1 / 50

Enfermedad Pulmonar Ocupacional

Enfermedad Pulmonar Ocupacional . Dra. Adriana M. Dávalos Goiriz. Servicio de Neumología / IPS HC. Concepto . Trastorno producido a nivel del aparato respiratorio ocasionado por la exposición e inhalación de partículas contenidas en agentes determinados presentes en el ambiente laboral.

melva
Télécharger la présentation

Enfermedad Pulmonar Ocupacional

An Image/Link below is provided (as is) to download presentation Download Policy: Content on the Website is provided to you AS IS for your information and personal use and may not be sold / licensed / shared on other websites without getting consent from its author. Content is provided to you AS IS for your information and personal use only. Download presentation by click this link. While downloading, if for some reason you are not able to download a presentation, the publisher may have deleted the file from their server. During download, if you can't get a presentation, the file might be deleted by the publisher.

E N D

Presentation Transcript


  1. Enfermedad Pulmonar Ocupacional Dra. Adriana M. Dávalos Goiriz Servicio de Neumología / IPS HC

  2. Concepto • Trastorno producido a nivel del aparato respiratorio ocasionado por la exposición e inhalación de partículas contenidas en agentes determinados presentes en el ambiente laboral. • Son enfermedades de origen laboral, aunque cada vez resulta más evidente que pueden desarrollarse en individuos que residen en la vecindad de plantas industriales, pero que no trabajan allí. • Las exposiciones medioambientales también desempeñan un papel importante en muchos trastornos pulmonares.

  3. Historia • El término Neumoconiosis fue introducido por Zenker en 1867 y deriva del griego pneuma: aire y kovni (o konis): polvo. • La primera vez que se diferenció el polvo de origen inorgánico del orgánico como agente etiológico de neumopatías de etiología laboral fue en las descripciones de Charles Thackrah en 1831. Sin embargo, ya en 1494 se hablaba de los efectos perjudiciales del polvo inhalado por los mineros.

  4. Situación hoy • En países como España, se conoce como enfermedad profesional aquélla que, además de tener su origen laboral, está incluida en una lista oficial publicada por el Ministerio del Trabajo dando, por tanto, derecho al cobro de las indemnizaciones oportunas. • En Estados Unidos, a los empleadores se les exige por ley federal que proporcionen a los empleados la información sobre la toxicidad potencial de todos los materiales utilizados en el lugar de trabajo. • La disciplina dedicada a su prevención es la Higiene Industrial; la Ergonomíase encarga del diseño productivo de los ambientes de trabajo y la Medicina del Trabajo se especializa en el diagnóstico y tratamiento de individuos afectados.

  5. Patogenia La respuesta pulmonar a la sustancia inhalada depende de varios factores que interactúan entre sí: Forma y tamaño de la partícula Distribución particular en el humo o polvo inhalado Concentración de las partículas Naturaleza química de las partículas Mecanismos de depuración de las partículas Duración de la exposición Susceptibilidad individual

  6. A qué llamamos partícula? • Porción de materia extremadamente pequeña. • PM 10 • PM 5 • PM 2,5 • De acuerdo a la OMS, cuando la relación largo:diámetro es de 3:1 o más se llaman fibras; cuando es menor, se llaman partículas.

  7. Enfoque del Paciente • Definir y caracterizar la presencia de enfermedad pulmonar. • Determinar la relación causal entre exposición ocupacional y el cuadro diagnosticado. • Antecedentes ocupacionales: • Anamnesis general • Empleo actual o más relevante • Información acerca de la exposición • Factores medioambientales no ocupacionales • Exposiciones específicas del lugar de trabajo • Empleos pasados • Examen físico exhaustivo.

  8. Radiografía simple de tórax

  9. Radiografía simple de tórax

  10. TAC de tórax

  11. Espirometría

  12. Pletismografía corporal

  13. Prueba de la marcha de 6 minutos

  14. Prueba de la marcha de 6 minutos

  15. ENTIDADES ESPECIFICAS

  16. Asma Ocupacional • Enfermedad caracterizada por obstrucción variable de la vía respiratoria como resultado de la exposición a polvos, vapores, gases o humos ambientales, presentes en un lugar de trabajo. • El asma puede ser producida de novo por el agente agresor, o el asma subyacente puede exacerbarse por el mismo. • Son factores de riesgo antecedentes de atopia y tabaquismo.

  17. Asma Ocupacional Criterios diagnósticos • Un antecedente que apoya la reacción • Evidencia de obstrucción variable de la vía aérea • Confirmación de broncoconstricción en el lugar de trabajo • Documentación de sensibilización bronquial al agente sospechoso • Establecimiento de una conexión causal por el estímulo intencional bronquial con el agente

  18. Asma Ocupacional • Asma preexistente agravada por la exposición laboral • AO propiamente dicho, causada por agentes específicos que se encuentran en el medio laboral. • AO no inmunológica, por irritantes inhalados, sin periodo de latencia. • AO inmunológica. Con periodo de latencia. Sensibilización al agente causal mediado inmunológicamente. • AO inmunológica por agentes de alto peso molecular (AAPM) • AO inmunológica por agentes de bajo peso molecular (ABPM)

  19. Asma Ocupacional Clínica • Similar a la del asma en general: sibilancias, disnea, tos. • Reflejar en la anamnesis si existe posibilidad de contacto en el medio laboral con un agente causal. • Investigar el patrón típico de exacerbación-remisión de los síntomas. • La exploración física y el examen funcional respiratorio pueden ser normales fuera de la exacerbación.

