1 / 52

HEAD INJURY

HEAD INJURY. E Woo. Non-penetrating head injury. Most controversial issues. Are the deficits consistent with the injury? Malingering? Is there any pre-existing disease that may cause or contribute to his deficits? Should he be cared for at home? What is the remaining life expectancy?.

csilla
Télécharger la présentation

HEAD INJURY

An Image/Link below is provided (as is) to download presentation Download Policy: Content on the Website is provided to you AS IS for your information and personal use and may not be sold / licensed / shared on other websites without getting consent from its author. Content is provided to you AS IS for your information and personal use only. Download presentation by click this link. While downloading, if for some reason you are not able to download a presentation, the publisher may have deleted the file from their server. During download, if you can't get a presentation, the file might be deleted by the publisher.

E N D

Presentation Transcript


  1. HEAD INJURY E Woo

  2. Non-penetrating head injury

  3. Most controversial issues • Are the deficits consistent with the injury? Malingering? • Is there any pre-existing disease that may cause or contribute to his deficits? • Should he be cared for at home? • What is the remaining life expectancy?

  4. Mild injury → mild deficits • Severe injury → not necessarily severe residuals

  5. Glasgow coma scale • Eye opening (E) • 4 Spontaneous • 3 To questions/command • 2 To pain • 1 Nil • Verbal response (V) • 5 Normal and oriented • 4 Confused speech • 3 Inappropriate speech • 2 Incomprehensible words • 1 Nil • Motor response (M) • 6 Normal and following commands • 5 Localize pain • 4 Withdrawal to pain • 3 Flexor posturing • 2 Extensor posturing • 1 No response

  6. Severity of head injury Mild GCS 14 to 15 Moderate GCS 10 to 13 Severe GCS ≤ 9

  7. Post traumatic amnesia (PTA) Mild less than 1 hour Moderate 1 to 24 hours Severe more than 24 hours

  8. Retrograde amnesia • how much the plaintiff can recall of what happened immediately before the accident • variable, hence not a good guide for the severity of the head injury • in general terms, for a mild injury, retrograde amnesia should be minimal

  9. Fractures • Vault - Linear - Depressed • Base

  10. Sites of hemorrhage Scalp hematoma Intracranial bleeding - intracerebral - intraventricular - subarachnoid - extradural - subdural - combination

  11. ICH

  12. EDH

  13. SDH

  14. SDH SAH

  15. PARENCHYMALDAMAGE Contusion Diffuse axonal injury - shearing injury in acceleration/deceleration - no fracture or external wound - deep coma but normal intracranial pressure - punctate lesions throughout the white matter especially corpus callosum

  16. Contusion

  17. Contusion

  18. Diffuse axonal Injury

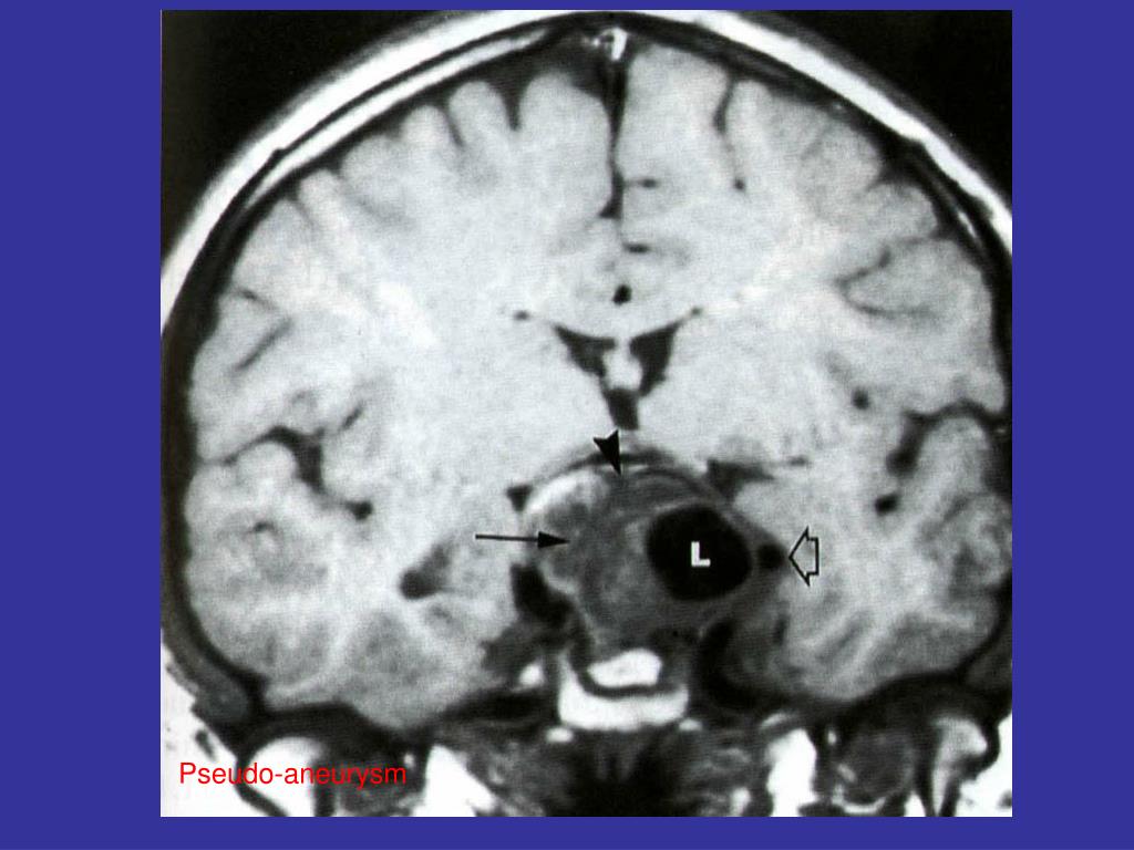
  19. Vascular damage • Dissection of internal carotid artery • Carotid-cavernous fistula • Pseudo-aneurysm

