1 / 33

Thoraco-Lumbar Radiography

Thoraco-Lumbar Radiography. Moritz Haager March 4, 2004. Anatomy. Thoracic Spine. Lumbar Spine. Determinants of Stability. T & L spines are more stable than C-spine Strong ligaments Stabilization by ribs Bigger intervertebral discs Larger facet joints Less mobility

Télécharger la présentation

Thoraco-Lumbar Radiography

An Image/Link below is provided (as is) to download presentation Download Policy: Content on the Website is provided to you AS IS for your information and personal use and may not be sold / licensed / shared on other websites without getting consent from its author. Content is provided to you AS IS for your information and personal use only. Download presentation by click this link. While downloading, if for some reason you are not able to download a presentation, the publisher may have deleted the file from their server. During download, if you can't get a presentation, the file might be deleted by the publisher.

E N D

Presentation Transcript


  1. Thoraco-LumbarRadiography Moritz Haager March 4, 2004

  2. Anatomy

  3. Thoracic Spine

  4. Lumbar Spine

  5. Determinants of Stability • T & L spines are more stable than C-spine • Strong ligaments • Stabilization by ribs • Bigger intervertebral discs • Larger facet joints • Less mobility • Fractures & dislocations tend to occur where curvature changes • T11-12 (thoracolumbar junction) • L5-S1 (lumbosacral junction)

  6. Mechanisms of Injury • Hyperflexion +/- rotation • Commonest • Usually see anterior wedge #’s or Chance # • Shearing • Ant or post translation • Hyperextension • Axial loading • Compression or burst #’s

  7. 3 Column Model • Anterior column • Ant longitudinal lig • Ant annulus fibrosis • Ant vertebral body • Middle column • Post longitudinal lig • Post annulus fibrosis • Post vertebral body • Posterior column • Spinous processes • Transverse processes • Lamina • Facet joints • Pedicles • Post ligamentous complex • 2 or more columns disrupted = unstable • Most disruption of middle columns are unstable

  8. Stable or Unstable? • Radiographic findings suggestive of instability • Vertebral body collapse w/ widening of pedicles • > 33% canal compromise on CT • > 2.5 mm translation b/w vertebral bodies in any plane • Bilateral facet dislocation • Abnormal widening b/w spinous processes or lamina and > 50% anterior collapse of vertebral body

  9. Stable or Unstable? • Checklist for Instability • Anterior elements disrupted 2 pts • Posterior elements disrupted 2 pts • Saggital plane translation > 2.5 mm 2 pts • Saggital plane rotation > 5o 2 pts • Spinal cord or cauda equina damage 2 pts • Disruption of costovertebral articulations 1 pt • Dangerous loading anticipated 2 pts • 5 or more pts unstable until healed or surgically stabilized

  10. Stable or Unstable? • Risk of neurologic injury increases with • > 35% canal narrowing at T11-12 • > 45% canal narrowing at L1 • > 55% canal narrowing at L2 & below

  11. Approach to T & L Spines • A – adequacy & alignment • All vertebrae need to be visible • Ant & post longitudinal lines • Facet joints should lie on smooth curve • Normal kyphosis & lordosis • All spinous processes should lie in straight line • B – bones • Trace cortical margins of each vertebrae • Difference b/w ant & post body ht < 2 mm • Progressive increase in vertebral body ht moving down spine • Wink sign & interpedicular distance • Don’t forget to look at transverse processes

  12. Approach to T & L Spines • C – cartilage • Progressive increase in disc space moving down spine (except L5-S1) • Facet joint alignment • S –soft tissue • Look at paraspinal stripe and prevertebral space

  13. Case 1 • 38 yo female brought to ED after being backed over by car driven by boyfriend • Intoxicated; c/o back pain & demonstrating the remarkable versatility of the F-word

  14. Transverse process fractures of L2-4 Significance of transverse process fractures is not the fractures in and of themselves but rather the high incidence of associated serious intraabdominal injury (~20%)

