1 / 57

MUSCULO CARDIACO

MUSCULO CARDIACO. Dr. Jorge Chamorro. 2009. CORAZON. Órgano principal del aparato circulatorio. Músculo estriado hueco que actúa como bomba. CORAZON. Corazón Bomba de tejido muscular estriado de contracción involuntaria con un sistema exitoconductor.

virgil
Télécharger la présentation

MUSCULO CARDIACO

An Image/Link below is provided (as is) to download presentation Download Policy: Content on the Website is provided to you AS IS for your information and personal use and may not be sold / licensed / shared on other websites without getting consent from its author. Content is provided to you AS IS for your information and personal use only. Download presentation by click this link. While downloading, if for some reason you are not able to download a presentation, the publisher may have deleted the file from their server. During download, if you can't get a presentation, the file might be deleted by the publisher.

E N D

Presentation Transcript


  1. MUSCULO CARDIACO Dr. Jorge Chamorro. 2009

  2. CORAZON Órgano principal del aparato circulatorio. Músculo estriado hueco que actúa como bomba.

  3. CORAZON Corazón Bomba de tejido muscular estriado de contracción involuntaria con un sistema exitoconductor. Cuatro cámaras: - 2 Aurículas (Atrios): reciben sangre de la circulación sistémica y pulmonar. - 2 Ventrículos: bombean la sangre a las circulaciones arteriales sistémica y pulmonar.

  4. DIFERENCIAS FUNCIONALES DE LAS FIBRAS MIOCARDICAS Y ESQUELETICAS • Diferencia de permeabilidad de la membrana para ciertas sustancias. • La membrana de la célula muscular cardiaca es mas permeable al Na, que la esquelética, lo cual permite facilitar la periodicidad del ritmo cardiaco. • La conducción en el músculo cardiaco es 10 veces menos rápida que en el músculo esquelético debido al aumento de resistencia en los discos intercalares. • El músculo esquelético tiene un potencial de acción mucho mas lento que el del músculo cardiaco. FIBRA MIOCARDICA FIBRA ESQUELETICA

  5. ANATOMIA MACROSCOPICA DEL CORAZON • El corazón posee un esqueleto fibroso en el cual las aurículas se insertan por encima de este y los ventrículos por debajo. • Este esqueleto fibroso une a a las aurículas y los ventrículos estructuralmente y los separa anatómicamente.

  6. ANATOMIA MACROSCOPICA DEL CORAZON • El espesor de la pared auricular es reducido, la pared ventricular es mayor, especialmente en el ventrículo izquierdo y trabaja con mayores presiones. • A la aurícula derecha llegan las 2 venas cavas, superior e inferior, la aurícula izquierda llegan las 4 venas pulmonares. • En el ventrículo izquierdo sale la arteria aorta y en el ventrículo derecho sale la arteria pulmonar.

  7. MUSCULO CARDIACO Características - Células ramificadas mononucleadas con núcleo central. - 15 um. diámetro – 100 um. largo. - No tienen capacidad de regeneración. - Se alinean en largas cadenas y desarrollan ramificaciones y anclajes con las células vecinas formando los “discos intercalares”. - El mecanismo de contracción es similar al del músculo estriado. - Ritmicidad inherente.

