1 / 47

Respiratory Emergencies in the Pediatric Population

Respiratory Emergencies in the Pediatric Population. CASE 1. 16 month old boy with wheeze. Initial Vitals: HR 160 RR 60 BP 88/50 Temp 38 O2sat on RA 89%. You do your pediatric assessment triangle:. Appearance Crying, distressed, looking

ciara
Télécharger la présentation

Respiratory Emergencies in the Pediatric Population

An Image/Link below is provided (as is) to download presentation Download Policy: Content on the Website is provided to you AS IS for your information and personal use and may not be sold / licensed / shared on other websites without getting consent from its author. Content is provided to you AS IS for your information and personal use only. Download presentation by click this link. While downloading, if for some reason you are not able to download a presentation, the publisher may have deleted the file from their server. During download, if you can't get a presentation, the file might be deleted by the publisher.

E N D

Presentation Transcript


  1. Respiratory Emergencies in the Pediatric Population

  2. CASE 1 16 month old boy with wheeze Initial Vitals: HR 160 RR 60 BP 88/50 Temp 38 O2sat on RA 89%

  3. You do your pediatric assessment triangle: Appearance Crying, distressed, looking around, moving all 4 limbs Breathing (work of) Laboured, chest caving in, +++indrawing Circulation Colour OK, N cap refill

  4. What would you like to do now? Oxygen by mask applied, IV attempt started and pt now on cardiac monitor Airway No stridor audible, no obvious secretions Breathing +++ wheeze with little air entry bilat (inspiratory AND expiratory) Circulation Warm extrem, PPP, cap refill 2 secs

  5. What would you like to do now? Oxygen Ventolin Atrovent IV Access established – orders? CXR done / pending Blood work Doctor? Venous Gas pH 7.35 pCO2 38 pO2 125

  6. History: • Has had a “cold” for almost 2 days now • (mild fever, decreased energy / appetite with cough • and runny nose) • Started getting wheezy this morning • No history of exposure to allergens, inhalants • or FB aspiration Family History of Asthma / no smokers / no pets Otherwise healthy with no known allergies

  7. Continuous Ventolin for 15 mins has little effect • Still indrawing • RR 65 • Still alert and looking around, crying Additional treatment? IV steroids Solucortef 1 mg/kg IV / IM Continue Ventolin Consider racemic Epinephrine (0.5 mls)

  8. Repeat Venous Gas about 30 mins later pH 7.15 pCO2 55 pO2 120 Eyes rolling back, little crying now … What do you want to do? Drugs? Tube Size? Ketamine 1-2 mg/kg IV Atropine 0.01 mg/kg IV (min 0.1 mg) Succinyl 1 mg/kg IV 4 – 4.5 tube

  9. Other Options • IV Magnesium 25 mg/kg (max 2 gm) • IV Epinephrine • IV Ventolin • Inhalational Anesthetics • Methylxanthines • Heli - Ox

  10. Differential Diagnosis of Wheezing H + N Vocal cord dysfunction Chest Asthma Bronchiolitis Foreign Body Aspiration CVS Congestive Heart Failure Vascular Rings

  11. CAEP Pediatric Asthma Guidelines • MILD • Nocturnal cough • Exertional SOB • Increased Ventolin use • Good response to Ventolin • O2 sat > 95% • PEF > 75% (predicted / personal best) • ± O2 • Ventolin • Consider po Steroids Symptoms Pre - Treat Treatment

  12. CAEP Pediatric Asthma Guidelines • MODERATE • Normal mental status • Abbreviated speech • SOB at rest • Partial relief with Ventolin and required > than q 4h • O2 sat 92%-95% • PEF 50-75% (predicted / personal best) • O2 100% • Ventolin • Systemic corticosteroids • Consider anticholinergic Symptoms Pre - Treat Treatment

  13. CAEP Pediatric Asthma Guidelines • SEVERE • Altered mental status • Difficulty speaking • Laboured respirations • Persistant tachycardia • No prehospital relief with usual dose Ventolin • O2 saturation <92% • PEF, FEV1 <50% • 100% O2 • Continuous or frequent b-agonists • Systemic corticosteroids & magnesium sulfate • Consider anticholinergic & / or methylxanthines Symptoms Pre - Treat Treatment (consider RSI)

