1 / 64

CXR review

CXR review. Cheryl Pirozzi MD 2010 Adapted from… Many prior CMRs. Know Your Anatomy. Normal PA CXR. Have a System. A System. Always include: Description: Always say the type of radiograph, the patient’s name and the date the study was done.

marisa
Télécharger la présentation

CXR review

An Image/Link below is provided (as is) to download presentation Download Policy: Content on the Website is provided to you AS IS for your information and personal use and may not be sold / licensed / shared on other websites without getting consent from its author. Content is provided to you AS IS for your information and personal use only. Download presentation by click this link. While downloading, if for some reason you are not able to download a presentation, the publisher may have deleted the file from their server. During download, if you can't get a presentation, the file might be deleted by the publisher.

E N D

Presentation Transcript


  1. CXR review Cheryl Pirozzi MD 2010 Adapted from… Many prior CMRs

  2. Know Your Anatomy

  3. Normal PA CXR

  4. Have a System

  5. A System • Always include: • Description: Always say the type of radiograph, the patient’s name and the date the study was done. • Lines/tubes/soft tissue: This may be the reason you have a CXR, if so, comment first. • Comparison: Is this different from previous films?

  6. A System Outside In: • Description and Big Picture • Lines and other non-human stuff • Bones and soft tissues • Lungs • Mediastinum and heart • Comparison

  7. Another System- RIP ABCs • RIP ABC’s • Helpful for remembering what needs to be covered • Not as intuitive as other techniques

  8. Another System- RIP ABCs • R – Rotation • I – Inspiratory Effort • P – Penetration • A – Airway • B – Bones • C – Cardiac shadow (include mediastinum) • D – Diaphragm • E – Effusions • F – Free Air • G – Gotta get to the lungs

  9. Another System- RIP ABCs • Rotation • Examine the clavicular heads • They should be flush with the sternum • Equidistant from midline • Rotated images can change appearance of normal structures

  10. Another System- RIP ABCs • Inspiration • Normal lung inflation  8-10 ribs • Underinflated <8 • Poor inspiration can cause a washed-out appearance to lungs, which can mimic pneumonia or effusion • Overinflated >10 • COPD, air trapping

  11. Another System- RIP ABCs • Penetration • Over penetrated • Too dark • Under penetrated • Too bright • Ideal penetration should allow you to see the vertebrae through the cardiac silhouette.

  12. Another System- RIP ABCs • A: Airway • Trachea midline? • If not, why?

  13. Another System- RIP ABCs • B: Bones • Here’s you chance to shine! • Look for fractures • Follow each rib • Look at clavicles • Some ability to see shoulder and scapula

  14. Another System- RIP ABCs • C: Cardiac shadow and mediastinum • Cardiac shadow should be less than ½ overall thoracic distance • Be careful calling it cardiomegaly

  15. Another System- RIP ABCs • Mediastinum • Look for widened mediastinum • Widened mediastinum often denotes aortic aneurysm or mass • Anomalous mass in anterior mediastinum is usually one of the 4 T’s: • Teratoma • Thymoma • Thyroid mass • Terrible Lymphoma

  16. Another System- RIP ABCs • D: Diaphragm • Look at level of diaphragm, right is usually higher but large differences could indicated neuromuscular problems • Comment on: • Flattening • Air underneath • Gastric bubble • Loss of the costophrenic angle • Deepening of the CPA

  17. Another System- RIP ABCs • Effusions • How do you identify an effusion?: • CPA blunting • Meniscus • White Out!! • Often won’t see a pleural effusion unless >300 ml • Verify pleural effusion with lateral decubitus

  18. Another System- RIP ABCs • Free air • Can be anywhere: often under diaphragm, in anterior mediastinum (pneumomediastinum) or soft tissue (abscess, crepitus)

  19. Another System- RIP ABCs • Gotta get to the lungs • Look for any pathology in lungs (as discussed) • Look at vasculature, follow it out – loss of vasculature could indicate a pneumothorax

  20. Know Your Definitions

  21. Terminology A great rule of thumb is to remember to be descriptive. • Opacity • Consolidation, ground-glass, band-like, confluent, patchy, diffuse, wedge-shaped… • Avoid “infiltrate” – implies pneumonia • Nodule < 3 cm • Mass > 3 cm • Extrapulmonary • Best descriptive term for things outside the lungs, such as pleural, rib or soft tissue processes.

  22. Terminology • Reticular: Usually means interstitial disease--Septal lines (Kerly B lines) • linear, curvilinear or lace-like • Alveolar Pattern • Caused by things that fill the alveoli • What fills alveoli—only 5 things • Blood • Pus • Water • Protein • Air

  23. Radiographic Pathology • Pneumonia • Many types (lobar, segmental, bronchial, necrotizing, etc.) • Many etiologies (aspiration, bacterial, viral, fungal, etc.) • Infiltration or consolidation? Just use opacification

  24. RadiographicPathology • Silhouette Sign • Helps determine location of opacification

  25. Radiographic Pathology • Pleural Effusions • Something between visceral and parietal pleura (blood, fluid, pus) • Costophrenic angle blunting • Look for meniscus • Can only be seen on CXR when it exceeds 300 ml.

  26. Radiographic Pathology • Right Lateral Decubitus

  27. Radiographic Pathology • Masses • Tumors • Lymph nodes • Aspirates/foreign bodies

  28. Radiographic Pathology • Disruption of continuity • Fractures

  29. Radiographic Pathology • Spacing/location/ relative size • Widened mediastinum • Tracheal shift • Cardiomegaly

  30. SAMPLE CASES

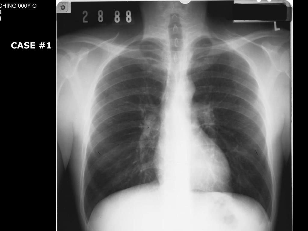
  31. CASE #1

  32. CASE #1 – Two weeks later Acute Shortness of Breath

  33. CASE #2

  34. CASE #2

  35. CASE #3

  36. CASE #3

  37. CASE #4

  38. CASE #4

  39. CASE #5

  40. CASE #5 – Lateral decubitus

  41. CASE #5 Post- procedure

More Related