dyn.sec.cm-5 3000 2000 1000 0 Blood pressure mm Hg 200 100 0 Heart rate beats/min and nominal stroke volume mL 150 100 50 0 0 10 20 30 40 A minutes B

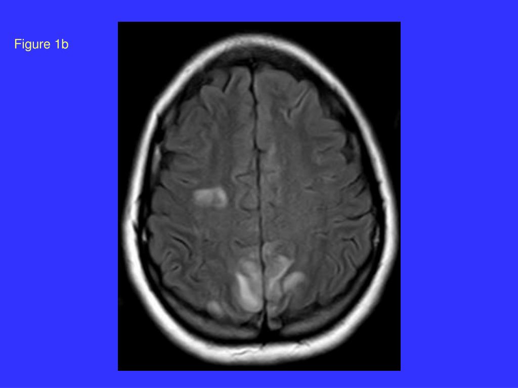
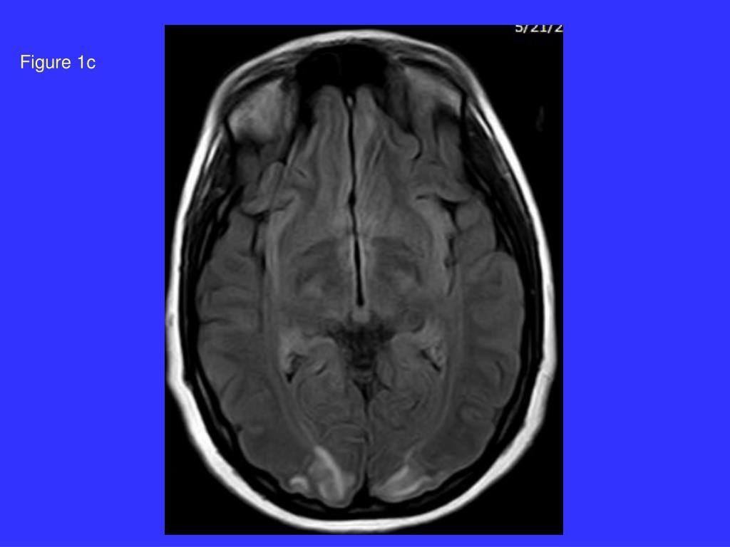
  20. Posterior reversible encephalopathy syndrome (PRES): Occipital-parietal cortical and white matter changes in pre-eclampsia. Is this due to capillary damage in the brain? Port JD, Beauchamp RadioGraphics 1998; 18:353-36ı ‘

  21. Figure 1b

  22. Figure 1c

  23. Edema– imagine same process in liver and brain!

  24. Pre-eclampsia: Probably a disorder of placentation.

  25. Poor-placentation theory of pre-E: Synciotrophoblast invades myometrium but does not denervate spiral arteries of mother properly. Hence, intervillous flow is sub-optimal. Chorionic villi are ischemic and release mediators (VEGF, etc) which damage maternal endothelium. http://pharyngula.org/images/preeclampsia_model.jpg

  26. Pre-eclampsia: ischemic chorionic villi release pre-E mediators into maternal blood. Say“OUCH!” Pre-E mediators Poor placentation www.siumed.edu/~dking2/erg/images/placenta.jpg

  27. Hemodynamic review: MAP = SVR x CO. We ignore CVP since it is small compared to MAP.

  28. Hemodynamic issues in pre-eclampsia • We could work on CO or SVR, since MAP = CO x SVR. We usually work on both CO and SVR, but different drugs affect the two components to different degrees.

  29. SAB / epidural cause sympathectomy www.cvphysiology.com/Blood%20Pressure/BP019.htm

  30. Post-partum BP control • Hydralazine – arteriolar vasodilator. Decreases SVR. Tendency is to cause tachycardia. 5 mg IV q15 minutes • Labetalol – alpha and beta blocker. Dilates arterioles (dec SVR) and slows heart rate and reduces contractility (dec CO). 10-20 mg IV q 10 minutes.

  31. Why treat BP in pre-eclampsia? • Decrease stroke, CHF, renal damage? • This has never been proven by RCT. • But we do it anyway! • Goal is modest decrease in BP. DBP 90-100 mm Hg.

