1 / 89

THROMBOSES VEINEUSES CEREBRALES

THROMBOSES VEINEUSES CEREBRALES. Serge BRACARD 2009. Plan. Généralités. Épidémiologie Étiologies Clinique Diagnostic. Imagerie Évolution. Pronostic. Généralités. Incidence plus importante que communément admis Etiologie rarement infectieuse Expression clinique très variée

clyde
Télécharger la présentation

THROMBOSES VEINEUSES CEREBRALES

An Image/Link below is provided (as is) to download presentation Download Policy: Content on the Website is provided to you AS IS for your information and personal use and may not be sold / licensed / shared on other websites without getting consent from its author. Content is provided to you AS IS for your information and personal use only. Download presentation by click this link. While downloading, if for some reason you are not able to download a presentation, the publisher may have deleted the file from their server. During download, if you can't get a presentation, the file might be deleted by the publisher.

E N D

Presentation Transcript


  1. THROMBOSES VEINEUSES CEREBRALES Serge BRACARD2009

  2. Plan • Généralités. Épidémiologie • Étiologies • Clinique • Diagnostic. Imagerie • Évolution. Pronostic

  3. Généralités • Incidence plus importante que communément admis • Etiologie rarement infectieuse • Expression clinique très variée • Evolution le plus souvent favorable • Héparinothérapie

  4. Anatomopathologie • Thrombus • frais (hématies, fibrine) • ancien (tissu fibreux +/- recanalisé) • Atteinte parenchymateuse • œdème cérébral isolé • « infarctus  » veineux ( infarctus artériel)

  5. Infarctus veineux • Œdème • Hémorragie fréquente (hématome) • Territoire non systématisé (≠ infarctus artériel) • Souvent bilatéral

  6. Incidence • Mal connue • « International study on cerebral vein thrombosis » Canhao et al. Cerebrovascular Disease 2001 : 630 patients en 3 ans • Légère prépondérance chez les femmes jeunes • Rare chez l ’enfant

  7. Etiologies Étiologie des thromboses veineuses + causes locales • Causes infectieuses : • <10% dans les pays développés • sinus caverneux (staphylococcie de la face, sinusite ethmoïdale ou sphénoïdale) • Causes non infectieuses +++

  8. Thrombophlébite du sinus caverneux

  9. Thrombose sinus sigmoide et veine jugulaire interne gauche sur mastoidite

  10. Etiologies non infectieuses • Causes locales (traumatismes) • Post-partum immédiat et prise de contraceptifs oraux • Maladies générales • cancers et hémopathies • Lupus érythémateux systémique • Maladie de Behcet ... • Thrombophilies congénitales …

  11. Thrombophilies congénitales • A rechercher dans le cadre du bilan de toute TVC • Mutation du facteur V Leiden ou du facteur II • Déficits en antithrombine, protéine C ou protéine S • Thrombophilie et grossesse • prévention des risques thrombotiques maternels et placentaires (Conférence de consensus, ANAES 2003)

  12. Etiologie indéterminée • 20 à 35% des cas malgré un bilan poussé • Nécessité d ’un suivi au long cours • Manifestation tardive d’un cancer, d’une maladie de Behcet …

  13. Etiologies des TVC des enfants et des nouveaux-nés • Nouveaux-nés (69) • 84% pathologie systémique (complication périnatale) • 16% pathologie de la tête ou du cou • 20% état préthrombotique • Enfants plus âgés (91) • âge préscolaire : infections ORL • plus âgés : maladies systémiques • Etiologie indéterminée = 3% DeVeber et Andrew. Canadian pediatric ischemic stroke study group.Cerebral sinovenous thrombosis in children. N Engl J Med 2001

  14. Clinique Mode de survenue très variable ( accidents vasculaires artériels) • subaigu (2-30 jours) 50% • aigu (<48 h) 30% • Chronique 20%

  15. Symptômes cliniques non spécifiques • Céphalées • dans 80% des cas • Œdème papillaire • % variable selon les séries • Déficits focaux • inauguraux dans 15% des cas • au cours de l ’évolution dans environ 50% des cas • Crises convulsives • inaugurales dans 15% des cas • au cours de l ’évolution dans environ 40% des cas • fréquentes chez l ’enfant et le nouveau né • Troubles de la conscience • rarement inauguraux

  16. Tableaux cliniques • Signes focaux +/- HIC • très variables • diag  AVC artériel, tumeur, encéphalite • Hypertension intracrânienne (HIC) isolée • céphalées, œdème papillaire, +/- paralysie du VI • diag  HIC idiopathique (ou « bénigne ») • Encéphalopathie diffuse • troubles psychiques, confusion, coma, déficits, crises comitiales • Thrombose du sinus caverneux • chémosis, ptosis, ophtalmoplégie douloureuse

  17. Formes cliniques • 4 grands tableaux cliniques • mais formes trompeuses • parfois découvertes fortuites … y penser

  18. Topographie des TVC • Sinus sagittal supérieur • Sinus latéraux • Veines corticales rarement isolément • Système veineux profond • Localisations multiples fréquentes

