sebastian-ramirez
Uploaded by
39 SLIDES
672 VUES
430LIKES

Case 21

DESCRIPTION

Case 21. 32 year old white male had elective colonoscopy based on a family history of colon cancer Colonoscopy: superficial hemorrhagic lesions in the sigmoid, descending, and transverse colon, and terminal ileum. Staging for lymphoma was negative including bone marrow exam

1 / 39

Télécharger la présentation

Case 21

An Image/Link below is provided (as is) to download presentation Download Policy: Content on the Website is provided to you AS IS for your information and personal use and may not be sold / licensed / shared on other websites without getting consent from its author. Content is provided to you AS IS for your information and personal use only. Download presentation by click this link. While downloading, if for some reason you are not able to download a presentation, the publisher may have deleted the file from their server. During download, if you can't get a presentation, the file might be deleted by the publisher.

E N D

Presentation Transcript


  1. Case 21 • 32 year old white male had elective colonoscopy based on a family history of colon cancer • Colonoscopy: superficial hemorrhagic lesions in the sigmoid, descending, and transverse colon, and terminal ileum. • Staging for lymphoma was negative including bone marrow exam • Clinical evaluation for celiac disease showed high titers of antigliadin IgA and IgG antibodies, but negativity for tissue-transglutaminase • Minor response to gluten free diet

  2. Appearance of lesion on endoscopy Colon Biopsy 2002

  3. CD3 CD56

  4. CD2 TIA-1

  5. Case 21 – Follow Up • Over 8 years: similar lesions in the large bowel, stomach and small intestine. • Some lesions have waxed and waned, but there has been no progression of disease • A minor population of similar appearing cells was identified in tonsil • Peripheral blood flow has been normal

  6. Gastric Biopsy

  7. CD56 Index case reported as: Indolent NK-cell Lymphocytosis of the GI tract (Vega et al. AJSP 2006)

  8. Proposal for a A New Clinical Entity - NK-cell EnteropathyMansoor, A., S. et al. Blood 2011 • 8 cases: M:F 1:3; Median age 49 (27-70) • Vague GI symptoms, but negative for celiac disease • Single site of involvement in 3 patients • Stomach, colon(2) • Multiple sites in 5 patients • Stomach, small intestine, colon • Superficial lesions with hemorrhage, edema, ulceration

  9. Representative endoscopic images: Colon

  10. CD56 Case 4: Duodenal biopsy in 53 y.o. Male, with gastric and duodenal lesions, persistent at 2 yrs.

  11. 68 F Abdominal pain

  12. CD56

  13. CD3

  14. Immunophenotype: NK-cell Enteropathy • EBV-negative • CD56 strongly + • TIA-1+/ GrB+ • cCD3+, CD7 + • T-cell ag negative: CD4, CD8, CD5, βF1 CD2 variable • PCR neg for TCR gene rearrangement PB and BM: normal in all six studied

  15. NK-cell Enteropathy - Follow Up • 6/7 patients with repeat endoscopy had persistent but non-progressive disease • Follow up (median 34 mos; 8 yrs in index case, longest 10 years) • 3 pts had CHOP chemotherapy, in 2 pts followed by auto BMT • 2 have persistent GI lesions following treatment • 1 pt is currently NED at 1yr • No evidence of BM involvement or spread outside the GI tract

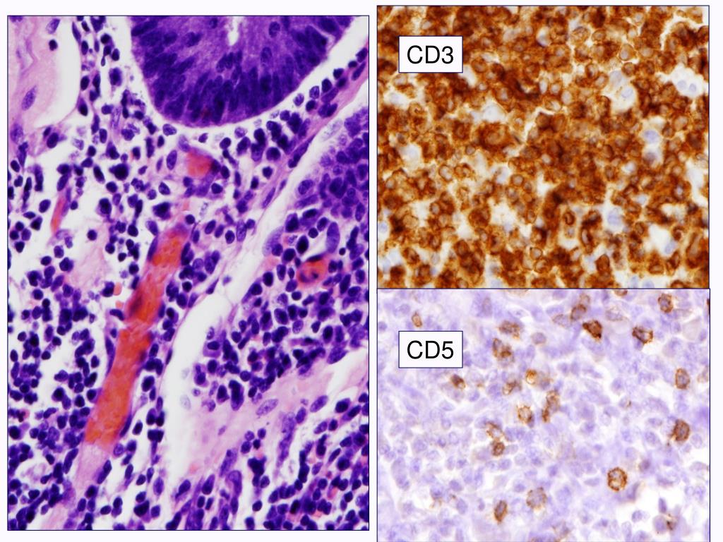
  16. Similar reports in literature • Takeuchi et al. Blood 2010 • Lymphomatoid gastropathy • 10 cases, adults, M=F, often for evaluation for gastric cancer, no intestinal involvement seen • McElroy et al. Ann Diag Pathol 2010 • 52 yo female, lesions in colon and stomach • Negative evaluation for celiac disease • Persistent GI involvement but without progression • Yamamoto et al, In press • 70 yo male, gastric ulcers, self limited course

