yaron
Uploaded by
33 SLIDES
610 VUES
350LIKES

Central Line Audit Cycle

DESCRIPTION

Central Line Audit Cycle. Dr Coralie Carle B Med Sci BMBS FRCA, SpR 4 Anaesthesia & ICM Dr Ibrahim Ibrahim, MBChB ST 2 Anaesthesia Dr Simon Mills, MBChB MRCP FRCA, Consultant Anaesthetist. Outline. trigger for audit background service evaluation intervention re-audit future plans.

1 / 33

Télécharger la présentation

Central Line Audit Cycle

An Image/Link below is provided (as is) to download presentation Download Policy: Content on the Website is provided to you AS IS for your information and personal use and may not be sold / licensed / shared on other websites without getting consent from its author. Content is provided to you AS IS for your information and personal use only. Download presentation by click this link. While downloading, if for some reason you are not able to download a presentation, the publisher may have deleted the file from their server. During download, if you can't get a presentation, the file might be deleted by the publisher.

E N D

Presentation Transcript

Playing audio...

  1. Central Line Audit Cycle Dr Coralie Carle B Med Sci BMBS FRCA, SpR 4 Anaesthesia & ICM Dr Ibrahim Ibrahim, MBChB ST 2 Anaesthesia Dr Simon Mills, MBChB MRCP FRCA, Consultant Anaesthetist

  2. Outline • trigger for audit • background • service evaluation • intervention • re-audit • future plans

  3. Audit Trigger

  4. Patient in PACU… • 37 year old male • post-op exploration of bleeding pseudoaneurysm / ileofemoral bypass • PMH • IVDU • Hep C +ve • PE (patient consent for presentation obtained)

  5. …in extremis • acutely SOB in PACU • ABC approach with simultaneous consideration of diagnoses • pneumothorax • PE • transfusion reaction • air embolism

  6. CVC inspection • 3-way stopcock aligned so it was potentially open to the atmosphere • partially loose (cross threaded) red replacement cap • air aspirated from lumen < 1 ml • lumen flushed & cap tightened

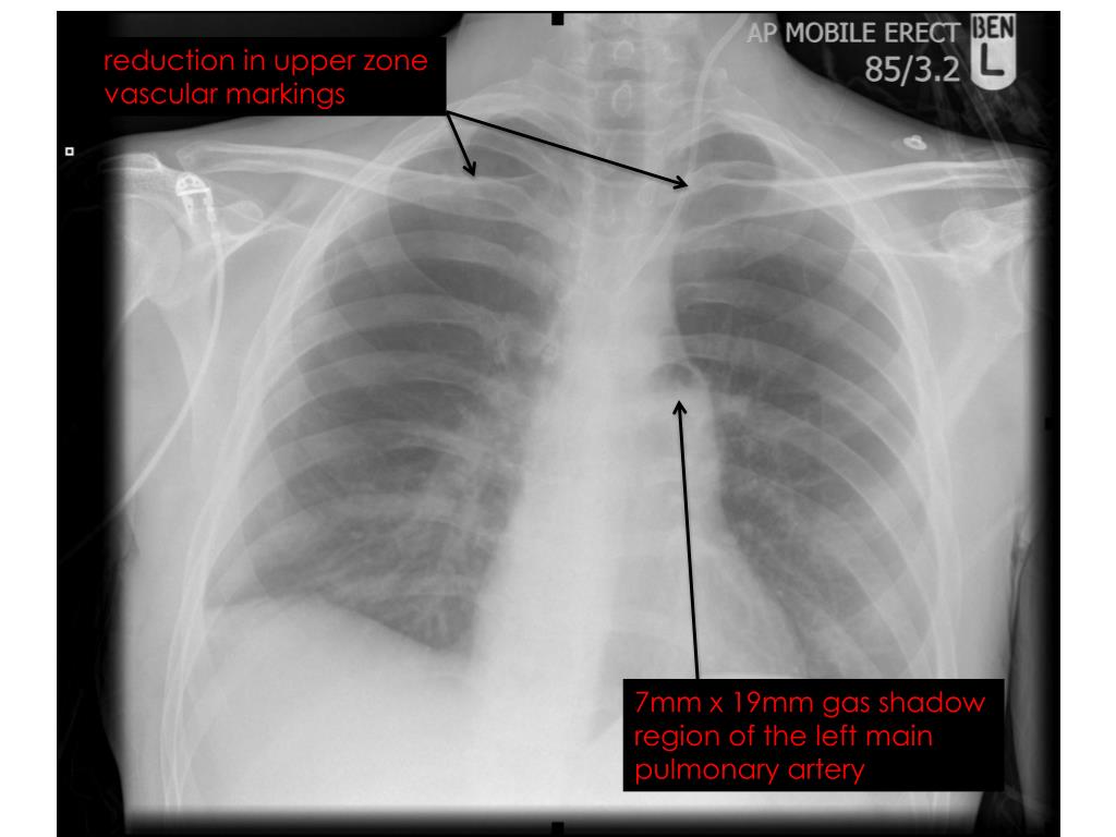
  7. Venous Air Embolism (VAE) Suspected • left lateral decubitus position • distal lumen of CVC aspirated • No further air withdrawn • AP mobile erect CXR taken to aid diagnosis

