1 / 66

血液系统疾病 ( Hematological Disease)

血液系统疾病 ( Hematological Disease). 贫 血. 电镜下红细胞形态. 正常细胞性贫血. 大细胞性贫血. 小细胞低色素性贫血. 球形红细胞. 靶形红细胞. 镰形红细胞. 椭圆形红细胞. 再生障碍性贫血 ( Aplastic Anemia). 一、概述. 概念 :再生障碍性贫血( aplastic anemia , 简称再障 ), 是一组由于化学、物理、生物因素及不明原因引起的骨髓造血功能衰竭,以造血干细胞损伤,外周血全血细胞减少为特征的疾病。 临床特点 : 贫血、出血、感染。. 发病情况:

martha-horn
Télécharger la présentation

血液系统疾病 ( Hematological Disease)

An Image/Link below is provided (as is) to download presentation Download Policy: Content on the Website is provided to you AS IS for your information and personal use and may not be sold / licensed / shared on other websites without getting consent from its author. Content is provided to you AS IS for your information and personal use only. Download presentation by click this link. While downloading, if for some reason you are not able to download a presentation, the publisher may have deleted the file from their server. During download, if you can't get a presentation, the file might be deleted by the publisher.

E N D

Presentation Transcript


  1. 血液系统疾病(Hematological Disease)

  2. 贫 血

  3. 电镜下红细胞形态

  4. 正常细胞性贫血

  5. 大细胞性贫血

  6. 小细胞低色素性贫血

  7. 球形红细胞

  8. 靶形红细胞

  9. 镰形红细胞

  10. 椭圆形红细胞

  11. 再生障碍性贫血(Aplastic Anemia)

  12. 一、概述 概念:再生障碍性贫血(aplastic anemia,简称再障 ),是一组由于化学、物理、生物因素及不明原因引起的骨髓造血功能衰竭,以造血干细胞损伤,外周血全血细胞减少为特征的疾病。 临床特点:贫血、出血、感染。

  13. 发病情况: 年均发病率为 0.74/10 万, 其中有0.14/10万为重型再障, 青壮年居多,男多于女。

  14. 分类: 原发性再障; 继发性再障; 大约各占50%左右。

  15. 二、病因和发病机理 (一)病因 1.化学因素 化学毒物:苯 化学药物: 氯霉素、磺胺类、 抗肿瘤药。 药物引起骨髓抑制有两种类型:

  16. 毒性作用:与剂量有关, 如:苯、抗肿瘤药物 过敏:与剂量无关, 如:抗生素、磺胺类、杀虫剂等。 2.物理因素 X线、放射性核素:可干扰DNA复制。

  17. 3.生物因素 病毒性肝炎(HBV,HCV) 病毒感染 微小病毒B19 EB病毒 HIV病毒

  18. 4.其他因素 @ 妊娠后再障 @ 长期未经治疗的贫血 @慢性肾衰

  19. (二)发病机制 三种机制 种子学说:造血干(祖)细胞内在缺陷,包括量和质的改变。

  20. 土壤学说:造血微环境缺陷(土壤) 造血干细胞的增殖分化都有赖于正常的造血微环境——神经、调控因子、基质及微循环。

  21. 虫子学说:异常免疫反应损伤 造血干(祖)细胞 某些免疫因素可能损伤造血干细胞引起再障,尤其与重型再障有关。

  22. 三、病理 @ 主要表现为全身红骨髓总容量 减少,骨髓内脂肪组织增多; @ 全身淋巴组织及脾脏均有不同程度的 萎缩; @ 重型患者全身骨髓多部位受累及, 慢性患者骨髓呈渐进性、向心性累及。

  23. 四、临床表现 贫血(Anemia) 出血(Bleeding) 感染(Infection)

  24. 根据症状发生的急缓、贫血的 严重程度可分为: 重型再生障碍性贫血(SAA) (SAA-Ⅰ、 SAA-Ⅱ) 慢性再生障碍性贫血 (CAA)

