1 / 19

Chronische lymphatische Leukämie

Chronische lymphatische Leukämie. Prof. Dr. med. Roland Fuchs Dr. med. J. Panse Medizinische Klinik IV. Zytologie Immunphänotypisierung. Prof. Dr. med. Detlef Haase Zentrum Innnere Medizin. Zytogenetik. 1/17.

brie
Télécharger la présentation

Chronische lymphatische Leukämie

An Image/Link below is provided (as is) to download presentation Download Policy: Content on the Website is provided to you AS IS for your information and personal use and may not be sold / licensed / shared on other websites without getting consent from its author. Content is provided to you AS IS for your information and personal use only. Download presentation by click this link. While downloading, if for some reason you are not able to download a presentation, the publisher may have deleted the file from their server. During download, if you can't get a presentation, the file might be deleted by the publisher.

E N D

Presentation Transcript


  1. Chronische lymphatische Leukämie

  2. Prof. Dr. med. Roland Fuchs Dr. med. J. Panse Medizinische Klinik IV Zytologie Immunphänotypisierung Prof. Dr. med. Detlef Haase Zentrum Innnere Medizin Zytogenetik

  3. 1/17 CLL. Blutausstrich. Massive Leukozytose durch kleine Lymphozyten und zahlreiche Gum-precht`sche Kernschatten. Granulozyten fehlen. Thrombozytopenie. Beachte: Die Kernschatten werden bei der Blutbilderstellung gewertet und erscheinen innerhalb der 100 gezählten Zellen als eigenständige Kategorie Kernschatten.

  4. 2/17 CLL. Blutausstrich. Kleine Lymphozyten mit runden oder ovalen Kernen. Chromatin hete-rogen (dunkle Kondensationen und gleichzeitig band- oder punktförmige Aufhellungen), schmales hellblaues Zytoplasma ohne Granulation, wenige Thrombozyten.

  5. 3/17 CLL. Blutausstrich. Drei kleine Lymphozyten. Chromatin schollig mit chromatinarmen bandartigen Aufhellungen, schmales hellblaues Zytoplasma, ein Thrombozyt, Anisozytose der Erythrozyten.

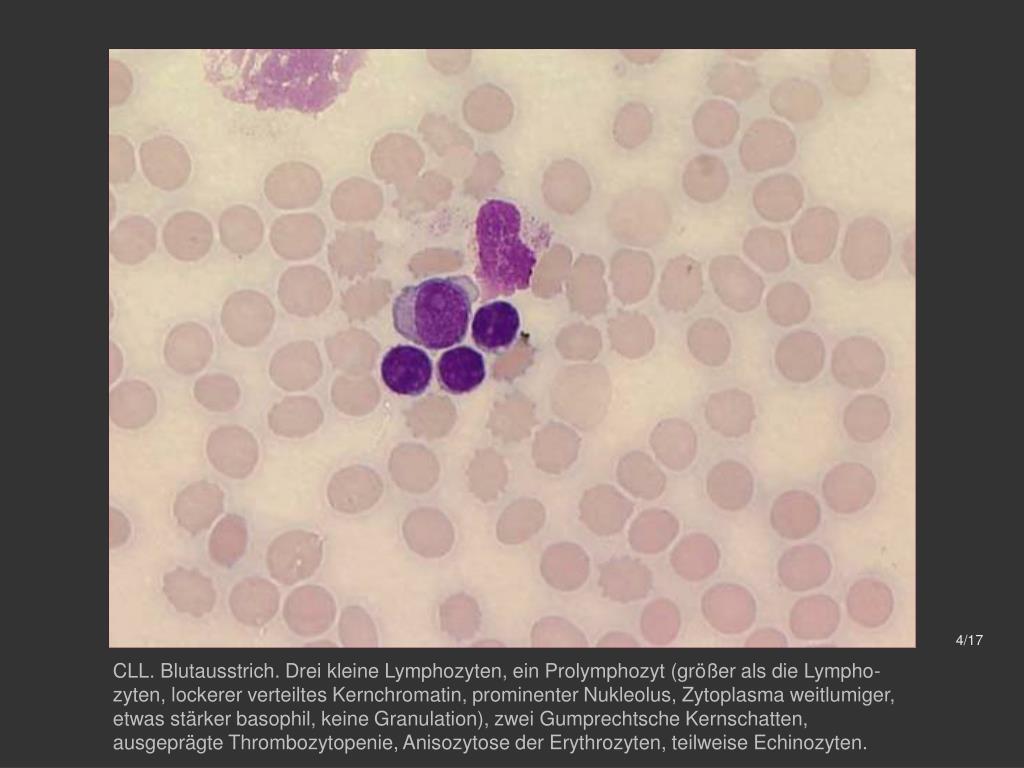
  6. 4/17 CLL. Blutausstrich. Drei kleine Lymphozyten, ein Prolymphozyt (größer als die Lympho-zyten, lockerer verteiltes Kernchromatin, prominenter Nukleolus, Zytoplasma weitlumiger, etwas stärker basophil, keine Granulation), zwei Gumprechtsche Kernschatten, ausgeprägte Thrombozytopenie, Anisozytose der Erythrozyten, teilweise Echinozyten.

