1 / 21

Complexe urogenitale malformatie bij een neonaat

Complexe urogenitale malformatie bij een neonaat. VVK-najaarsvergadering 30/11/2013 Thomas Salaets Coassistent UZLeuven Prof. K. Allegaert, Prof . D. Mekahli Dr. A.M. Rentmeesters, Prof. G. Bogaert , Dr. M. Roggen , Prof. G. Naulaers, Prof. K. Devriendt,. Prenataal. Prenatale echo’s:

melva
Télécharger la présentation

Complexe urogenitale malformatie bij een neonaat

An Image/Link below is provided (as is) to download presentation Download Policy: Content on the Website is provided to you AS IS for your information and personal use and may not be sold / licensed / shared on other websites without getting consent from its author. Content is provided to you AS IS for your information and personal use only. Download presentation by click this link. While downloading, if for some reason you are not able to download a presentation, the publisher may have deleted the file from their server. During download, if you can't get a presentation, the file might be deleted by the publisher.

E N D

Presentation Transcript


  1. Complexe urogenitale malformatie bij een neonaat VVK-najaarsvergadering 30/11/2013 Thomas SalaetsCoassistent UZLeuven Prof. K. Allegaert, Prof. D. Mekahli Dr. A.M. Rentmeesters, Prof. G. Bogaert, Dr. M. Roggen, Prof. G. Naulaers, Prof. K. Devriendt,

  2. Prenataal • Prenatale echo’s: • Echo op 32wk: abnormale cystische structuur in bekken (2cm) • Echo op 34wk: groeiende cystische structuur in abdomen (7cm), met bilateraal nierstuwing • > inductie • Moeder G4P2A1 • Eerste kind van deze partner • Familiale VG: • Polydactylie langs vaderszijde • Anosmie vader

  3. Kliniek

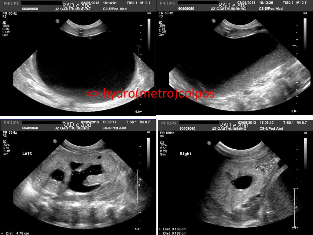
  4. => hydro(metro)colpos

  5. Congenitale defecten • Abdomen: • Hydro(metro)colpos (vaginaleatresie) • Enkelebilateralekleinerenalecorticalecystes • Ledematen: postaxialepolydactylie van de 4 ledematen • Ogen: fundoscopie: gele spots, nauwe bloedvaten (suggestief voor retinale dystrofie) • Cardiaal: klein ASD op D0 • Craniaal: normale echo’s D1, D7 => Bardet-Biedl syndroom

  6. Lawrence-Moon-Bardet-Biedl Bron: Forsythe E, BealesPh. Bardet-Biedlsyndrome. Eur J HumanGenetics (2013) 21, 8-13.

  7. Lawrence-Moon-Bardet-Biedl Bron: Forsythe E, BealesPh. Bardet-Biedlsyndrome. Eur J HumanGenetics (2013) 21, 8-13.

  8. Lawrence-Moon-Bardet-Biedl Bron: Forsythe E, BealesPh. Bardet-Biedlsyndrome. Eur J HumanGenetics (2013) 21, 8-13.

  9. Lawrence-Moon-Bardet-Biedl Bron: Forsythe E, BealesPh. Bardet-Biedlsyndrome. Eur J HumanGenetics (2013) 21, 8-13.

  10. Lawrence-Moon-Bardet-Biedl Bron: Forsythe E, BealesPh. Bardet-Biedlsyndrome. Eur J HumanGenetics (2013) 21, 8-13.

  11. Lawrence-Moon-Bardet-Biedl Bron: Forsythe E, BealesPh. Bardet-Biedlsyndrome. Eur J HumanGenetics (2013) 21, 8-13.

  12. Lawrence-Moon-Bardet-Biedl • Ciliopathie • 16 genen • vnlautosomaal recessief • deze casus: momenteel nog niet bevestigd

  13. Aanpak Percutanesupra-umbilicale drain: • Afname massa en hydronefrose • Staalanalyse: creatinine = 7,55mg/dl (=urine) • +/- 100ml/24h • => Urogenitaleconnectievermoed!

  14. Verder verloop • Bilanurogenitale connectie: • MCUG en colpografie • Cystoscopie • MRI • Verschillende echografische herevaluaties • Recidiverende infecties van de massa: • Koorts 38°, huilen, oncomfortabel • Echo: reflecties in hydrocolpos • Urine: clean catch +++ vs gesondeerd – • Hemocultuur: +++ werkhypothese: urogenitale sinus/vaginale atresie met fistel

  15. Urogenitale sinus

  16. Chirurgisch herstel

  17. Huidige situatie • Mooi herstel • Herstel van colostomie • Normalisatie van nierfunctie

  18. Einde Dank u voor uw aandacht!

  19. Differentieel diagnose • Andere ciliopathiën: • McKusick-Kauffman: urogenitale afwijkingen, polydactylie, congenitale cardiopathiën • Alström: leerstoornissen, polydactylie, gehoorsverlies • Joubert: ontwikkelingsstoornissen, ataxie, hypotonie, leverfibrose, niercysten, polydactylie, retinale dystrofie • Meckel: polydactylie, occipitaleencephalocoele, polycystische nieren

  20. Prognose BBS • Neuro: ontwikkelingsachterstand, bijzonder onderwijs • Ogen: blind (50% op 18j) • Nefro: CKD (25%) • Cardiovasculair: hypertensie (66%), diabetes (32%) • Levensverwachting: 25% sterft voor 44j • Prognose van dragerschap??

More Related