  25. SAA: 起病急, 以广泛出血和严重感染为主; CAA: 起病缓,以贫血为首发和主要表现。 女性患者常表现月经过多。

  26. SAA 1.出血部位广泛 常见皮肤黏膜出血:皮肤淤点、淤斑,牙龈出血、鼻腔出血; 内脏出血:消化道出血、血尿、持续阴道出血等,甚至可发生颅内出血。 出血主要原因:血小板减少。

  27. 2.皮肤及肺部感染多见 • 半数以上病人于病后数月至1年 内死亡; • 感染的主要原因是粒细胞数量减少; • 颅内出血和败血症是急性再障病人的 主要死亡原因。

  28. 3.贫血进行性加重 • 明显的头晕、乏力、心悸等。 • 贫血主要原因:红细胞生成减少、 出血造成红细胞丢失过多。

  29. CAA 主要为贫血 出血:以皮肤粘膜为主。 感染:呼吸道感染多见。

  30. 五、实验室检查 血象特点: @ 全血细胞减少; @ 中性粒细胞百分比减少,淋巴细胞 百分比相对增多; @ 网织红细胞计数及绝对值减少。 @正细胞正色素性贫血

  31. SAA的血象诊断标准 @ 网织红细胞<0.01, 绝对值<15×109/L @ 中性粒细胞绝对值 <0.5×109/L @ 血小板<20×109/ L

  32. 骨髓象 • 肉眼观察骨髓液稀薄呈血水样,骨髓颗粒减少或不见,脂肪滴增多。

  33. 骨髓象 显微镜下 §有核细胞增生低下/ 极度低下; §造血细胞(粒、红、巨三系)显著 减少或缺乏; §非造血细胞(网状、浆、组织嗜碱等 细胞)及淋巴细胞增多。

  34. 重型、慢性再障鉴别表 重型再障 慢性再障 起病 急 缓 贫血 进行性加重 发展较慢 出血 严重,常有内脏出血 轻,皮肤粘膜 多见 感染 严重,常有合并败血症轻,以上呼吸 道为主

  35. 血象 中性粒细胞 中性粒细胞 <0.5×109/L >0.5×109/L 血小板<20×109/L 血小板>20×109/L Ret绝对值<15×109/L Ret绝对值 >15×109/L 骨髓象 增生灶多部位增生 增生减低或 极度减低 活跃,常有 预后 不良 较好

  36. 正常骨髓象(100× 有核细胞增生活跃)

  37. 再障骨髓象( 100×有核细胞增生极度减低)

