1 / 41

Ultrazvočne preiskavne tehnike

Ultrazvočne preiskavne tehnike. DOC.DR. MAJA PODKRAJŠEK, DR. MED. Ultrazvok (UZ). Ultrazvok je longitudinalno valovanje. zvok s frekvenco nad 20 kHz. za diagnostiko uporabljamo 2-15 MHz. UZ aparat za diagnostične preiskave. Prenosni UZ aparati. UZ SONDA. UZ LINEARNA SONDA.

viveca
Télécharger la présentation

Ultrazvočne preiskavne tehnike

An Image/Link below is provided (as is) to download presentation Download Policy: Content on the Website is provided to you AS IS for your information and personal use and may not be sold / licensed / shared on other websites without getting consent from its author. Content is provided to you AS IS for your information and personal use only. Download presentation by click this link. While downloading, if for some reason you are not able to download a presentation, the publisher may have deleted the file from their server. During download, if you can't get a presentation, the file might be deleted by the publisher.

E N D

Presentation Transcript


  1. Ultrazvočne preiskavne tehnike DOC.DR. MAJA PODKRAJŠEK, DR. MED.

  2. Ultrazvok (UZ) • Ultrazvok je longitudinalno valovanje. • zvok s frekvenco nad 20 kHz. • za diagnostiko uporabljamo 2-15 MHz.

  3. UZ aparat za diagnostične preiskave

  4. Prenosni UZ aparati

  5. UZ SONDA

  6. UZ LINEARNA SONDA

  7. UZ LINEARNA SONDA • Visoko MHz • Visoko prostorsko ločljivost • Nizko globino prodiranja • Primerna za ugotavljanje sprememb v površinskih organih • UZ vratu, UZ preiskave dojk, pazduh, mehkih tkiv in skrotuma

  8. UZ ABDOMINALNA SONDA

  9. UZ ABDOMINALNA SONDA • Nizko MHz • Globoko pregledovanje • Nižjo prostorsko ločljivost kot linearne • UZ preiskave trebuha

  10. UZ SONDE

  11. UZ sonde • Sonda oddaja in sprejema UZ valove. • Ločimo linearne nizko MHz in konveksne visoko MHz sonde.

  12. poenostavljena fizika UZ • Ultrazvok pošljemo v telo v obliki zelo kratkih impulzov s pretvornikom (to je element, ki električne signale pretvarja v akustične in obratno) • Osnovni element pretvornika je piezoelektrični kristal ali posebna plastika s podobnim efektom • Oddajni impulz ultrazvoka potuje v telo in pri tem slabi predvsem zaradi absorbcije v tkivu in neštetih odbojev. Odbito valovanje sprejema piezoelektrični pretvornik.

  13. Prednosti UZ tehnike • Tehnike reza ali preseka: UZ, CT, MR • Prednosti UZ • Ne uporablja ionizirajočega sevanja • Je lahko dostopen • Možnost ponavljanja preiskav • Je enostavna preiskava

  14. Tehnike • Tehnike sive skale – B mode • Barvne, power in spektralne doplerske tehnike • Uporaba ultrazvočnega kontrastnega sredstva • Izboljšave UZ

  15. Tehnike sive skale ali B mode

  16. doplerske tehnike – ugotavljamo pretok • Barvno doplersko tehnika • Power doplersko tehniko • Spektralno analizo

