1 / 57

Film Critique

This film critique provides an in-depth analysis of standard radiographic views of the foot, including anteroposterior (AP), oblique, and lateral projections. Key evaluation criteria for each view are discussed to ensure quality imaging, including alignment, separation of toes, and visibility of joint spaces, particularly in the phalanges and metatarsals. Special attention is given to common fractures, including the Jones fracture at the base of the 5th metatarsal. Proper technique ensures optimal clarity for both soft tissue and bony trabeculation, vital for accurate diagnosis.

kreeli
Télécharger la présentation

Film Critique

An Image/Link below is provided (as is) to download presentation Download Policy: Content on the Website is provided to you AS IS for your information and personal use and may not be sold / licensed / shared on other websites without getting consent from its author. Content is provided to you AS IS for your information and personal use only. Download presentation by click this link. While downloading, if for some reason you are not able to download a presentation, the publisher may have deleted the file from their server. During download, if you can't get a presentation, the file might be deleted by the publisher.

E N D

Presentation Transcript


  1. Film Critique 1st year 5th class

  2. ToesStandard views *AP *Oblique (medioblique) *Lateral (mediolateral/lateromedial)

  3. Structures shown • AP projection of the phalanges of the foot (*1st toe only has 2 phalanges the 2nd-5th have 3 phalanges) ***We need from distal phalanx to the distal end metatarsal.

  4. AP Right 1st Toe Sesamoids

  5. Check the film for: • No rotation of phalanges • Interphalangeal and metatarsophalangeal joint spaces open (no bent toes) • Toes should be separated from each other so there is no soft tissue overlap • Soft tissue and bony trabeculation (this is to check for a good technique)

  6. AP left 1st toe Rotation of toe Soft tissue overlap AP

  7. Oblique Toes

  8. Oblique left 1st toe

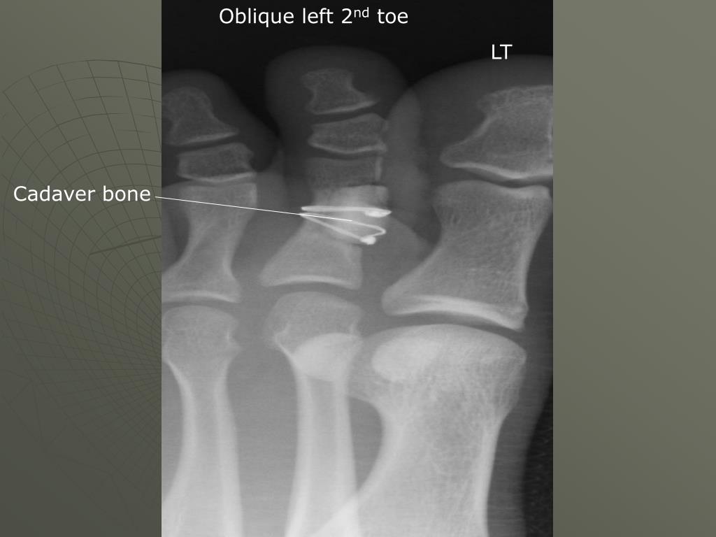
  9. Structures shown **** We do a medioblique: • An oblique projection of the phalanges • The Interphalangeal joints and 2nd -5th metatarsophalangeal joints open ***Distal phalanx to the distal end of the metatarsal • Toes should be separated from each other • Both soft tissue and bony trabeculation should be seen (techn)

  10. Oblique left 2nd toe LT Cadaver bone

  11. Lateral left 1st toe • Might need tape, straw or tongue depressor to separate toes

  12. Lateral toes Lateral left 3rd toe Lateral left 2nd toe lateromedial Mediolateral • Do lateromedial (1st-3rd) and mediolateral (3rd-5th) to get the toe closest to the film

  13. Structures shown: Lateral toe • A lateral projection of the phalanges: Phalanges in profile (toenail should appear lateral) • The interphalangeal joints spaces open. The MTP joints will be overlapped but may be seen in some patients. ***The distal phalanx to the distal ends of the metatarsals • Phalanx, without superimposition of adjacent toes. When superimposition cannot be avoided, the proximal phalanx must be demonstrated. • Toes should be separated from each other • Soft tissue and bony trabeculation (techn)

