1 / 59

Spine: Myelomeningocele

Spine: Myelomeningocele. Lab 13, Case 1. Fetus at autopsy Note the defect in the lower lumbar region of the spinal column (arrow). The myelomeningocele can be seen protruding from this defect. Consecutive lumbar vertebrae from this case

purity
Télécharger la présentation

Spine: Myelomeningocele

An Image/Link below is provided (as is) to download presentation Download Policy: Content on the Website is provided to you AS IS for your information and personal use and may not be sold / licensed / shared on other websites without getting consent from its author. Content is provided to you AS IS for your information and personal use only. Download presentation by click this link. While downloading, if for some reason you are not able to download a presentation, the publisher may have deleted the file from their server. During download, if you can't get a presentation, the file might be deleted by the publisher.

E N D

Presentation Transcript


  1. Spine: Myelomeningocele Lab 13, Case 1

  2. Fetus at autopsy Note the defect in the lower lumbar region of the spinal column (arrow). The myelomeningocele can be seen protruding from this defect.

  3. Consecutive lumbar vertebrae from this case Note the defect (arrows) in the two vertebral bodies on the right. This defect was caused by the failure of the vertebral column to properly fuse.

  4. Closer view of the previous photograph showing normal lumbar vertebra from this case on the left Once again, note the defect (arrow) in the vertebral body on the right due to the failure of the vertebral column to close properly.

  5. One of the vertebral bodies from this case In this section there are defects (arrows) in the vertebral body but the skin can be seen over the open vertebral canal.

  6. One of the vertebral bodies from this case The defect (arrows) in the vertebral body is seen more clearly. The spinal cord is disrupted and there are areas of hemorrhage in this region.

  7. Spinal cord (arrow) immediately beneath the area of hemorrhage

  8. Spinal cord within the vertebral column shows the hemorrhage (arrows) in this region

  9. Liver: Biliary Atresia Lab 13, Case 2

  10. Section of liver Even at this magnification, areas of fibrosis can be appreciated.

  11. Liver Areas of portal fibrosis and bile duct proliferation (arrows) Adjacent to this fibrotic portal region, hepatocytes are seen separated by dilated sinusoids. Throughout this section are found accumulations of yellow-brown bile pigment.

  12. Fibrotic portal regions Arrows: Proliferation of bile ducts

  13. Fibrotic portal region with several bile ducts that contain inspissated (thickened, condensed, dried out) bile (arrows) Adjacent hepatocytes also contain bile pigments.

  14. Liver stained with trichrome stain to demonstrate portal fibrosis The fibrous connective tissue (collagen) stains blue.

  15. Lung: Hyaline Membrane Disease Lab 13, Case 3

  16. Lung demonstrating hyaline membrane disease and atelectasis

  17. 1: Lung 2: Liver The lack of open air spaces in this neonatal lung indicates its immaturity.

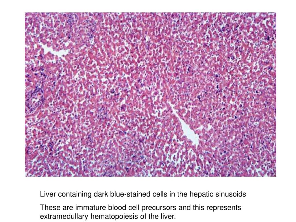
  18. Liver containing dark blue-stained cells in the hepatic sinusoids These are immature blood cell precursors and this represents extramedullary hematopoiesis of the liver.

  19. Shows more clearly blood cell precursors (arrows) which represent extramedullary hematopoiesis of the liver The liver is a normal site of fetal hematopoiesis and, for this stage of gestation, EH in the liver is normal.

  20. Lung demonstrating hypercellular pulmonary interstitium and small air spaces (as compared to adult lungs)

  21. Lung bronchus with cartilage Interstitial congestion with numerous red cells is apparent. Even at this magnification, hyaline membranes (arrows) can be seen lining the alveoli.

  22. Airway with adjacent lung tissue Some alveloi have hyaline membranes (arrows). There is severe congestion in the interstitium throughout this section.

  23. Pink acellular homogeneous material lining the alveoli which comprises the hyaline membranes (arrows) The interstitium shows congestion, as in previous sections.

  24. Hyaline membranes (arrows) and congestion in the interstitum

  25. Kidney: Wilms’ Tumor Lab 13, Case 4

  26. Bladder (1) attached to normal kidney (2) and a kidney with Wilms’ tumor (3) A large mass extends from the superior pole of the affected kidney. The renal capsule can be seen extending around this tumor.

  27. Closer view of the kidney with Wilms’ Tumor (arrows)

  28. Lung from this case demonstrating the metastatic tumor nodule (arrow)

  29. No tissue is present that can be readily identified as normal kidney. There does appear to be a capsule surrounding the tumor. Eosinophilic bands are seen surrounding basophilic islands of cells. These correspond to the two types of tissue in this tumor- the basophilic cellular compartment termed “blastema” can be distinguished from less cellular eosinophilic areas.