  32. Other BP meds in pre-eclampsia • Nitroglycerin– venodilator, can be given sublingually or IV. • Sodium nitroprusside– IV. Needs arterial line.Primarily arteriolar dilator. • Nifedipine– Ca++ channel blockers. Arteriolar dilator. Can be used for BP control and also as a tocolytic. Caution should be used when used with Mg++. • Esmolol– sort acting beta blocker. Adjunct to decrease HR in BP control.

  33. Pre-eclampsia complication:pulmonary edema • Fluid overload / pulmonary edema– • respiratory distress • Low SpO2 (“low sats”) • Rales on auscultation • Can progress to ARDS • May need intubation • Call anesthesia for evaluation

  34. Pre-eclampsia complications: pulmonary edema • Fluid overload / pulmonary edema– • Albumin (oncotic pressure) decreases in normal pregnancy. • Lower in pre-eclampsia due to protein loss into interstitial space

  35. Respiratory function in pre-eclampsia • Edema of the airway

  36. Pre-eclampsia complications: blindness and seizures • Blindness / blurred vision • Edema in occipital cortex (retina is normal) • Disorientation / fear • Visual impairment usually resolves completely

  37. Pre-eclampsia complications: blindness and seizures • Seizure: neurological event but also a respiratory event! • Remember: suction, oxygen, ambu bag, IV access, call anesthesiologist to help. • Ante-partum, fetal oxygenation is at risk.

  38. MgSO4 seizure prophylaxis • Mg++ in severe pre-E reduces seizures by about 60% (from 1.9% 0.8%) • Mg++ use in mild pre-eclampsia is controversial but it is used at UCSD.

  39. Magnesium toxicity • 1.7-2.4 mg / dL– Normal • 5-9 mg / dL– therapeutic range for seizure prevention • Loss of patellar reflexes (but watch out for epidural)– 12 mg / dL • Respiratory arrest – 15-20 mg / dL • Asystole– 25 mg / dL • Mg++ levels OK, but try clinical assessment!

  40. Magnesium toxicity • Multiple blood draws– think central or arterial line or blue valve from IV catheter. Avoid repeated sticks? • Treatment: • Stop Mg++ • Give Ca++ (1 gm Ca gluconate or 300 mg CaCl2 • Assist ventilation (Ambu bag). Intubation if necessary.

  41. Magnesium toxicity • Uterine atony (Mg++ is a uterine relaxant)

  42. Hematologic aspects of pre-E: • Exacerbated normal hypercoagulability of normal pregnancy. If DIC occurs, fibrinolysis will occur as well (+ Fibrin dimer test) Platelet activation and adhesion / consumption. We commonly follow trend of platelets. Regional OK if > 50-100K.

  43. Prolongation of PT / PTT or decreased fibrinogen in pre-E • Uncommon (thrombocytopenia is common). • Low fibrinogen implies DIC. • Liver damage decreased synthesis of fibrinogen and clotting factors? • Bottom line: if fibrinogen or PT/PTT are abnormal, patient has a more serious problem than “just” thrombocytopenia.

  44. Pre-eclampsia complications • Disseminated intravascular coagulation (“DIC”) • Consumption of platelets and clotting factors d/t damaged endothelium • Diffuse ooze from incision, IV sites • Major emergency • IV access, pRBCs, FFP, cryoprecipitate • Will need ICU, ?intubation, arterial line

  45. Hemolysis from fibrin stands www.nejm.org/.../2005/20050804/images/s19.jpg

  46. Liver in pre-eclampsia • Elevated liver enzymes (AST, ALT) • Edema– swelling– epigastric / RUQ pain • Hemorrhage into liver (hematoma) • Rupture of hematoma through liver capsule (“liver rupture”).

  47. Factitious thrombocytopenia • Platelet clumping due to EDTA anticoagulant or cold www.nejm.org/.../2005/20050804/images/s19.jpg

  48. Renal function in pre-eclampsia • Normal pregnancy involves increased GFR and decreased creatinine, e.g. 0.80.6 mg/dL. • Renal dysfunction in pre-eclampsia may be associated with a “normal” creatinine, eg. 1.0. • Increased uric acid in pre-eclampsia

  49. Renal failure after pre-E • Oliguria almost always gets better after delivery. • Renal failure due to pre-E is rare (unless there is pre-existing renal disease).

More Related