  17. BARVNI DOPLER

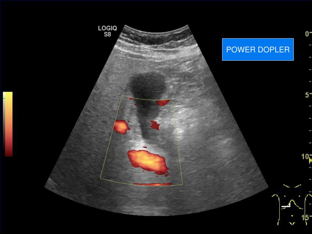
  18. POWER DOPLER

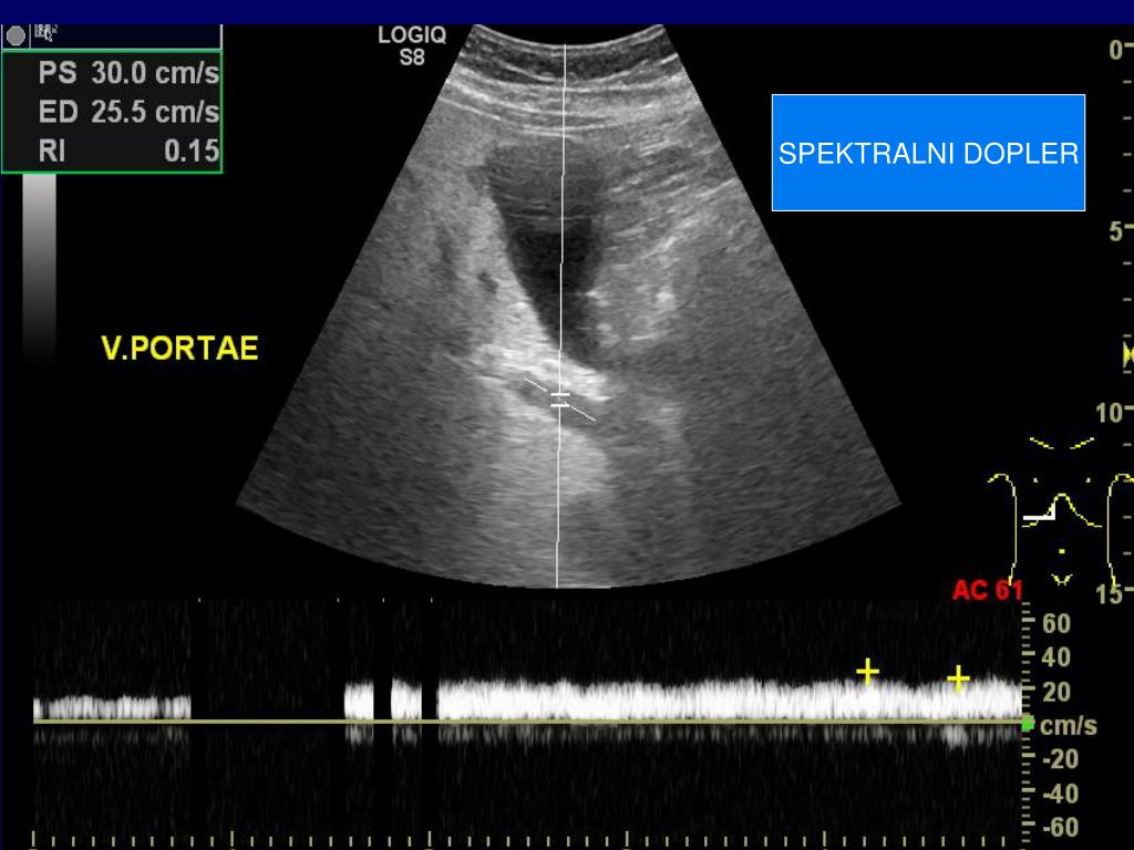
  19. SPEKTRALNI DOPLER

  20. SPEKTRALNI DOPLER

  21. UZ kontrastna sredstva ( KS) • so mikromehurčki, ki imajo premer pod 7 mikrometrov • ojačajo UZ signal, zato lažje diagnosticiramo (ugotavljamo) spremembe

  22. LEVOVIST ( 1996) Prva generacija kemična osnova disaharidi-galaktoza ovojnica palmatinska kislina - Visok MI SONO VUE Druga generacija kemična osnova perfluoropropani žvepleni heksafluorid ovojnica fosfolipidno membrano - Nizek MI Dve generaciji UZ KS

  23. Princip delovanja UZ KS • UZ val povzroča stiskanje in raztezanje mikromehurčkov , torej spremembo oblike. • Težje stiskanje kot raztezanje povzroča ne-linearni odgovor. • Za razliko od nekompresibilnega tkiva povzroča linearen odgovor.

  24. Princip delovanja - ne linearni odgovor se vidi kot harmonik vstopne frekvence. - navadno drugi Npr: 3 MHz vstopna frekvenca 6 MHz oddana frekvenca ! multifrekvenčne sonde slabši efekt pri linearnih visoko MHz sondah

  25. JETRA • Ugotavljanju števila sprememb – • Detekcija • Ugotavljanju narave sprememb- • Karakterizacija

  26. PEDIATRIJA • UMCG • UZ mikcijski cistogram • Dokažemo refluks: zatekanje urina iz mehurja v votli sistem ledvic

  27. Izboljšave UZ tehnike1. izboljšave SLIKE • več elementov v sondi, višje frekvenčne sonde, multifrekvenčne sonde • višja prostorsko ločljivost • bolj natančno prikazujemo majhne spremembe • Izboljšave postprocesinga omogoča boljšo kontrastno ločljivost

  28. HR UZ Prikaz živcev

  29. Izboljšave UZ tehnike2.nove tehnologije • Harmonično slikanje- natančno prikaže robove sprememb, artefaktov slike je manj. • UZ elastografija – s stisnjenjem tkiva ugotavljamo elastične lastnosti tkiva. • 3D UZ slika • fuzijske tehnike

  30. UZ elastografija

  31. 3D UZ porodništvo

  32. Fuzijske tehnike uz mr

  33. UZ vodene punkcije ( ABTI)

  34. ZAKLJUČEK • UZ se ne uporablja le v diagnostične, temveč tudi v terapevtske namene • Zgodnja diagnoza je odvisna od znanja preiskovalca, ki izbira sondo, tehniko preiskave, pozna rentgensko anatomijo in bolezenske procese.

More Related