  8. CELULAS MUSCULARES

  9. Tejido muscular estriado cardíaco E F

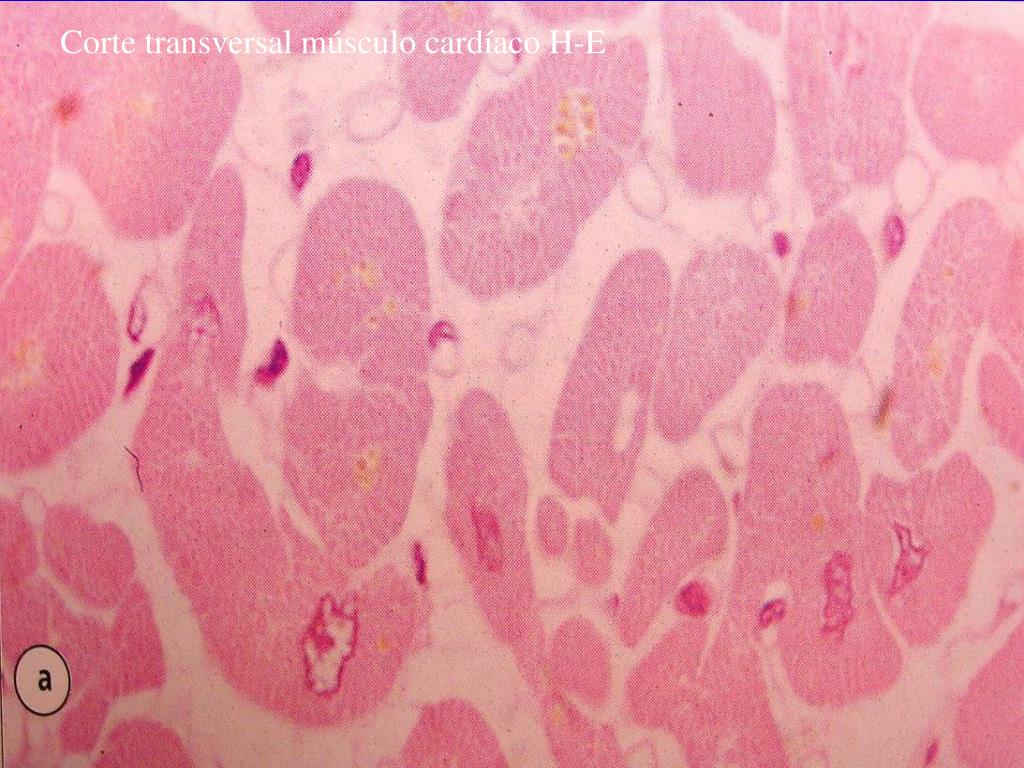
  10. Corte transversal músculo cardíaco H-E

  11. Corte longitudinal músculo cardíaco H-E

  12. Corte longitudinal músculo cardíaco H-E Discos intercalares

  13. HISTOLOGIA MIOCARDIO

  14. HISTOLOGIA • Son prolongaciones de la membrana celular de cada fibra muscular. FUNCIONES • Delimitar una fibra muscular de otra. • Papel de conexión para trasmitir el impulso eléctrico, para participar en lo que se define como sincitio funcional miocárdico. • Impide que las fibras se separen en el momento de la contracción. Discos Intercalares

  15. EL MUSCULO AURICULAR Y VENTRICULAR SON INDEPENDIENTES ENTRE ELLOS SE INTERPONE UNA FORMACIÓN FIBROSA O TABIQUE DENOMINADA Esqueleto Caediaco

  16. DIFERENCIA ENTRE LAS FIBRAS CARDIACAS Y ESQUELETICAS Fibras musculares Cardiacas Fibras musculares Esqueléticas • Fibras cortas y solo tienen un nucleo en el centro. • Las miofibrillas se disponen paralelamente y están separadas por el sarcoplasma. • La membrana denominada sarcolema se invagina y forma a nivel de la linea z los tubulos T. • Hay mayor cantidad de, mitocondrias (25%) y glucogeno. • El musculo Cardiaco es involuntario • Son fibras largas con numerosos núcleos perifericos en su interior. • Las miofibrillas se encuentran agrupadas en paquetes • El músculo esqueletico es voluntario.

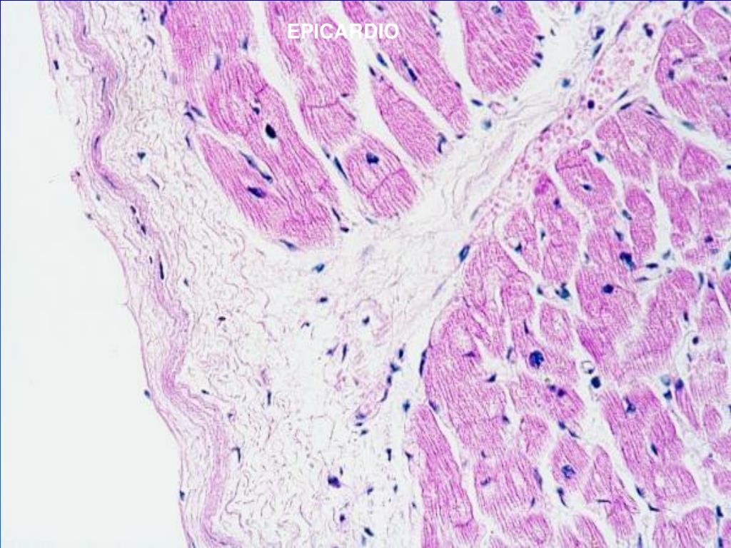
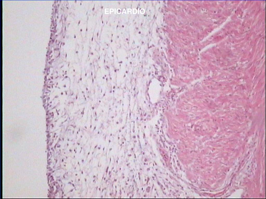
  17. CORAZON Pared cardiaca (3 capas) -Epicardio : - capa fibrosa interna de tejido conectivo - capa serosa externa o mesotelio ( capa visceral del pericardio). -Miocardio:formado por varias capas de células musculares estriadas cardíacas de diferente orientación. -Endocardio: formado por un endotelio y un subendotelio que es una fina capa de tejido conectivo laxo.

