1 / 12

Padova, 16 Dicembre 2011

Padova, 16 Dicembre 2011. Gli aneurismi dell’arteria epatica in rottura. Un’evenienza tanto rara quanto insidiosa: case report. OSPEDALE DI TRENTO – “SANTA CHIARA” Accreditato da: Joint Commission International UNITA’ OPERATIVA COMPLESSA DI CHIRURGIA GENERALE II

varen
Télécharger la présentation

Padova, 16 Dicembre 2011

An Image/Link below is provided (as is) to download presentation Download Policy: Content on the Website is provided to you AS IS for your information and personal use and may not be sold / licensed / shared on other websites without getting consent from its author. Content is provided to you AS IS for your information and personal use only. Download presentation by click this link. While downloading, if for some reason you are not able to download a presentation, the publisher may have deleted the file from their server. During download, if you can't get a presentation, the file might be deleted by the publisher.

E N D

Presentation Transcript


  1. Padova, 16 Dicembre 2011 Gli aneurismi dell’arteria epatica in rottura. Un’evenienza tanto rara quanto insidiosa: case report OSPEDALE DI TRENTO – “SANTA CHIARA” Accreditato da: Joint Commission International UNITA’ OPERATIVA COMPLESSA DI CHIRURGIA GENERALE II Centro di alta specializzazione in Chirurgia Epato-Bilio-Pancreatica Direttore: Dott. Alberto Brolese Francesco E. D’Amico

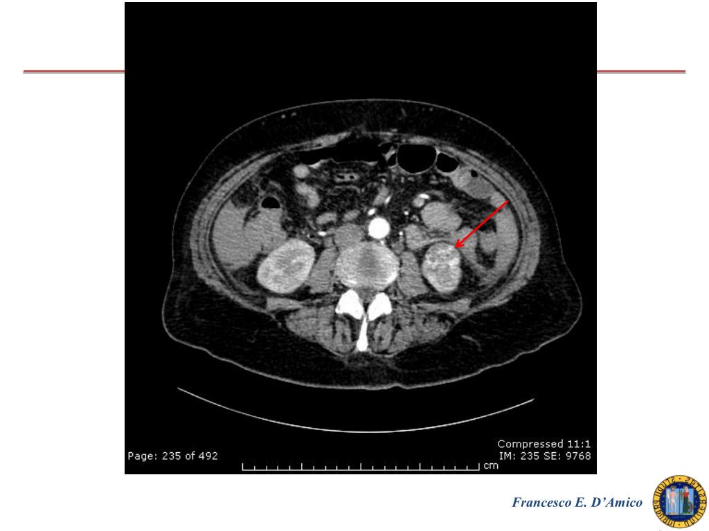
  2. G. M. 62 anni donna Anamnesi Epicrisi Colecistectomia VLS Sdr di Sjogren diagnosticata nel 2010 (in terapia corticosteroidea) 23.10 : ricovero per sospetta sepsi da infezione delle vie urinarie (Febbre con brivido, leucocituria) Esami ematochimici all’ingresso Hb: 13,1 g/dL, GB 13000, PCR 190 mg/, ALT 21 U/L Dolori addominali ed anemizzazione Ecoaddome: falda di versamento in tutti i recessi TC addome Francesco E. D’Amico

  3. Francesco E. D’Amico

  4. Francesco E. D’Amico

  5. Francesco E. D’Amico

  6. G. M. 62 anni donna Intervento chirurgico Emodinamica instabile (tendenza all’ipotensione, tachicardia) LAPAROTOMIA ESPLORATIVA LEGATURA DEL RAMO SINISTRO DELL’ARTERIA EPATICA LOBECTOMIA EPATICA SINISTRA ENUCLEO-RESEZIONE NODULO DEL POLO INFERIORE DEL RENE SINISTRO Decorso post-operatorio regolare (dimissione in 8 PO) Francesco E. D’Amico

  7. G. M. 62 anni donna Intervento chirurgico Emodinamica instabile (tendenza all’ipotensione, tachicardia) LAPAROTOMIA ESPLORATIVA LEGATURA DEL RAMO SINISTRO DELL’ARTERIA EPATICA LOBECTOMIA EPATICA SINISTRA ENUCLEO-RESEZIONE NODULO DEL POLO INFERIORE DEL RENE SINISTRO Decorso post-operatorio regolare (dimissione in 8 PO) Francesco E. D’Amico

  8. G. M. 62 anni donna Esame isologico Parenchima epatico con area nodulare di necrosi ischemica. Parete di aneurisma arterioso con flogosi cronica ed acuta Francesco E. D’Amico

  9. G. M. 62 anni donna Esame isologico Carcinoma a cellule renali bene differenziato G1 Francesco E. D’Amico

  10. La patologia Am Surg. 2011 May;77(5):586-91 INCIDENZA Gli aneurismi dell’arteria epatica sono circa il 20% degli aneurismi delle arterie splancniche Per la maggioranza (80%) si tratta di lesioni isolate (diametro 1 – 14,5 cm) e nel 50% si tratta di pseudoaneurismi Gli aneurismi della arteria epatica sono localizzati: nel ramo destro (47%) nella comune (22%), nell’arteria epatica propria (16%), nel ramo sinistro (13%) Si stima che la rottura avvenga nel 44-65% con una mortalita’ del 21% Ann Vasc Surg. 1996;10:315-22 / Ann VascSurg 2005;19:540-5 CAUSE Infezioni micotiche Arteriosclerosi Traumi Procedure radiologiche, pregressa chirurgia OLTx Malattiereumatiche/vasculiti (Poliarteritenodosa, LES) Malattiecongenite (Marfan, Ehlers-Danlos) Altro Francesco E. D’Amico

  11. La patologia TRATTAMENTO In elezione e’ raccomandato per aneurismi >2cm di diametro (per via radiologica o chirurgica) In rottura, se instabilita’ emodinamica per via chirurgica Mayo Clinic proc 2007;82:472-9 Resezione By-pass Legaturasemplice Assenzadicianosi/dopplernegativo Francesco E. D’Amico

  12. GRAZIE Francesco E. D’Amico

More Related