  14. CAEP Pediatric Asthma Guidelines • NEAR DEATH • Exhausted , Confused • Diaphoretic • Cyanotic, Decreased respiratory effort, APNEA • Falling heart rate • O2 saturation <80% • (spirometry not indicated) • As above PLUS • RSI • IV Ventolin • Inhalational anesthetic, aminophylline • Epinephrine Symptoms Pre - Treat Treatment

  15. CASE 2 18 mo Girl with 24 hr Hx of coughing with drooling Hx: Has had an URTI for about a week and was getting mildly better until yesterday. She developed a fever and the cough got harsher. Still drinking but not interested in solids Vomited once last night Started drooling this morning

  16. Physical Exam T39.1 degrees rectally, P170, R28, BP 100/66 Appearance alert, awake, not toxic, in no acute distress Did not appear to prefer upright or a forward leaning position EENT Moist MM, slight erythema of oropharynx, nasal crusting, N TMs, no rash / petechiae, no drooling Supple neck Chest Clear when resting Mild inspiratory stridor with crying Rest of the exam N

  17. DDx? • Croup • Epiglottitis • Bacterial • tracheitis • RetroPharygeal • abcess • Foreign Body • aspiration Other things on DDx of Inspiratory Stridor Laryngeal Web TEF Diptheria Airway thermal injury Subglottic stenosis Peritonsillar abcess GERD Esophageal FB Laryngeal fracture Laryngeal cyst Lymphoma

  18. Soft tissue lateral neck radiograph

  19. Retropharyngeal Abscess • Lymph nodes between the posterior pharyngeal wall • and the prevertebral fascia • gone by 3 – 4 yrs of life • drain portions of the nasopharynx and the posterior • nasal passages • may become infected and progress to breakdown • of the nodes and to suppuration

  20. ETIOLOGY • Complication of bacterial pharyngitis • Less frequently • - extension of infection from vertebral osteomyelitis • Group A hemolytic streptococci, oral anaerobes, • and S. aureus

  21. Typically … • Recent or current history of an acute URTI • Abrupt onset: • High fever with difficulty in swallowing • Refusal of feeding • Severe distress with throat pain • Hyperextension of the head • Noisy, often gurgling respirations • Drooling

  22. On Exam … Nasopharynx Bulging forward of the soft palate and nasal obstruction Oropharynx Bulging of posterior phyaryngeal wall or Not visualized Soft Tissue Neck Film Patient position – MILD EXTENSION Positive Film - Retropharyngeal soft tissue > ½ the width of the adjacent vertebral body - may see air in the retropharynx

  23. Complications Abscess rupture - aspiration of pus. Lateral extension - present externally on the side of the neck Dissection along fascial planes into the mediastinum Death may occur with aspiration, airway obstruction, erosion into major blood vessels, or mediastinitis.

  24. Treatment • Clindamycin 20-30 mg/kg/day divided Q8H (if pre-fluctuant phase) • Decadron 0.6 mg/kg • Airway management • Surgical decompression

  25. CASE 3 17 month old male with a one-hour history of noisy and abnormal breathing Normal now but at the time, parents thought he was quite distressed. Now, he is able to speak and drink fluids without difficulty

  26. VS T36.8, P200 (crying), R28 (crying), O2 sat 99% Alert with no signs of respiratory distress Able to speak, had no cyanosis, no drooling, no dyspnea H+N No obvious swelling, bleeding, FB seen Chest Mild wheezing with ? mild inspiratory stridor What would you like to do now???

