1 / 11

Adrenal gland radiology

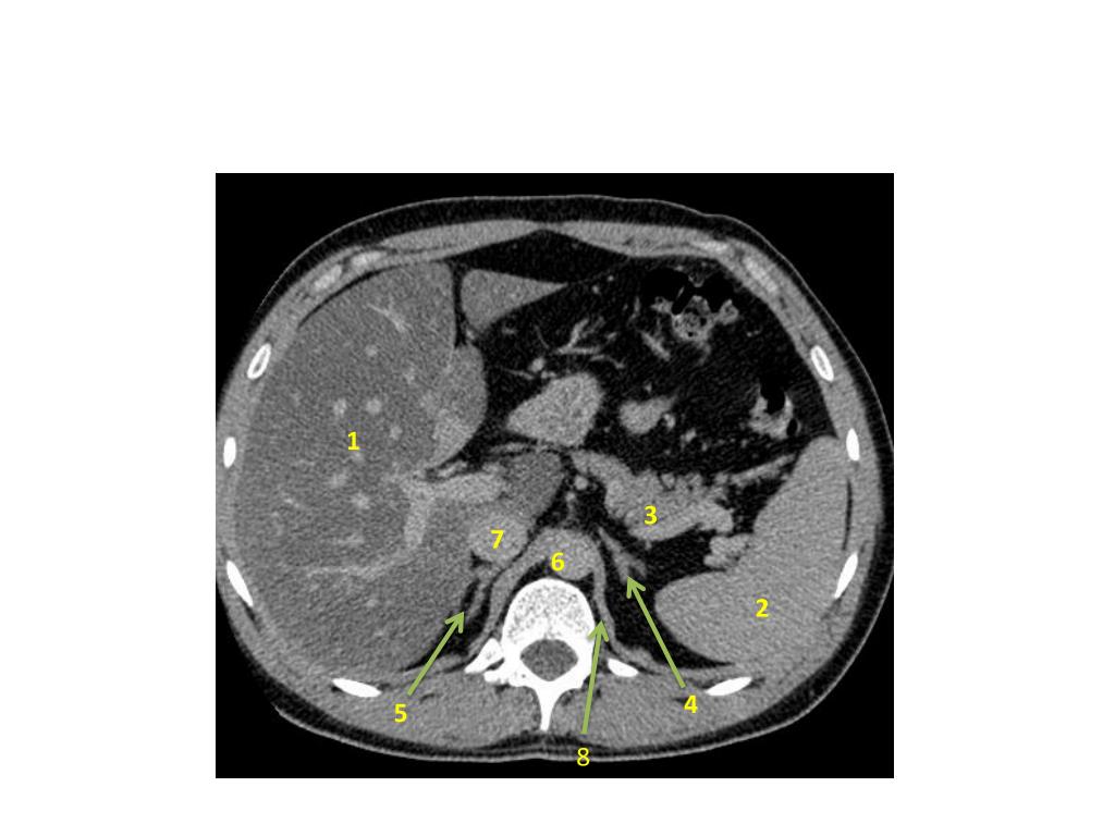
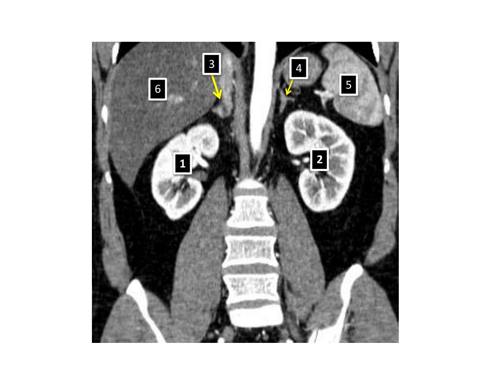
Adrenal gland radiology. OSCE. 1. 3. 7. 6. 2. 4. 5. 8. 1- Liver 2-Spleen 3- Pancreas 4- Left adrenal gland 5- Right adrenal gland 6- Aorta 7- IVC 8- left crus of the diaphragm. 1. 3. 7. 6. 2. 5. 4. 8. 3. 4. 5. 6. 2. 1. 3. 4. 5. 6. 1- Right kidney

marlis
Télécharger la présentation

Adrenal gland radiology

An Image/Link below is provided (as is) to download presentation Download Policy: Content on the Website is provided to you AS IS for your information and personal use and may not be sold / licensed / shared on other websites without getting consent from its author. Content is provided to you AS IS for your information and personal use only. Download presentation by click this link. While downloading, if for some reason you are not able to download a presentation, the publisher may have deleted the file from their server. During download, if you can't get a presentation, the file might be deleted by the publisher.

E N D

Presentation Transcript


  1. Adrenal gland radiology OSCE

  2. 1 3 7 6 2 4 5 8

  3. 1- Liver 2-Spleen 3- Pancreas 4- Left adrenal gland 5- Right adrenal gland 6- Aorta 7- IVC 8- left crus of the diaphragm. 1 3 7 6 2 5 4 8

  4. 3 4 5 6 2 1

  5. 3 4 5 6 1- Right kidney 2- Left kidney 3- Right adrenal gland 4- Left adrenal gland 5- Spleen 6- Liver 2 1

  6. What is the common radiological modality used for adrenal pathology? • Ultrasound. • X ray. • CT. • Nuclear medicine. • Fluoroscopy.

  7. What is the common radiological modality used for adrenal pathology? • Ultrasound. • X ray. • CT. • Nuclear medicine. • Fluoroscopy.

  8. The right adrenal gland is located: • Anterior to the inferior vena cava. • Superior to the inferior vena cava. • Inferior to the inferior vena cava. • To the right side of the inferior vena cava. • Posterior to the inferior vena cava.

  9. The right adrenal gland is located: • Anterior to the inferior vena cava. • Superior to the inferior vena cava. • Inferior to the inferior vena cava. • To the right side of the inferior vena cava. • Posterior to the inferior vena cava.

  10. The blood supply of the adrenal gland are derived from: • The abdominal aorta. • The renal artery. • The inferior phrenic artery. • All of the above. • Non of the above.

  11. The blood supply of the adrenal gland are derived from: • The abdominal aorta. • The renal artery. • The inferior phrenic artery. • All of the above. • Non of the above.

More Related