1 / 24

Diagnostic Slide Session 2011-2

Diagnostic Slide Session 2011-2. Mark Samols 1 , Kari-Elise Codispoti 1 , Marc Rosenblum 2 , Barbara Crain 1 1 Johns Hopkins Hospital, Baltimore MD 2 Memorial Sloan-Kettering Cancer Center, New York NY. Clinical History.

joan-jarvis
Télécharger la présentation

Diagnostic Slide Session 2011-2

An Image/Link below is provided (as is) to download presentation Download Policy: Content on the Website is provided to you AS IS for your information and personal use and may not be sold / licensed / shared on other websites without getting consent from its author. Content is provided to you AS IS for your information and personal use only. Download presentation by click this link. While downloading, if for some reason you are not able to download a presentation, the publisher may have deleted the file from their server. During download, if you can't get a presentation, the file might be deleted by the publisher.

E N D

Presentation Transcript


  1. Diagnostic Slide Session 2011-2 Mark Samols1, Kari-Elise Codispoti1, Marc Rosenblum2, Barbara Crain1 1 Johns Hopkins Hospital, Baltimore MD 2 Memorial Sloan-Kettering Cancer Center, New York NY

  2. Clinical History • 96 year old female with a two-year history of an ill-defined dementia which became rapidly progressive 6 months before death • PMH: HTN, COPD, CAD s/p CABG in 1999 • FH: son with Huntington’s disease • A brain only autopsy was performed

  3. Autopsy Findings • Brain weight 1100 g • reference range, 1050-1550 g • Moderate global atrophy • Old lacunar infarcts • left frontal white matter • Left putamen • No neuritic plaques • CERAD score of 0 • Moderate neurofibrillary tangles in hippocampus and entorhinal cortex • Braak score of II/VI

  4. DIAGNOSIS?

  5. GFAP

  6. GFAP

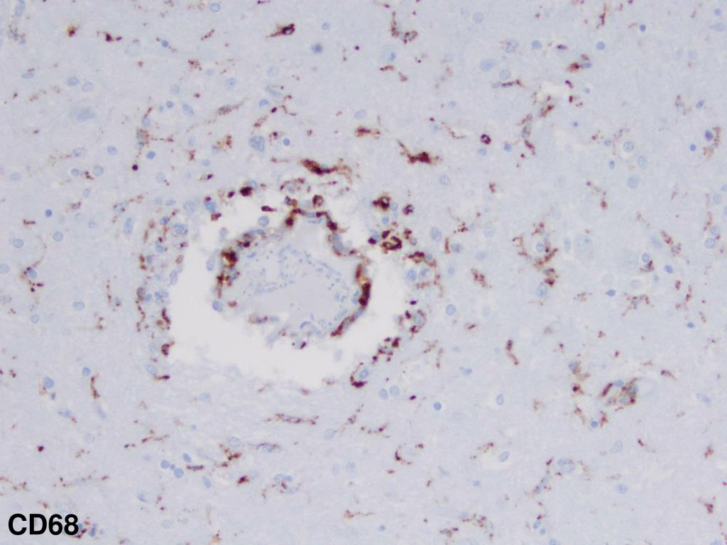
  7. CD68

  8. CD3

  9. CD3

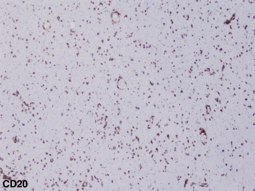
  10. CD20

  11. CD20

  12. CD10

  13. Diagnosis • Lymphomatosis Cerebri

  14. Lymphomatosis Cerebri • Rare subset of primary CNS lymphoma • First defined in 1999 due to resemblance to gliomatosis cerebri • Presents as a rapidly progressive dementia in immunocompetent patients • EBV negative • MRI shows diffuse patchy white matter enhancement with preservation of grey-white junction Image from: Rollins et al, Human Pathology 2005

  15. LymphomatosisCerebri • Diffuse infiltration of white matter by individual neoplastic cells • Mixed with reactive astrocytes and normal lymphocytes • Typically involves periventricular areas without bulky tumors

  16. References • R. Bakshi, J. C. Mazziotta, P. S. Mischel, R. Jahan, D. B. Seligson, and H. V. Vinters, “Lymphomatosis cerebri presenting as a rapidly progressive dementia: clinical, neuroimaging and pathologic findings,” Dementia and Geriatric Cognitive Disorders, vol. 10, no. 2, pp. 152-157, Apr. 1999.   • K. E. Rollins, B. K. Kleinschmidt-DeMasters, J. R. Corboy, D. M. Damek, and C. M. Filley, “Lymphomatosis cerebri as a cause of white matter dementia,” Human Pathology, vol. 36, no. 3, pp. 282-290, Mar. 2005. • E. Raz et al., “MRI Findings in Lymphomatosis Cerebri: Description of a Case and Revision of the Literature,” Journal of Neuroimaging, vol. 21, no. 2, pp. e183-e186, April 2011.  

More Related