  18. Pericardio Membrana de tejido fibrocolagenoso compacto y tejido elástico tapizado por una capa de células mesoteliales planas. Cavidad pericárdica: Espacio que se encuentra entre las capas pericárdicas visceral y parietal. Contiene líquido seroso.

  19. EPICARDIO

  20. EPICARDIO

  21. Músculo Cardiaco El diámetro de la fibras musculares cardiacas varía de acuerdo con el trabajo al que está sometida la cámara. -Fibras atriales: -Pequeñas (en relación a las de los ven entrículos). -Ramificadas. -contienen pequeños gránulos neuroendocrinos cercanos al núcleo. -Secretan “hormona natriurética atrial” al elongarse excesivamente Aumenta la excreción de agua reduce la presión arterial.

  22. Endocardio Tapiza el interior de las cámaras del corazón y varía en grosor en distintas zonas, está compuesto por dos capas: -Endotelio: Células endoteliales que se continuan con las células que tapizan los vasos que entran y salen del corazón. -Subendotelio: -Es la más gruesa -Compuesta por fibras colágenas organizadas -Número variable de fibras elásticas. -Subendocardio: -Capa en contacto directo con el miocardio. - Colágeno irregular. - Contiene fibras de Purkinje.

  23. Esqueleto cardiaco En los atrios, las fibras musculares convergen a unos anillos de tejido conectivo denso situados alrededor de los orígenes de las arterias aorta y pulmonar. Las fibras musculares de los ventrículos, se insertan en unos anillos de tejido conectivo que rodean los orificios atrioventriculares. Estos 4 anillos se llaman anillos fibrosos y constituyen el esqueleto cardíaco junto con el septo membranoso de la parte superior del tabique interventricular.

  24. Válvulas cardiacas -Compuestas por tejido fibroso y elástico -Revestidas por endotelio. -Se unen al esqueleto fibrocolagenoso y a través de las cuerdas tendineas a los músculos papilares cardiacos. -Son avasculares. -Aórtica -Mitral -Pulmonar -Tricúspide

  25. APARATOS VALVULARES Sus estructuras son: • Válvula aurículoventricular. • Conjunto de anillos. • Valvas. • Cuerdas tendinosas. • Músculos papilares.

  26. CUERDAS TENDINOSAS. • Formaciones fibrosas que limitan el desplazamiento valvular para impedir que la sangre retorne. • Se insertan en los músculos papilares por un extremo de los bordes libres y cara inferior de las válvulas. CUERDAS TENDINOSAS

  27. MÚSCULOS PAPILARES. Se contraen para impedir el regreso de la sangre hacia la auricula mediante la sístole. Músculos papilares ventrículo derecho. 1. Músculos papilar principal anterior. 2. Músculo papilar posterior. 3. Músculo papilar del infundíbulo o del cono. Músculo papilares del ventrículo izquierdo. 1 Músculo papilar principal anterior. 2 Músculo papilar posterior.

  28. VALVAS PULMONAR Y AORTICA • Se diferencia de las válvulas auriculoventriculares en: • Sus valvas no están unidas a cuerdas tendinosas ni músculos papilares. • Estas por su forman se abren en la sístole ventricular para el paso de la sangre a grandes vasos. • Se cierran en diástole por peso y presión de las columnas sanguíneas intrapulmonar e intraaortica. • Se ajustan unas a otras haciendo un cierre perfecto. • Posee en el borde libre los nódulos de Arancio en aorta • Y nódulo de Morgagni en pulmonar.

  29. TUBULOS “T” Ó TRANSVERSOS • Son invaginaciones de la membrana celular. • IMPORTANCIA • Su importancia radica en asegurar la rapidez de la contracción para que llegue al anterior de las fibras mas profundas. • La abundancia de tubulos T facilita el transporte de metabolitos como el intercambio iónico ya que el interior de células se encuentran mas próximas al espacio extracelular

  30. CONFORMACION DE LA SARCOMERA Esta formada por sustancias proteicas que son: • Filamentos gruesos de miosina • Filamentos delgados de actina. Intercalados unos con otros, por cada 6 de actina hay 1 de miosina. Se deslizan hacia los extremos opuestos para dar paso a la contracción