  15. Case 2 • 46 yo male presents to ED after falling 12 feet off ladder while putting up Christmas lights c/o back pain

  16. Anterolisthesis Of L4 on L5

  17. CT demonstrates chronic anterolisthesis with no intrusion into spinal canal

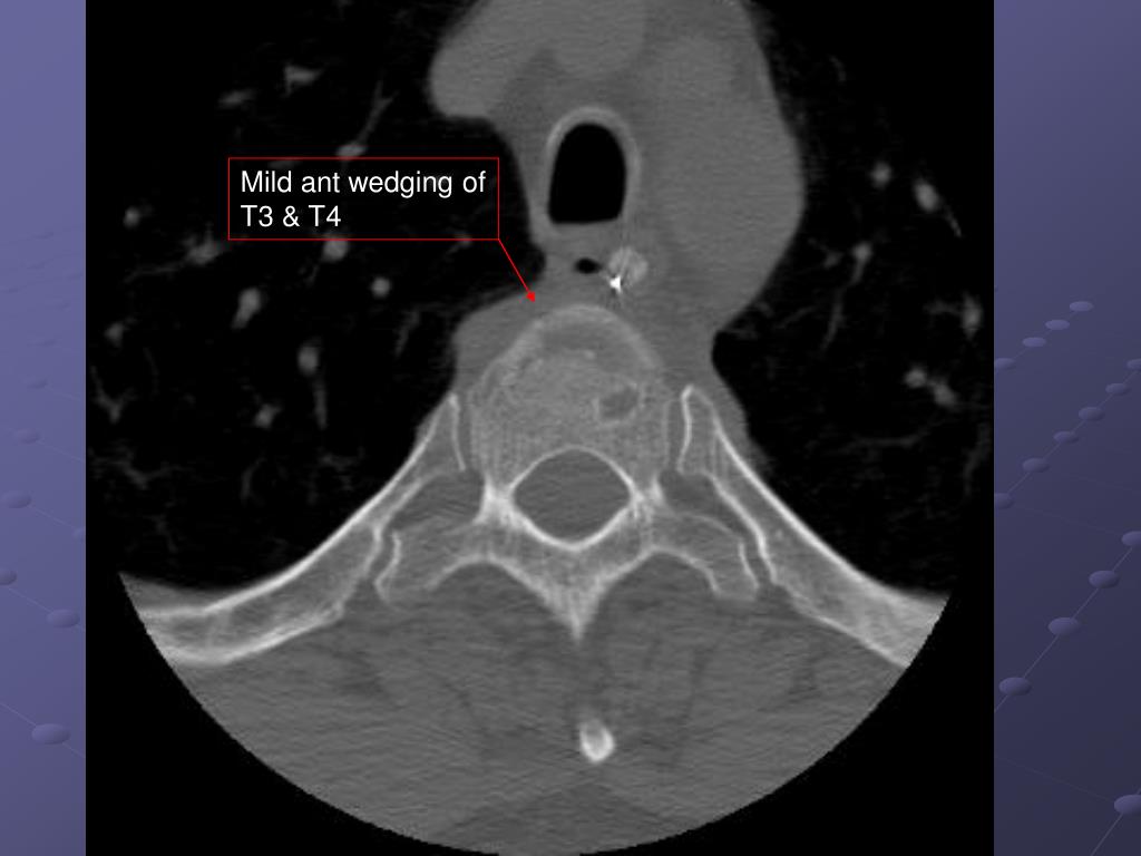
  18. Case 3 • 50 yo male again 10-12 foot fall off ladder while putting up Christmas lights (dangerous hobby)

  19. Mild ant wedging of T3 & T4

  20. Mild ant wedging of T3 & T4

  21. Case 4 • 21 yo belted passenger in rollover single vehicle MVA at highway speed

  22. Widened paraspinal line suggesting hematoma Laterally displaced T5 pedicle Anterior wedging of T4 & T5 w/ loss of 30-40% of body ht

  23. Case 5 • 29 yo driver offroading in pick-up truck – rolls it at speed • Not belted, ejected from vehicle and trapped underneath for 3 hrs

  24. Paramediastinal soft tissue density & widening Suggestive of compression fractures

  25. Case 6 • 22 yo male single vehicle rollover. Not restrained – ejected through windshield at highway speeds

  26. Posterior displacement Involvement of pedicles & laminar arch Comminution & anterior wedging of L2 w/ 50% loss of body Ht

  27. CT demonstrates severe burst # w/ horizontal plane extending posteriorly through pedicles and transverse processes in keeping w/ a CHANCE fracture

  28. Case 7 • 58 yo roofer presents to ED unconscious after plunging 12 feet onto concrete through skylight

  29. Schmorl’s node Compression fracture of L3 w/ no obvious post element involvement

More Related