  30. Two types of cells make up this neoplasm The basophilic cellular component termed “blastema” (1) can be distinguished from less eosinophilic areas with fibroblast-like cells (2).

  31. Two cell types making up this neoplasm There are regions within the blastema where the cells form glands or “tubules” (arrows).

  32. Two cell types making up this neoplasm The glands or “tubules” within the blastema are better developed in this section (arrows).

  33. “Tubule” formation within the blastema (arrows)

  34. “Tubule” formation within the blastema Note the numerous mitotic figures (arrows).

  35. Difference in morphology between the blastema (1) and the fibroblast type cells (2)

  36. Cystic Fibrosis Lab 13, Case 5

  37. Liver and pancreas from autopsy The pancreas is slightly smaller than normal and it has a mucous consistency.

  38. This section of duodenum demonstrates dilation, loss of rugae, and areas of ulceration (arrows).

  39. Pancreas showing increased interstitial connective tissue resulting in accentuation of the lobar pattern

  40. This higher-power photomicrograph of the pancreas shows interstitial tissue and the presence of small cystic spaces (1) within the acinar lobules. These spaces are filled with eosinophilic proteinaceous material. The islets of Langerhans (2) are unaffected.

  41. Cystic space (1) within an acinar lobule Islets of Langerhans (2) are also visible.

  42. Variably-sized cystic spaces within the acinar pancreas

  43. Cystic spaces (1) within acinar pancreas and a normal islet of Langerhans (2)

  44. Normal layers of the intestine 1: Serosa 2: Muscularis 3: Submucosa 4: Mucosa with deep mucosal crypts 5: Cystic space within the mucosa

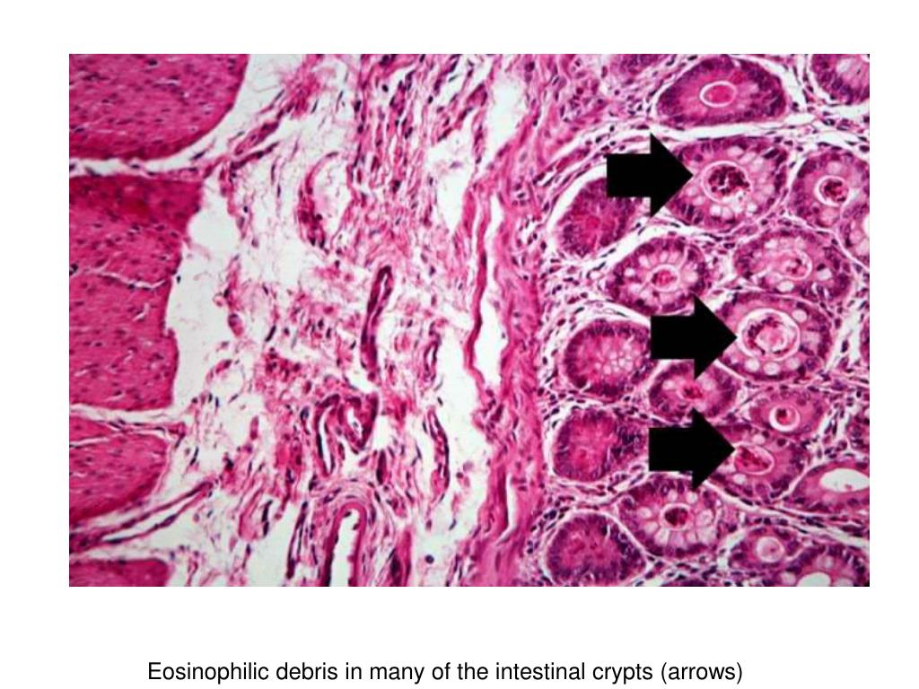
  45. Bottom of the intestinal crypts and the other normal layers of the intestine Even at this magnification, accumulations of eosinophilic debris can be seen in many of the intestinal crypts (arrows).

  46. Eosinophilic debris in many of the intestinal crypts (arrows)

  47. Eosinophilic debris in the intestinal crypts (arrows)

  48. Saggital sections of the intestinal crypts show the crypts along their full length, extending to the mucosal surface.

  49. Vacuolated intestinal epithelial cells lining the crypts and necrotic debris and inspissated secretions within the crypts (arrows).

  50. Vacuolated intestinal epithelial cells lining the crypts and necrotic debris and inspissated secretions within the crypts (arrows).

More Related