  31. FORMACION DE LA FIBRA MUSCULAR CARDIACA Varias forman sarcómera Varias forman Fibra muscular cardiaca

  32. DISTRIBUCION HISTOLOGICA DE LA SARCOMERA Divida en líneas, bandas y zonas. • Línea Z:limite de los extremos contiguos de dos sarcomeras, se ve como línea oscura. • Banda I: Es una banda mas clara que va de cada extremo hacia el centro, en la cual se encuentran los filamentos delgados de actina

  33. DISTRIBUCION HISTOLOGICA DE LA SARCOMERA • Banda A:Constituye la parte central, mas oscura en sus dos extremos ya que se encuentran los filamentos de miosina intercalados con los de actina. • Zona H:Se encuentra en el centro de la banda A, es mas clara que el resto de las barras ya que en el se encuentran solo filamentos de miosina. Divida en su centro por una línea mas oscura o línea M, la cual esta determinada por los nódulos centrales presentes en los filamentos de miosina.

  34. DISTRIBUCION HISTOLOGICA DE LA SARCOMERA RETICULO SARCOPLASMICO DILATACIONES O CISTERNAS QUE ALMACENAN EL Ca NECESARIO PARA LA CONTRACCION MUSCULAR RETICULO SARCOPLASMICO

  35. ¿COMO SE TRANSMITE EL IMPULSO DE AURICULA A VENTRICULO, SI ESTOS DE ENCUENTRAN SEPARADOS? • A través de un haz de tejido muscular especializado que atraviesa el esqueleto fibroso. • El haz de tejido muscular constituye el sistema EXITOCONDUCTORCardiaco.

  36. Sistema éxito-conductor Sistema de conducción de los impulsos formado por células musculares cardíacas modificadas y especializadas para generar y conducir impulsos a través del corazón. Nódulo sinoatrial: -marcapaso situado cerca de la desembocadura de la vena cava superior en el atrio derecho. -Células experimentan despolarización rítmica espontánea que genera impulsos que se desplazan a través del miocardio y activan las células musculares normales. -Envuelto en tejido conectivo e inervado por el Sistema Nervioso Autónomo. El simpático aumenta la frecuencia del latido cardíaco. El parasimpático la reduce. La despolarización eléctrica de estas células se propaga por las fibras de Purkinje

  37. Sistema éxito-conductor Nódulo atrioventricular situado debajo del endocardio del tabique interatrial. fascículo atrioventricular o haz de Hiss, penetra el anillo fibroso que rodea el orificio atrioventricular y se divide en dos ramas derecha e izquierda, que corren a ambos lados del septo interventricular bajo el endocardio.

  38. Sistema éxito conductor

  39. SISTEMA EXITOCONDUCTOR • Constituido por fibras musculares estriadas modificadas para que su velocidad de descarga sea mas rápida que el resto del miocardio. • Contiene mayor cantidad de glucógeno y sarcoplasma lo que permite que su frecuencia de descarga frente a las otras fibras miocárdicas sea mas rápida.

  40. NODULO SINUSAL • SE LOCALIZA EN AURICULA DERECHA. • INICIA NORMALMENTE LA ESTIMULACION CARDIACA. • RECIBE EL NOMBRE DE MARCAPASO, YA QUE ES EL ENCARGADO DE DETERMINAR LA FRECUENCIA CON LA QUE SE GENERA EL IMPULSO ELECTRICO.

  41. TRACTOS INTERNODALES • SON TRES VIAS QUE DISCURREN POR LA AURICULA DERECHA. • COMUNICAN AL NODO SINUSAL (N.S) CON EL NODULO AURICULO VENTRICULAR (N.V.A). • VIA 1: ANTERIOR O IMTERUAURICULAR. • VIA 2: INTERNODAL MEDIO O DE WENCKEBACK. • VIA 3: INTERNODAL POSTERIOR O DE THOREL.

  42. NODULO AURICULO VENTRICULAR (N.A.V) • SE LOCALIZA EN EL PISO DE LA AURICULA, DERECHA HACIA DELANTE Y A LA IZQUIERDA DEL ORIFICIO DEL SENO CORONARIO. • ES COMO UNA ESTACION EN EL RRECORRIDO DE LA ESTIMULACION CARDIACA.

  43. HAZ DE HIS • INICIA SU RECORRIDO POR EL LADO DERECHO DEL TABIQUE INTERVENTRICULAR, SE DIVIDE PARA DAR LA RAMA IZQUIERDA. • SE RAMIFICA EN LAS PAREDES DE LOS VENTRICULOS (FIBRAS DE PURKINJE).

More Related