hansel
Uploaded by
71 SLIDES
850 VUES
710LIKES

Objectives

DESCRIPTION

Clinical Brain Imaging Stephen Salloway, M.D., M.S. Department of Clinical Neurosciences and Psychiatry Brown Medical School. Objectives. Learn about the use of CT, MRI and SPECT scanning in clinical practice

1 / 71

Télécharger la présentation

Objectives

An Image/Link below is provided (as is) to download presentation Download Policy: Content on the Website is provided to you AS IS for your information and personal use and may not be sold / licensed / shared on other websites without getting consent from its author. Content is provided to you AS IS for your information and personal use only. Download presentation by click this link. While downloading, if for some reason you are not able to download a presentation, the publisher may have deleted the file from their server. During download, if you can't get a presentation, the file might be deleted by the publisher.

E N D

Presentation Transcript

Playing audio...

  1. Clinical Brain ImagingStephen Salloway, M.D., M.S.Department of Clinical Neurosciences and PsychiatryBrown Medical School

  2. Objectives • Learn about the use of CT, MRI and SPECT scanning in clinical practice • Recognize key anatomical landmarks and begin to recognize and describe the appearance of common disorders Please look at the scans on your patients.

  3. Neanderthal Homo Sapiens

  4. Magnetic fld CT MRI Dark Obtained X-ray beam $900 Bone Bright 3-D Cost $330 T1, T2, Pd Plane Axial 30-60 min Technique Adjust window Long, narrow Length 10-20 minutes Opening Wide doughnut CT vs. MRI

  5. Advantages to CT • Costs less than MRI • Better access • Shows up acute bleed • A good quick screen • Good visualization of bony structures and calcified lesions

  6. Disadvantages to CT • Resolution • Beam-hardening artifact • Limited views of the posterior fossa and poor visualization of white-matter disease

  7. Advantages to MRI • Good resolution—excellent view of brain structure • 3 dimensions • Good gray-white differentiation • Adjust settings based on characteristics of the lesion • Good view of the posterior fossa

  8. Advantages to MRI • No radiation exposure • Gadolinium contrast is relatively nontoxic • Capacity for quantitative imaging, 3-D reconstruction, angiography, spectroscopy

  9. Disadvantages of MRI • Cost • Some patients ineligible because of pacemakers, other metal • Claustrophobia • Long exam • Access

  10. FLAIR Image

  11. MRI Is the Test of Choice for Evaluating • Most lesions causing epilepsy—temporal lobe glioma, mesial temporal sclerosis • White-matter disease—subcortical dementia, HIV, MS • Lesions in the posterior fossa • TBI—axonal injury • Extent of anoxic injury, herpes encephalitis • Frontal atrophy, NPH • Other—brain anomalies, SLE, vasculitis, sagittal sinus thrombosis, pituitary lesions, AVM

  12. What Is Bright on CT? What Is Dark on CT? • Blood • Contrast • Bone • Calcium • Metal • Air • CSF/H20

  13. Artifacts • Beam hardening • Bone • Foreign body • Motion

  14. Uses for SPECT and PET • Acute stroke • Identify a seizure focus-increased flow during sz and decreased interictal flow • Dementia-frontal pattern in FTLD, temporo-parietal pattern in AD • Ligand imaging in PD, others

  15. Landmarks • Axial views • Fourth ventricle • Petrous bone and sphenoid ridge • Aqueduct • Third ventricle • Lateral ventricles • Frontal horns • Calcifications in the choroid plexus, pineal, basal ganglia and falx • Caudate, putamen and globus pallidus

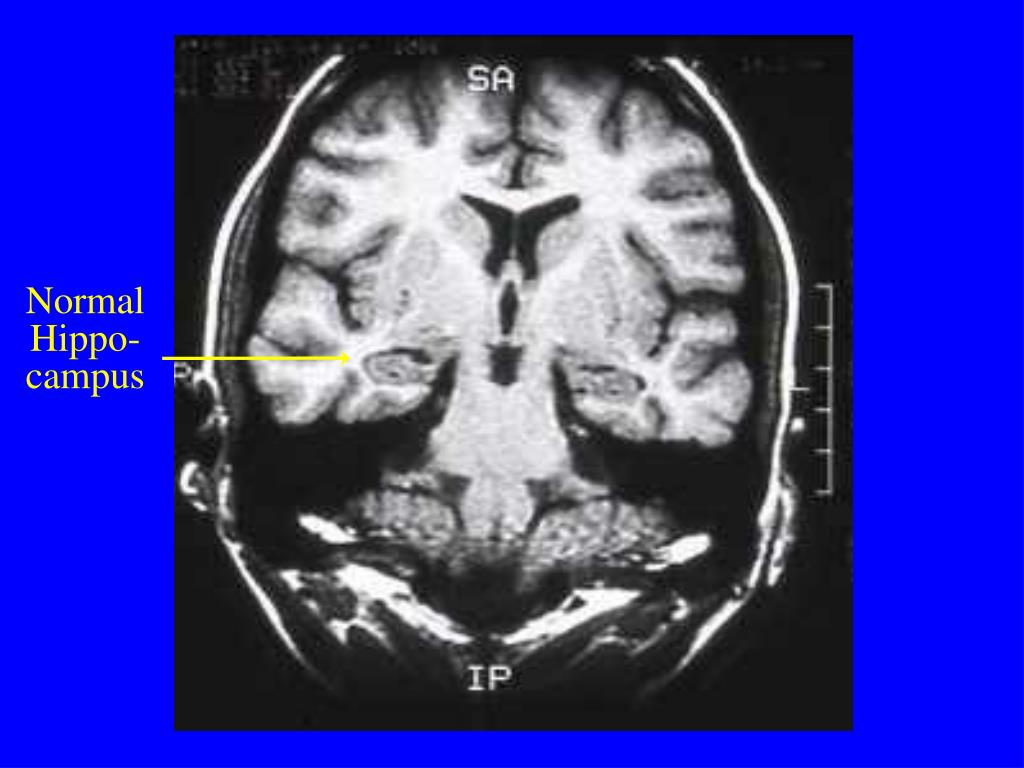
  16. Landmarks (Cont.) • Internal capsule—anterior and posterior limbs • Thalami • Sylvian fissures • Sagittal views • Severity of cortical atrophy • Corpus callosum and cingulate gyrus • Pituitary • Coronal views • Hippocampus and amygdala

  17. 65 year old man with right carotid occlusion, left hemiparesis, apathy, and depression. What is wrong with his scan?

  18. 72 year old woman with gradually progressive memory loss and word finding difficulty. Can you find the Sylvian fissures? What is wrong with this scan?

  19. Normal Hippo- campus

  20. Atrophic Hippo-campus in AD 62 year old woman with rapid progression of memory loss

  21. Mesial Temporal Sclerosis 31 year old woman from Africa with frequent complex partial seizures and mild developmental delay. Can you find the hippocampi? What is wrong with her scan?

  22. Introduction to Scan Interpretation • Is the scan • Contrast or noncontrast? • Good quality? • Describe the abnormality • Size—small, punctuate, medium, large • Shape—round, well circumscribed, ovoid, irregular, patchy

  23. Introduction to Scan Interpretation (Cont.) • Signal intensity • High signal, hyperdense • Low signal, hypodense • Isointense, isodense • Mixed signal • Location

  24. Which scan is a normal variant? What is the abnormality on the other scan?

  25. 3 year old boy with mild developmental delay. What does this scan show?

  26. 65 year old with dizziness, mild hearing loss, and mild tinnitus on the left. Can you detect the subtle abnormality on this scan?

More Related