  19. Imagerie des TVC • Scanner cérébral • Examen de « débrouillage », signes évocateurs à connaître • Angioscanner +++ • IRM et ARM • Méthode d ’imagerie la plus performante pour le diagnostic et le suivi, parfois pour l ’étiologie • Angiographie • Indications limitées

  20. Imagerie des TVC • Signes directs : le thrombus • dans les sinus • dans les veines • Signes indirects : le retentissement de la thrombose • stase veineuse • œdème cérébral • ischémie veineuse

  21. Scanner cérébral

  22. Scanner cérébral • Hyperdensité spontanée • signe très précoce (< 5 jours) et rare • « signe de la corde » (veine) ou du « triangle dense » (sinus) • faux positifs

  23. Signes du cordon

  24. Thromboses veines profondes

  25. Thrombose veines profondes

  26. Scanner cérébral • Signe du delta ou du triangle vide ++ • après 5 jours • Prise de contraste anormalement intense de la faux du cerveau et de la tente du cervelet

  27. Signes du delta

  28. Faux signe du delta • Partie postérieure du SLS • Hématome sous-dural

  29. Scanner cérébral • Œdème cérébral • diffus ou localisé • seul ou associé • Discret effet de masse • Souvent décrit mais non spécifique • difficile à affirmer chez le sujet jeune • difficile à différencier d ’un infarctus veineux

  30. Scanner cérébral • Infarctus veineux • hypodensité • effet de masse • prises de contraste • Infarctus hémorragiques • pétéchies … • Hématomes • HSA

  31. Scanner cérébral • Peut être évocateur • y penser • scanner sans et avec injection IV (+ angioscanner) • connaître les signes évocateurs • Peut être trompeur • HSA pure (Oppenheim et al, AJNR 05) • … • Peut être normal (10 à 20% des cas)

  32. G. Michèle, 54 ans; Malaise suivi de trouble phasiques

  33. G. Sylviane. Troubles phasiques fluctuants depuis la veille. Céphalées depuis 5 jours

  34. Angio scanner Casey et al. Radiology 96;198:163-70

  35. IRM • Diagnostic: • Sagittales T1 en SE +++ • Coronales T2 ou Flair • Axiales T2 EG ++ +/- Coronales T1 sans et avec Gado • Extension (et suivi) : ARM veineuse • Contraste de phase 3D PC • Temps de vol 2D TOF veineux • Acquisition volumique +Gd • ARM dynamique

  36. Le thrombus en IRM T2 EG : thrombus = artefacts hyposignal

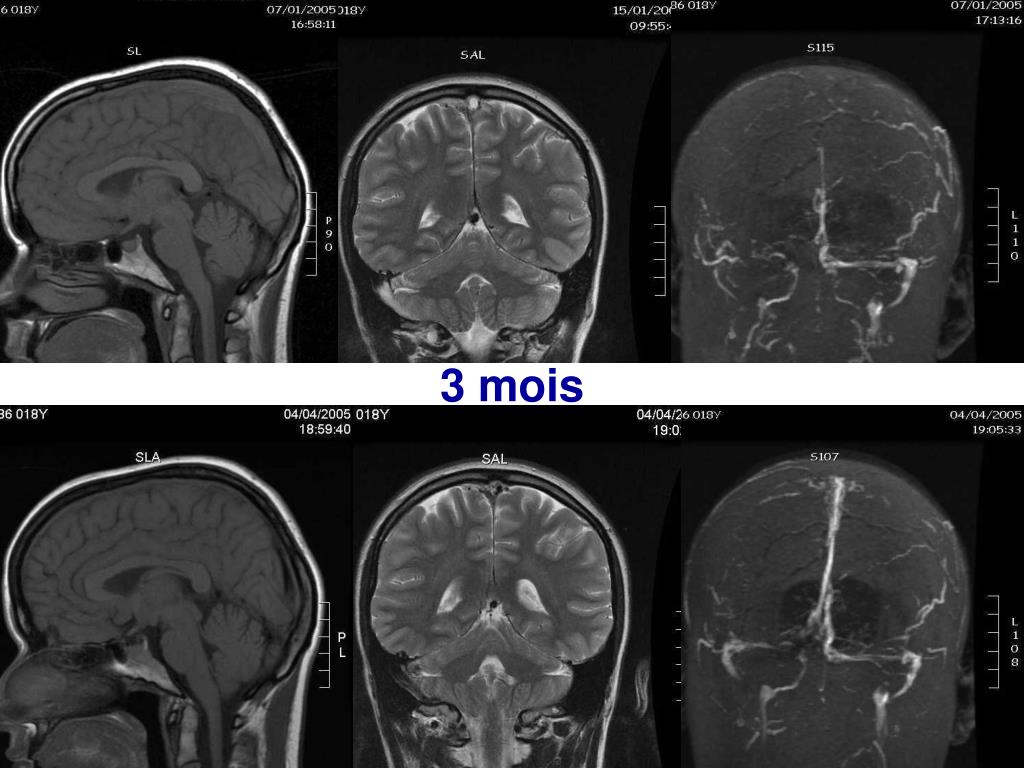
  37. B. Julie, 18 ans • 7/01/05 • Céphalées • Sd pyramidal • 38° • OP

  38. diagnostic J7

  39. 3 mois

  40. Veines corticales

More Related