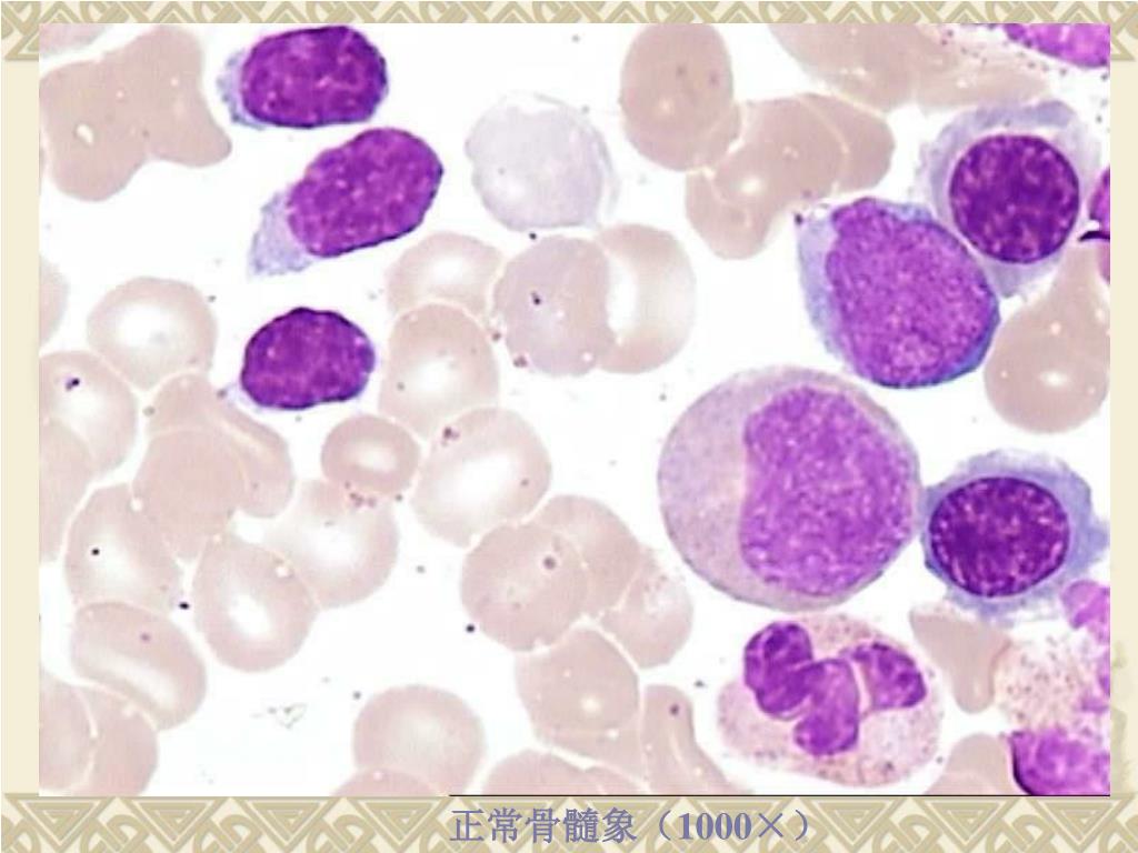
  38. 正常骨髓象(1000×)

  39. 再障骨髓象( 1000×)

  40. 再障骨髓象( 1000×)

  41. 六、诊断 @ 贫血、出血、感染 @ 全血细胞减少 @ 脾脏不大 @ 确诊

  42. 骨髓穿刺: 有核细胞增生低下/ 极度低下; 粒、红、巨三系细胞减少; 非造血细胞及淋巴细胞相对增多。 骨髓活检:造血组织显著减少。

  43. 鉴别诊断 1.阵发性睡眠性血红蛋白尿(PNH) 反复发作血红蛋白尿,酱油色尿, 黄疸,脾大。 2.骨髓增生异常综合征(MDS) 骨髓增生活跃,病态造血,无效造血。

  44. 七、治疗 治疗原则:终止损害造血功能的毒物 和药物,千方百计刺激骨髓造血。 包括: *刺激骨髓造血 *改善微循环 *调节免疫功能 *骨髓移植

  45. (一)支持治疗 1.成份输血 * 纠正贫血:如Hb<60g/L,且有明显 的缺氧症状,应输压积红细胞。 * 防治出血:如血小板<20×109/L, 且有明显出血症状,应输血小板。 止血药物应用。

  46. 2.防治感染 首先要预防感染 感染发生后: * 查找病因(血、尿、粪、咽拭子、可疑部位分泌物的细菌培养) * 抗生素

  47. (二)针对发病机制治疗 1.免疫抑制治疗 ① 抗淋巴/胸腺细胞球蛋白 (ALG/ ATG 是治疗SAA的主要药物。 主要副作用:速发型过敏反应、血清病、一过性血细胞减少。用药前须作皮试。

  48. ②环孢霉素A ( CsA ) 用于SAA和CAA。副作用肝、肾功能损害、牙龈增生、消化道反应。 ③ ALG/ ATG + CsA 强化免疫抑制治疗,用于SAA。

  49. ④ 单克隆抗体 ⑤ 环磷酰胺 ⑥ 甲泼尼龙 ⑦丙种球蛋白

  50. 2.刺激骨髓造血 ①雄激素刺激骨髓造血, 用于全部AA。 常用司坦唑醇(康力龙) 丙酸睾丸酮、 十一酸睾丸酮(安雄) 副作用:肝功能损害 、女性男性化。

More Related