  20. Dissection

  21. Carotid-cavernous Fistula

  22. Pseudo-aneurysm

  23. Treatment Conservative Surgical - evacuation of hematoma/contusion - intracranial pressure monitoring

  24. Late complications • chronic subdural hematoma • hydrocephalus • CSF rhinorrhoea after skull-base fracture

  25. Chronic subdural hematoma • 4 to 6 weeks after accident, often mild injury • Increasing headache • Focal neurological deficits • Burr-hole drainage • Good prognosis (as distinct from acute subdural hematoma)

  26. Hydrocephalus - a few months after accident - complicating subarachnoid/intraventricular hemorrhage - shunt operation (ventriculo-peritoneal) - prognosis depends on shunt

  27. Radiological investigations • CT scan in acute phase • MR scan in chronic phase

  28. Outcome (Glasgow outcome scale) • Normal ] • Good recovery ] Independent • Moderate disability ] • Severe disability } • Vegetative state } Dependent • Death }

  29. Residual disabilities • Headache • Dizziness • Vestibular dysfunction - vertigo positional effect nystagmus • Memory loss - absent-mindedness loss of recent memory • Emotional disturbance - irritable anxious depressed • Frontal lobe dysfunction - apathy aggressiveness disinhibition, impulsivity suggestibility executive dysfunction frontal release signs

  30. Sequelae • Physical - cranial nerve deficits - hemiparesis • Cognitive - dementia • Emotional/Psychiatric

  31. Post-concussional syndrome • following upon mild/moderate head injury • headache, nonspecific dizziness, tinnitus, insomnia, irritability, anxiety • no structural pathology on imaging studies • good prognosis

  32. Persistent vegetative state • Total lack of awareness of self or environment • No language function (expression/comprehension) • Own sleep-wake cycles • No purposeful or behavioural response to visual, auditory, tactile or noxious stimulus • Incontinence • Preserved brainstem reflexes • May moan or groan • May even cry or shed tears • May blink • Jerky myoclonic movements (spinal origin)

  33. Minimally conscious state • Some sign of awareness • Follow simple commands • Gestural or verbal yes/no response • Intelligible verbalization • Purposeful behaviours contingent to relevant environmental stimuli (not reflexive)

  34. Assessment • starts before plaintiff walks in and continues through history taking • Cognitive - mini-mental state examination (MMSE) • Physical: • eye movements • motor and sensory • reflex • co-ordination • gait

  35. Malingering • Cognitive - approximate answers - worsening MMSE over time • Physical - nonphysiological distribution of weakness - Hoover’s sign - give-way weakness - bizarre gait • Inconsistency of deficits • Incompatibility with site/extent of lesion • Discrepancy between history and examination • Handwriting

  36. Impairment of the whole person • Guides to the Evaluation of Permanent Impairment (American Medical Association) • Based on ability to perform activities of daily living • A numerical range for deficits in cognition and physical abilities • No provision for headache

  37. Loss of earning capacity • Depends on occupation

  38. Duration of sick leave • Mild to moderate cases – recover over 6 to 12 months • Severe cases – recover over 1 to 2 years

  39. Life expectancy • Adverse factors • severe cognitive dysfunction • swallowing difficulties (tube feeding) • physical deficits (immobility) • incontinence • Seizure • Does good supportive care prolong survival?

  40. Persistent vegetative state • Markedly reduced survival • 2 to 5 years • Survival beyond 10 years unusual

  41. Future medical treatment • usually none after 1 to 2 years • for those with severe deficits, e.g. bedbound or PVS, follow-up every 3 months • tests • medications

  42. Post-traumatic epilepsy • Risk factors • severe injury (PTA > 24 hours) • depressed skull fracture • cerebral contusion • acute subdural or intracerebral hematoma • early epilepsy (occurring within first 7 days) • Most (80%) do so within first 2 years

  43. Seat belts • reduce fatal injuries and severe injuries in survivors, each by a factor of about 4 times • most marked reduction in head-on crashes • head injuries caused by frontal impacts against windshield or dashboard greatly reduced • belts protect against ejection from the car

  44. Home care vs Institutional care • In PVS/MCS cases

  45. Pre-existing lesion – hypertension with intracerebral hemorrhage • unknown but severe hypertension • a minor injury or some form of physical stress/exertion • common sites of hypertensive hemorrhage

  46. ICH

More Related