  8. reduction in upper zone vascular markings 7mm x 19mm gas shadow region of the left main pulmonary artery

  9. Supportive Management • sat up as most comfortable • 100% oxygen • gradual improvement over 30 minutes • discharged at 90 minutes • oxygen • level 2 care • follow up revealed no persistent problems

  10. Venous Air Embolism

  11. VAE development • open communication • between vein & atmosphere • pressure gradient enabling air entrainment • Vessel lumen : atmospheric pressure • volume and rate of air entrained • size of communication • pressure gradient

  12. 100mls can be fatal1 • 100mls: • 14G cannula • 1 second • 5cm H20 pressure gradient2 • 90mls: • 8F PAC introducer needle • 1 second • 5.4cm H20 pressure gradient3 • Yeakel AE. Lethal air embolism from plastic blood-storage container. Journal of the American Medical Association 1968; 204: 267-9. • Flanagan JP, Gradisar IA, Gross RJ, Kelly TR. Air embolus – a lethal complication of subclavian venipuncture. New England Journal of Medicine 1969; 218(9): 488-9. • Conahan TJ. Air embolization during percutaneous Swan-Ganz catheter placement. Anesthesiology 1979; 50: 360-1.

  13. Pressure gradient • relative position of open communication in relation to the RA • sitting position reduced CVP • resulted in the open communication of CVC lying above RA • hydration status • Hypovolaemia decreases intravascular pressure • mode of ventilation • Spontaneous inspiration decreases intravascular pressure • CVP • gasp reflex

  14. Gasp reflex • VAE during spontaneous ventilation • 10% obstruction to the pulmonary circulation can cause GASP REFLEX • reduces RA pressures and results in further air entrainment1 • Palmon SC, Moore LE, Lundberg J, Toung T. Venous Air Embolism: A Review. Journal of Clinical Anesthesia 1997; 9: 251-7.

  15. Central Line Service Evaluation

  16. Outline • R & D permission obtained • Phase 1 • Assess current practice of CVC care in relation to prevention of VAE in all locations throughout the hospital • Presentation of results • Phase 2 • Assess need for standard setting • Implement agreed standard • Phase 3 • Audit at 1 & 6 months post intervention

  17. Data collection proforma Audit ID number: Location: Bed number: CVC Site R L IntJug Subclavian Femoral Lumens in total 1 2 3 4 5 Lumens in use 1 2 3 4 5 Reason for CVC Speciality/Grade of Dr inserting line Insertion date Sutures Fixed connector sutured Y N Adjustable connector present Y N & sutured Y N Comments Dressing Covering insertion site Y N Clean Y N What position should the patient be in when removing the CVC? (ask nurse looking after patient) Bung Bionector Tap position Clip open Clip Closed X Leave blank if no clip If single bionector attached to lumen then write BIONECTOR across diagram

  18. Data collection • Wed 28th Oct 2009 • all wards in hospital • ICU, HDU, CICU, CCU, medical & surgical wards, PACUs. • all patients with CVC in situ included in the evaluation • data collection proforma completed for each CVC

  19. Results: common errors 3 way Tap CVC lumen Patient Patient IVI IVI Patient Patient

  20. Intervention

  21. Intervention • presentation locally • raised awareness • ensure CVC chosen is appropriate • use of three-way taps? • hospital standard set • re-education • Poster

  22. Prevention of Venous Air Embolism (VAE): Central Venous Catheter (CVC) Care 1. Service evaluation Oct 09: 2. Intervention: Points to remember CVC insertion site: CVC sutured to the skin at all times Insertion site covered by an occlusive dressing % of CVCs with errors potentially leading to VAE Prevent air from entering CVC: Prime all syringes & IV giving sets Use needle-free access devices if possible Ensure bungs are not cross-threaded Ensure correct 3-way-tap alignment: ✓ ✓ 64% of CVCs had an error 64% of CVCs at risk of VAE Removal: Follow trust guidelines but remember to: Lie the patient head down Apply a sterile occlusive dressing 3. Re-audit planned summer 2010 ✗ ✗ ✗

  23. Re-audit

  24. What next?

  25. What next? • repeat education / updated posters

  26. Prevention of Venous Air Embolism (VAE): Central Venous Catheter (CVC) Care 1. Current practice: 2. Intervention: Points to remember CVC insertion site: CVC sutured to the skin at all times Insertion site covered by an occlusive dressing % of CVCs with errors potentially leading to VAE Prevent air from entering CVC: Prime all syringes & IV giving sets Use needle-free access devices if possible Ensure bungs are not cross-threaded Ensure correct 3-way-tap alignment: ✓ ✓ Removal: Follow trust guidelines but remember to: Lie the patient head down Apply a sterile occlusive dressing Oct 09: 64% of CVCs at risk of VAE May 10: 35% of CVCs at risk of VAE 3. Re-audit planned Nov 2010 ✗ ✗ ✗

  27. What next? • repeat education / updated posters • needle-less valves? • re-audit 6 months

  28. Summary

  29. Summary • raised awareness relating to VAE • prevention • management • our hospital’s approach • consider… • need for CVC? • lumens required? • needle-free valves?

  30. ANY QUESTIONS?

More Related