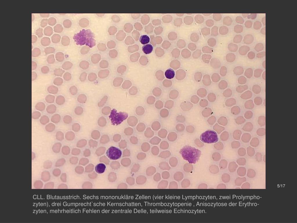
  7. 5/17 CLL. Blutausstrich. Sechs mononukläre Zellen (vier kleine Lymphozyten, zwei Prolympho-zyten), drei Gumprecht`sche Kernschatten, Thrombozytopenie , Anisozytose der Erythro-zyten, mehrheitlich Fehlen der zentrale Delle, teilweise Echinozyten.

  8. 6/17 CLL. Blutausstrich. Zwei kleine Lymphozyten, deren Kerndurchmesser der Größe der Ery-throzyten entspricht, ein Gumprecht`scher Kernschatten. Thrombozytopenie, Anisozytose der Erythrozyten, teilweise Fehlen der zentrale Delle.

  9. 7/17 CLL. Blutausstrich. Drei kleine Lymphozyten mit scholligem Kernchromatin, schmalem, hellbauem, granulationsfreiem Zytoplasma. Größe der Lymphozytenkerne entspricht dem Durchmesser der Erythrozyten.

  10. 8/17 CLL. Knochenmark. Hochgradige, weitgehend monomorphe Infiltration durch rundkernige Zellen mit Verdrängung der physiologischen Hämatopoese. Megakaryozyten nicht sichtbar. Fettmark in wenigen Resten vorhanden.

  11. 9/17 CLL. Knochenmark. Ausgedehnte Infiltration durch überwiegend kleine Lymphozyten mit heterogenem Kernchromatin und einem kleineren Anteil von Prolymphzyten, zerdrückte Zellen, wenige Erythroblasten, keine Granulozyten, ein Megakaryozyt. Einige Fettvakuolen.

  12. 10/17 CLL. Knochenmark. Ausgedehnte Infiltration durch überwiegend kleine Lymphozyten mit heterogenem Kernchromatin und einem kleineren Anteil von Prolymphozyten, zerdrückte Zellen, ein Erythroblast, keine Granulozyten.

  13. 11/17 CLL. Knochenmark. Monomorphe Infiltration durch überwiegend kleine Lymphozyten mit heterogenem Kernchromatin, zerdrückte Zellen, zwei Erythroblasten.

  14. 12/17 CLL. Knochenmark. Infiltration durch überwiegend kleine Lymphozyten mit heterogenem, dichtem Kernchromatin, wenige Prolymphzyten, zerdrückte Zellen.

  15. Weiterführende Diagnostik • Multiparametrische Immunphänotypisierung • Positiv • B-Zell-Antigene CD19, CD20 (schwach), CD23, CD79b (schwach) • T-Zell-assoziiertes Antigen CD5 • Leichtkettenrestriktion (κ oder λ) Negativ • CD10 • Zytogenetik • Prognostisch relevant • Deletion 17p (unabhängig von weiteren Aberrationen) 13/17

  16. CD19+ CD23+ CD20(+) CD5(+) Durchflusszytometrie der Zellen der chronischen lymphatischen Leukämie 14/17

  17. CD79b(+) CD10 - Kappa Lambda Durchflusszytometrie der Zellen der CLL. Leichtkettenrestriktion Kappa 15/17

  18. Multicolour-FISH einer CLL-Zelle des gleichen Patienten mit farblicher Visualisierung der chromosomalen Strukturveränderungen (u.a. Deletion 17p) Giemsabanden-Karyogramm einer CLL-Zelle mit komplexen Anomalien, u.a. mit einer Deletion 17p mit Verlust des TP53-Lokus 16/17

  19. FISH-Analyse an Knochenmark- Zellen des gleichen Patienten mit einer Lokus-spezifischen Sonde für TP53 in 17p13.2. Normale Zellen zeigen zwei rote Signale, die CLL-Zellen mit der 17p-Deletion tragen nur ein rotes Signal 17/17

More Related