  14. Lateral left 2nd toe Lateral left 1st toe

  15. Tongue depressor Lateral Left 2nd toe

  16. Foot • Standard views *AP * AP Oblique (medioblique) *Lateral (mediolateral)

  17. AP Right Foot Intermediate Base of the 5th Common area for a foot fracture base of 5th Jones fracture

  18. AP Right foot **In this view you Will not see the Calcaneus!!

  19. Structures shown: • Dorsoplanter (AP) projection of the tarsals anterior to the talus, the metatarsals,and the phalanges • You will not see the whole calcaneus on this view. Why? • Some people angle 10 degrees toward the heel on this view ***You want all of the phalanges, metatarsals and tarsals distal to the talus on your image

  20. Check film for: • Motion • Rotation: there will be overlap of second- fifth metatarsal bases • Open joint space between medial and intermediate cuneiform • No overlap of toes • Density- are the toes burned out

  21. Oblique Right foot

  22. Oblique Right Foot medioblique

  23. Structures shown: • AP medioblique projection of the phalanges and metatarsals • Interspaces open between the cuboid and calcaneus, the cuboid and the 4th and 5th metatarsals, the cuboid and the lateral cuneiform and the talus and the navicular • Cuboid is in profile • Sinus tarsi, calcaneus, navicular,& base of the fifth are seen

  24. Oblique Left Foot Calcaneus?

  25. Check for: • Enough rotation when the 3rd – 5th metatarsals bases are free from superimposition • The lateral tarsals with less superimposition than in the AP • Joint spaces open • Base of the fifth metarsal is seen • Density: are the toes seen and are the tarsal seen • Tip of toes to calcaneus on the image

  26. Lateral Right Foot

  27. Lateral Right Foot R • mediolateral

  28. Structures shown: • Mediolateral projection of the entire foot. ***You need distal ends of the tib/fib, ankle joint, calcaneus to the distal phalanges.

  29. Bad lateral foot

  30. Check for: • Tip of toes to calcaneus and distal tib/fib on the image • Metatarsals nearly superimposed • Density to see toes, metatarsals and tarsals

  31. Good Positioning Poor : heel not flat Poor : knee elevated Poor : foot not flat

  32. NO!

  33. CALCANEUS • Standard views *AP axial (plantodorsal) *Lateral (mediolateral)

  34. Sustentaculum tali Trochlear process tuberosity

  35. Structures shown: • An axial projection of the calcaneus ***from the tuberosity to the sustentaculum tali and trochlear process

  36. AP Axial Right Calcaneus

  37. Check for: • Calcaneus should be visualized to include the talocalcaneal joint • No rotation of calcaneus (check the first or fifth metatarsals) • Density to see joint without burn out of tuberosity (two films if not using DR or CR)

  38. Rotation / foot flexion Rotation : can see 4th & 5th metatarsals Too much flexion Can’t see joint space Good

  39. Structures shown: • Lateral projection of the ankle joint and the calcaneus and adjacent tarsals.

  40. Lateral Left calcaneus

  41. Check for: • No rotation of the calcaneus • Density can you see soft tissue and bone • Sinus tarsi seen • Ankle joint and adjacent tarsals should be on the film

  42. Ankle • Standard views *AP *OBL (mortise) *Lateral (mediolateral)

  43. AP Right Ankle

  44. Structures shown • AP projection of the ankle joint, ***distal ends of tib/fib and the proximal portion of the talus

  45. Dorsal flexAP Left ankle

  46. Check for: • Talotibial joint space should be seen • Ankle joint should be centered • Moderate over lapping at the tibiofibular articulation is normal ***Area from the distal tibia and fibula to the talus should be included

  47. Oblique Left Ankle

  48. Structures shown: • Distal ends of the tib/fib with the entire ankle mortise joint demonstrated in profile.(all three sides of the mortise joint should be open.)

  49. AP OBLIQUE ANKLE Too much AP The entire ankle mortise joint should be demonstrated in profile. We oblique 15-20 degrees to open all three joints.

More Related