  27. Soft Tissue Neck View

  28. CXR (PA)

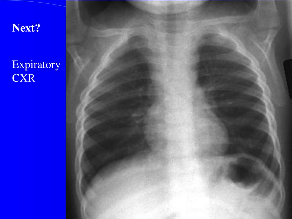
  29. Next? Expiratory CXR

  30. Inspiratory View Expiratory View

  31. Right Decub View

  32. Foreign Body Aspiration • More common with food than toys • Highest risk between 1 and 3 years old (immature dentition – no molars, poor food control) • Common foods = peanuts, grapes, hard candies • Some foods swell with prolonged aspiration • (may even sprout)

  33. Clinical Manifestations Typically … Acute respiratory distress (now resolved or ongoing) Witnessed choking period Uncommonly … Cyanosis and resp arrest Symptoms: cough, gag, stridor, wheeze, drool, muffled voice

  34. Investigations • Xrays • Lateral neck • Chest – inspiratory, expiratory, decubitus views • Expiratory views • Overinflation (partial obstruction with inspiratory flow) • Volume loss with mediastinal shift towards obstructed • side (partial obstruction with expiratory flow) • Atelectasis (complete obstruction)

  35. Decubitus views Normal Smaller volumes and elevated diaphragm on side down Abnormal Hyperinflation or “normal” volumes in decub position If suspected … Need a bronchoscope to rule out or remove Foreign Body

  36. CASE 4 2 yo Boy with Barky Cough for 2 days • Runny nose, decreased appetite • Not himself • No PMHx / FHx of significance • Shots UTD • Other sibs with similar URTIs

  37. On Exam … Temp 38.9 HR 140 O2 sat 98% (drops to 90% when he crys) RR 40 (mild indrawing) Irritable, crying, good colour H & N sl erythema of throat, no pus N TMs, small cervical nodes Chest Barky cough, inspiratory stridor No wheeze noted

  38. Diagnosis? Racemic Epinephrine 0.5 ml dose ? Dexamethasone now or later Re – Assess in 30 minutes No improvement with 1st dose of epinephrine What would you like to do now?

  39. Re – Examine Ongoing Inspiratory Stridor Cries when trachea is examined IV Cefuroxime PLUS Cloxacillin Consult Pediatric ICU / Pulmonary for Bronch / Intubation

  40. Bacterial tracheitis • An acute bacterial infection of the upper airway capable of causing life-threatening airway obstruction • Staph aureus most commonly (parainfluenza, Moraxella catarrhalis, H. influenzae, anearobes) • Most pts less than 3 years old • Usually follows an URTI (esp laryngotracheitis) • Mucosal swelling at the level of the cricoid cartilage, • complicated by copious thick, purulent secretions

  41. CLINICAL MANIFESTATIONS Brassy cough High fever “Toxicity" with respiratory distress (may occur immediately or after a few days of apparent improvement) Failed response to CROUP TREATMENT (mist, intravenous fluid, racemic epinephrine)

  42. Treatment Antibiotics (good Staph coverage) Intubation or tracheostomy is usually necessary ? Decadron

  43. Pediatric Pneumonia Neonate Bacteria more frequent E. coli, Grp B strep, Listeria, Kleb 1 – 3 mo Chlamydia trachomatis (unique) Commonly viral (RSV, etc.) B. Pertussis 1 – 24 mo S. pneumonia, Chlamydia pneum Mycoplasma pneumonia 2 – 5 yrs RSV Strep pneumonia, Mycoplasma, Chlam

  44. Severe Pneumonia: Staph aureus Strep pneumonia Grp. A strep HIB Mycoplasma pneumonia Pseudomonas if recently hospitalized

  45. History: Infants < 3 months Tachypnea, cough, retractions, grunting, isolated fever or hypothermia, vomiting, poor feeding, irritability, or lethargy As age increases, symptoms are more specific Fever and chills, headache Cough or wheezing Chest pain, abdominal distress, neck pain and stiffness

  46. Physical Exam Tachypnea is the best single indicator of pneumonia Age in monthsUpper limit of Normal RR < 2 55 2-12 45 > 12 35

  47. Treatment Neonates Ampicillin + Gentamycin / Cefotaxime 1 – 3 mo Erythromycin 10 mg/kg IV Q6H 1 – 24 mo Cefuroxime 50 mg/kg IV Q8H (not ICU) Ceftriaxone 50-75 mg/kg IV Q24H and Cloxacillin 50 mg/kg IV Q6H (ICU) 3 mo – 5 yrs Cefuroxime / Erythro IV (admitted) Clarithro / Azithro (outpt Tx)

More Related