  17. Differential Diagnosis • Extranodal NK/T-cell lymphoma • EBV +, NK-cell phenotype, CD56+, CD3c • Clinically aggressive • EATL, type II (monomorphic) • CD56+, but γδ T-cell phenotype, clonal PCR • Worldwide distribution, not linked to celiac disease • EATL, type I • Associated with celiac disease, clonal PCR • Cytotoxic αβ T-cell phenotype • Gamma-delta TCL • CD56+, γδ T-cell phenotype, clonal PCR • Some but not all cases resemble EATL type II

  18. Extranodal NK/T Cell Lymphoma, Nasal-typeClinical Presentation • “Lethal Midline Granuloma” • most common clinical presentation • Nasal septum, palate • Midline facial structures, orbit • Skin and subcutaneous sites • GI tract • Testis • Lung (uncommon)

  19. Gastric presentation of NK/T-cell lymphoma EBER

  20. Enteropathy Associated T-cell Lymphoma I (EATL I) • Broad morphological spectrum • Adjacent mucosa shows villous atrophy • CD3+, CD103+, Cytotoxic markers, TCR ab • often double negative for CD4/CD8, CD56 usu - • Often presents with intestinal perforation • aggressive clinical course with poor prognosis

  21. Enteropathy-associatedT-Cell Lymphoma • Associated with celiac disease • 95% of patients have HLA-DQ2 encoded by HLA DQA10501, DQB10201 • Gluten-free diet may reduce risk • In some patients, lymphoma may be the presenting feature

  22. CD30

  23. Monomorphic type (Type II) • Medium sized cells with clear cytoplasm • CD56 +, CD8+, CD4- • 8q24 (myc) amplifications • May occur sporadically, without celiac disease • Likely an independent entity (In WHO 2008 still included as subtype of EATL)

  24. EATL in Hong KongChan et al. AJSP 2011 • 18 cases – all EATL Type II (monomorphic) • 13 males/ 5 females Median age: 62 • No history of malabsorption • All EBV negative • 14 (78%) gamma delta • 6 (33%) alpha beta • 3 cases dual positive, 1 case TCR silent

  25. γδ T-cell Lymphomas- Comparison of Clinical & Pathological Features (WHO 2008) Hepatosplenic gdPrimary Cutaneous gd Children, Young adults, M>>F Adults, M=F Liver, spleen Skin, Subcutaneous tissue Bone marrow ? Other extranodal sites Aggressive Aggressive Immature cytotoxic Mature or activated cytotoxic phenotype phenotype TIA-1 +, Granzyme B - TIA-1+, Granzyme B +, Perforin + Perforin neg

  26. Non-hepatosplenic gamma/delta T-cell Lymphomas Garcia-Herrera et al. AJSP 2011 • 27 PTCL suspected of being gd TCL were studied in paraffin with abs to TCR d or TCR g • Cases contributed from Barcelona, Spain; NCI, Bethesda; Taipei, Taiwan; Creteil, France • All confirmed to have TCR genes clonally rearranged • EBV positive in 3/27 • 2 skin, 1 nodal

  27. Non-hepatosplenicgd T-cell lymphomas (16)Sites of Presentation • Skin / subcutaneous tissue (5) 31% • Skin + other (GI, LN) (3) 19% • Small bowel (3) 19% • Tongue (1) 6% • Orbit (1) 6% • Lung (1) 6% • LN (2) 12% 50%

  28. γδ TCL 26 yo Hispanic male

  29. CD3 CD5

  30. PTCL, TCR silent (11 cases) • TCR gamma rearranged by PCR • Negative for Beta F1, TCR delta & TCR gamma • Clinically similar to gd TCL • 6/11 skin & subcutaneous tissue • 3/11 small bowel • 1 each, LN and CNS TCR Silent and gdTCL: 75% DOD, median < 2 yr

  31. Intestinal T-cell Lymphomas 6/6 males; Median age 58 (49-72) 5/6 Asian; 1 Hispanic All cytotoxic: CD56+, CD3+, CD8+, CD7+ All CD5 negative, EBV negative 3 gamma delta; 3 were TCR silent 2/6 had morphological features of EATL, Type II 1 Asian, 1 Hispanic 4/6 lacked prominent epitheliotropism

  32. Intestinal T-cell/ NK-cell LymphomasA heterogeneous spectrum of disease • Aggressive lymphomas with a cytotoxic T-cell or NK-cell phenotype • Enteropathy associated T-cell lymphoma (type I) • EATL, Type II (monomorphic type) • Predominantly gd origin • Not linked to celiac disease • Other cytotoxic TCL (gd and TCR silent) • Nasal type T/NK-cell lymphoma, EBV+

  33. NK-cell enteropathy is a indolent disease of unknown etiology • This could represent an immune response to an unknown pathogen • The cytological atypia and CD56+ often leads to a mistaken dx of NK-cell or T-cell lymphoma • Be cautious about making the diagnosis of lymphoma on superficial biopsies

  34. There is always something new under the sun ….

More Related