  20. Asma Ocupacional Tratamiento • La medida terapéutica más importante en el AO inmunológico es el cese total de la exposición al agente causal • En el AO no inmunológico puede ser posible volver al lugar de trabajo después de mejorar y siempre que se tomen las medidas de control establecidas correctas • El tratamiento farmacológico es similar al asma en general, en función de la gravedad • Existen casos en los que aún abandonando la exposición, persiste la hiperreactividad bronquial, por lo que estos pacientes deberán ser tratados de acuerdo a directrices ya establecidas.

  21. Enfermedad por Asbesto (Amianto) La palabra asbesto reúne a varios minerales que dadas sus propiedades de resistencia al calor y a los agentes químicos entre otros, fue utilizado ampliamente desde la antigüedad, pero sus efectos nocivos a largo plazo, como la asbestosis y el mesotelioma han determinado el descarte de su utilización. Se dividen en serpentinos (crisotilo) y anfíbolos (amosita, crocidolita, antrofilita, actinolita y tremolita), existiendo más de 60 variedades, pero éstos son los que más afectan al pulmón. Actualmente su uso está prohibido.

  22. Enfermedad por Asbesto (Amianto) Exposición ocupacional • Minería: industrias extractivas y procesamiento del mineral. • Construcción: caños de fibrocemento, tejas, aislantes en refrigeración, calderas, demoliciones. • Industria automotriz y construcción de barcos: paneles, frenos, pinturas, aislaciones eléctricas, etc. • Desamiantación

  23. Enfermedad por Asbesto (Amianto) Exposición doméstica

  24. Enfermedad por Asbesto (Amianto) • Fibrosis pulmonar difusa o Asbestosis • Fibrosis pleural • Placas pleurales hialinizadas o calcificadas • Cáncer de pulmón • Mesotelioma pleural maligno • Cáncer gastrointestinal

  25. Enfermedad por Asbesto (Amianto) Clínica • Puede tardar muchos años en manifestarse, entre 20 a 40. • Disnea progresiva • Tos seca • Dolor pleurítico, con pequeños derrames serohemáticos recurrentes en un 15 a 30%. • Crepitantes finos bibasales, al final de la inspiración • Acropaquía

  26. Enfermedad por Asbesto (Amianto) Diagnóstico • Clínica • Antecedentes de exposición • Radiología • Funcional respiratorio (espirometría arroja un patrón restrictivo probable) • Esputo Cuerpos de asbesto • Lavado broncoalveolar

  27. Enfermedad por Asbesto (Amianto) Tratamiento • Separación del paciente de la fuente contaminante • Medidas sintomáticas, que consisten en tratar las complicaciones • Sobreinfecciones • Hipertensión pulmonar • Cor pulmonale • Insuficiencia respiratoria crónica • Medidas paliativas en cáncer

  28. Silicosis • El sílice está compuesto por moléculas de dióxido de silicio (SiO2). • Existen 3 formas: cristalina, microcristalina y amorfa. • Epidemiología: material muy abundante en la naturaleza; hay muchas actividades que pueden afectar al hombre, • Minería • Trabajo en túneles y canteras • Fundición, industria cerámica • Pinturas, barnices • Poceros • Pulidores

  29. Silicosis

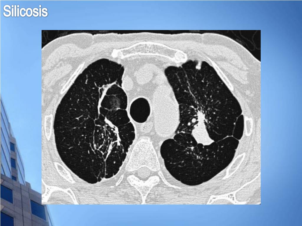
  30. Silicosis Clínica • Tos • Disnea progresiva • Insuficiencia respiratoria • Cor pulmonale • Pueden faltar los crepitantes bibasales • Síndrome de Caplan: pacientes con artritis reumatoide; nódulos necrobióticos sobre los nódulos de la silicosis simple.

  31. Silicosis

  32. Silicosis

  33. Silicosis

  34. Silicosis Formas clínicas • Silicosis aguda o silicoproteinosis: forma aguda y rápida de progresión de la enfermedad. Exposición a concentraciones elevadas de sílice, presentándose a los 1 – 3 años. Mal pronóstico. • Silicosis acelerada: clínicamente similar a la aguda pero radiológicamente a la crónica. Suele aparecer entre 5 – 10 años de exposición. • Silicosis simple: historia laboral, sin clínica. Suele aparecer a los 20 años. Opacidades redondeadas. No suele asociarse a repercusión cardíaca y leve disminución de parámetros respiratorios. • Silicosis complicada: grandes opacidades redondeadas de Fibrosis Masiva Progresiva. En estadios avanzados progresa a todas las complicaciones de una fibrosis pulmonar.

  35. Silicosis Complicaciones • Patología ganglionar • Tuberculosis pulmonar • Bronquitis crónica y EPOC • Cáncer de pulmón • Enfermedades del colágeno: esclerodermia y LES

  36. GRACIAS!

More Related